2017 年 63 巻 2 号 p. 106-111
Angiosarcomas are rare malignant tumors derived from endothelial cells and occur most commonly in the scalp and the face. The prognosis is poor. Therefore, spontaneous regression of angiosarcoma is a rare phenomenon.
We describe a case of a 73-year-old man with multiple metastatic angiosarcoma.
In the present case, weekly paclitaxel therapy had an effect, but could not be continued because of interstitial pneumonia (IP). Weekly docetaxel therapy did not have an effect, but further chemotherapy was not carried out because aggravation of the IP was a concern.
The primary lesion and other metastatic lesions were inconspicuous on the positron emission tomography/computed tomography scan performed in one year and two months after best supportive care.
We reported an extremely rare case of spontaneous regression of therapy-resistant metastases of angiosarcoma that has remained controlled for 40 months since the initial diagnosis.
Angiosarcomas are rare malignant tumors derived from endothelial cells and occur most commonly on the scalp and the face of elderly people1,2). Patients with angiosarcoma have a poor prognosis and develop local recurrence and distant metastases at an early stage. Spontaneous regression of angiosarcoma is a rare phenomenon. Here we present the case of a patient with spontaneous regression of multiple metastases from a primary scalp angiosarcoma.
A 73-year-old male was admitted in March 2013 to the Department of Otolaryngology at our hospital (School of Medicine, Fukushima Medical University, Japan) with a suspected parotid tumor called pleomorphic adenoma (Figure 1). Superficial parotidectomy was performed in May 2013. The pathological diagnosis of the intraoperative frozen section was malignant tumor. Macroscopic complete resection, including resection of the surrounding normal tissue, was performed.
The histological diagnosis of the permanent sections was angiosarcoma with positive partial margins. Hematoxylin and eosin staining revealed extensive invasion of aberrant-type spindle tumor cells. The endothelial markers, including CD31, CD34, and von Willebrand factor, were positively expressed by immunochemical staining (×200; Figure 2).
Positron emission tomography-computed tomography (PET-CT) scan performed postoperatively showed a right scalp mass and right neck lymph node and left lung metastases.
A biopsy of the right scalp mass led to a diagnosis of angiosarcoma (Figure 3A), which was regarded as the primary lesion, because the patient had a history of scalp trauma that had caused the angiosarcoma.
Because of the presence of constitutional multiple metastases, neither surgery nor radiotherapy was considered; chemotherapy alone was the initial approach to treatment. The patient received four cycles of paclitaxel (PTX) therapy that lasted 16 weeks from June to September 2013. Weekly PTX 65 mg/m2 was intravenously administered on days 1, 8, and 15, followed by 1 week off. Cycles were repeated every 28 days. PTX includes dehydrated ethanol as an additive, but because the patient had poor tolerance to alcohol, PTX therapy with a −1 level dose (65 mg/m2) was administered.
The size of primary and metastatic tumors decreased, but interstitial pneumonia (IP) occurred at the end of the second cycle of PTX therapy. The patient was a smoker, but did not have chronic obstructive pulmonary disease. Drug-induced IP by PTX was suspected, and the weekly PTX therapy was discontinued. At this stage, residual disease comprised the primary tumor and neck metastases, and in October 2013, radiotherapy was performed for local site control. A total of 50 Gy of radiation was administered for the residual primary lesion and neck metastases.
After radiation therapy, the primary lesion and neck metastases became inconspicuous (Figure 3B), but new metastatic masses developed in the mediastinal lymph node and lung. From February to June 2014, the patient received five cycles of docetaxel (DOC) for 4 weeks each, in which DOC 25 mg/m2 was intravenously administered weekly on days 1, 8, and 15, followed by 1 week off; the cycles were repeated every 28 days. However, this therapy was ineffective and was discontinued.
A PET-CT scan performed 1 month after the discontinuation of the DOC therapy revealed increased metastases to the mediastinal lymph node and lung (Figure 4A). The patient received a second opinion at another hospital where pazopanib and anthracycline-based chemotherapy were suggested. However, because the patient was concerned about the potential aggravation of IP, he refused these therapies in August 2014 and requested for best supportive care (BSC).
Another CT scan performed in October 2014, 2 months after BSC was initiated, revealed further increased metastases to the mediastinal lymph node and lung and aggravation of IP and pneumothorax (Figure 5A). However, to our surprise, a CT scan performed in April 2015, 8 months after BSC was initiated, revealed decreased metastases to the mediastinal lymph node and lung, and the pneumothorax had spontaneously disappeared (Figure 5B). In the next follow-up PET-CT scan performed in October 2015, 14 months after BSC was initiated, the primary lesion and other metastatic lesions were inconspicuous (Figure 4B). The patient had achieved spontaneous remission. Since the initial diagnosis, 40 months have passed. However, his IP has worsened and he currently requires sustained oxygenation. Informed consent was obtained from the patient for the publication of this case study.

1A. The patient showed a mass without fixation in the right parotid region and facial paralysis was absent (1A).
1B. A relatively marginal clear mass was found in CT of the parotid gland (1B).

Hematoxylin and eosin staining revealed extensive invasion of aberrant type spindle tumor cells. The endothelial markers, including CD31, CD34, and von Willebrand factor were positively expressed by immunochemical staining (×200).

A biopsy of the right scalp mass led to a diagnosis of angiosarcoma (3A).
After radiation therapy, the primary lesion of the right scalp mass became inconspicuous (3B).

