INTRODUCTION: Intrahepatic cholangiocarcinoma (ICC) is a highly malignant cancer for which surgery is the only curative treatment. The prognosis of ICC is extremely poor, especially in cases of lymph node metastasis (LNM), owing to the high postoperative recurrence rate. Herein, we present a case of advanced ICC with a breast cancer susceptibility gene-2 (BRCA2) mutation, treated with preoperative chemotherapy, including cisplatin, followed by surgery, in which we achieved a pathologic complete response.
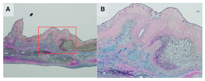
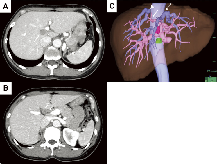
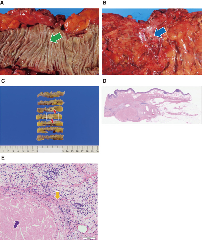
CASE PRESENTATION: A 52-year-old woman was referred to our hospital and was subsequently diagnosed with bilateral breast cancer. Computed tomography (CT) and magnetic resonance imaging incidentally detected a liver tumor in the hilar region and lymph node enlargement in the hepatoduodenal ligament. A 19 mm tumor was observed in the area surrounded by the right and left branches of the portal vein and an abnormal portal branch of segment 7. Positron emission tomography-CT showed fluorodeoxyglucose uptake in the liver tumor, hepatoduodenal ligament lymph nodes, and bilateral breasts. A tumor biopsy showed a papillary tumor, and ICC was suspected. As ICC with LNM has a poor prognosis, neoadjuvant chemotherapy was planned. Genetic testing using a blood sample revealed a BRCA2 mutation, indicating the patient would benefit from chemotherapy, particularly cisplatin. The patient received a chemotherapy regimen comprised of gemcitabine, cisplatin, and S-1 (GCS), and after 7 courses, her carbohydrate antigen 19-9 level decreased from 2433 to 15 U/mL. CT showed that the tumor had shrunk and the LNMs were indistinct. The patient was referred to our department for curative surgery, which included a left hepatectomy, caudate lobectomy, hepatoduodenal ligament lymph node dissection, bile duct resection, and choledocojejunostomy. The postoperative course was generally uneventful, and the patient was discharged on postoperative day 18. Pathological examination of the resected specimen revealed an absence of malignant cells. At 24 months postoperative, there was no evidence of recurrence.
CONCLUSIONS: We encountered a patient with advanced ICC with a BRCA2 mutation, which was successfully treated with preoperative GCS therapy followed by surgical resection, and a pathologic complete response was achieved. GCS therapy, therefore, appears promising as neoadjuvant chemotherapy for the treatment of ICC.