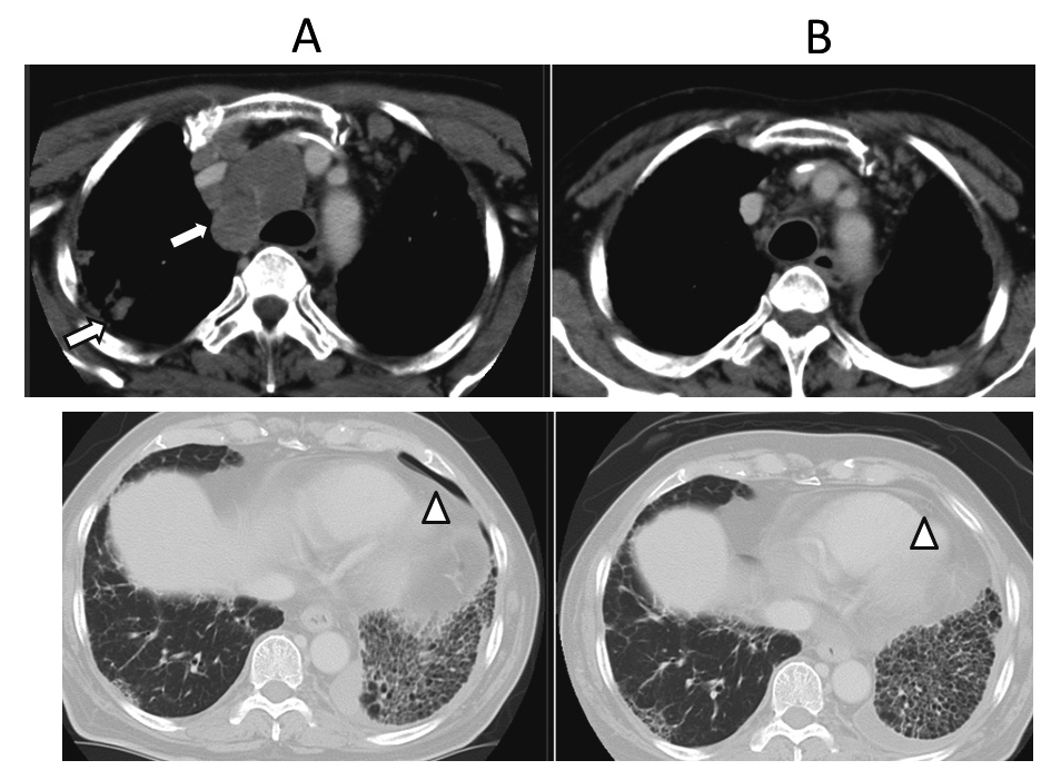
A PET-CT scan performed in July 2014 revealed increased metastases to the mediastinal lymph node and lung (4A).
A PET-CT scan performed in October 2015, one year and two months after BSC, revealed almost no signs of the primary lesion and other metastatic lesions (4B).

A CT scan performed in October 2014 revealed increased metastases to the mediastinal lymph node and lung, and aggravation of the IP and pneumothorax (5A).
A lung CT scan performed in April 2015 revealed decreased metastases to the mediastinal lymph node and lung, and pneumothorax disappeared (5B).
Angiosarcomas account for less than 2%-3% of adult soft tissue sarcomas3,4). The prognosis is poor because the 5-year survival rate is generally 12%-24%5). Angiosarcomas can occur in any region of the human body, but the most commonly affected areas are the face and the scalp, which account for more than 50% of cutaneous angiosarcomas6). CT and magnetic resonance imaging of the angiosarcoma does not show any characteristic findings. The diagnosis of angiosarcoma mainly depends on histology.
Treatment modalities for angiosarcoma include resection with a wide margin, radiotherapy, immunotherapy, and chemotherapy. For primary lesions, radical surgery and adjuvant radiotherapy are suggested. However, clear margins are rarely obtained for scalp angiosarcoma despite the large resection areas7,8). For metastatic angiosarcomas, chemotherapy is the primary choice of treatment9).
Agents reported to be effective against angiosarcoma are PTX10,11), DOC12,13), gemcitabine14), bevacizumab15), and sorafenib16). However, it is difficult to prevent the disease from progressing to metastatic angiosarcoma. The median overall survival of patients with metastatic angiosarcoma is less than 11 months17). In the present case, weekly PTX therapy had an effect, but could not be continued because of IP. Weekly DOC therapy did not have an effect, but further chemotherapy was not performed because aggravation of IP was a concern.
The prognosis of angiosarcoma is generally poor. Spontaneous regression of pulmonary metastases from an angiosarcoma is an exceptional event. The case of our patient with spontaneous regression of the pulmonary metastases of angiosarcoma was similar to only one prior case identified in literature18), in which metastatic scalp nodules were present at first and were not inconspicuous spontaneously.
There are no reported cases of spontaneous recovery from chemotherapy-resistant metastatic angiosarcoma. The mechanism underlying spontaneous regression of metastatic angiosarcoma remains uncertain. Spontaneous regression of cancer is sometimes associated with an acute infection19). Regression of experimental tumor metastases can be induced by an immune response involving cytokines, such as interleukin and interferon gamma20). In the present patient, there was no intake of supplements or history of infection after BSC. The cause of the spontaneous remission is unknown. Anticancer activity of black garlic has been reported21) and might have had some influence in this patient as the patient reported to have consumed black garlic.
In conclusion, we reported an extremely rare case of spontaneous regression of therapy-resistant metastases of angiosarcoma that has remained under control for 40 months since the initial diagnosis.
The authors declare that there is no conflict of interest regarding the publication of this paper.
The authors would like to thank Enago (www.enago.jp) for the English language review.