2025 年 7 巻 2 号 p. 83-87
患者は80歳女性.介護施設入所中,半年の間に食欲不振,抑うつ,activities of daily living低下,肺炎の症状が出現し,当院精神科病棟に入院となった.入院時,姿勢反射障害,口唇のジスキネジアを認めた.薬剤性パーキンソニズムを疑い,薬剤の整理をしたが症状は改善しなかった.入院3日目に嚥下内視鏡検査を実施し中等度の嚥下障害と診断された.入院23日目に診断的治療としてレボドパを開始し,嚥下内視鏡検査の再評価にて嚥下障害の改善を認めた.以上の経過より薬剤性パーキンソニズムにパーキンソン病が合併していたと診断した.症状が改善し85日目に退院となった.本症例ではドパミン補充療法により,定型抗精神病薬およびパーキンソン病によるサブスタンスP低下に起因する嚥下障害が改善したと考えられる.精神科病棟における長期療養患者の嚥下障害は原因が多岐に渡ることもあり,その診断と治療には主治医との慎重な連携が重要となる.
抗精神病薬の服用により,薬剤性の摂食嚥下障害を生じることが広く知られつつある1).しかしながら,薬剤を服用する患者の高齢化に伴い,加齢や併存疾患による嚥下障害がオーバーラップすることで診断に苦慮することも少なくない.今回著者らは,抗精神病薬服用による薬剤性嚥下障害に合併したパーキンソン病に対し,薬剤の整理とドパミン補充療法により嚥下障害が改善した症例を経験したため報告する.
80歳女性.
2. 主訴食事中の溜め込み,むせ.
3. 現病歴半年前から食欲低下や食事中の溜め込み,むせがみられるようになり,体重が低下してきた.うつ病治療のために定期通院しているかかりつけの心療内科に相談したところ,著しい日常生活動作(activities of daily living;以下,ADLと略)の低下も認められたため当院に入院となり,食事中の溜め込み,むせを精査するため当科紹介受診となった.
4. 服用薬スルピリド100 mg/日,ドネペジル3 mg/日,スボレキサント15 mg/日,ゾルピデム10 mg/日,ミルタザピン15 mg/日,アンブロキソール15 mg/日,抑肝散5 g/日.
5. 身体所見焦燥感,抑うつ状態が認められた.仮面様顔貌,マイヤーソン兆候を呈していた.口唇に限局したジスキネジアおよび湿性嗄声を認めた.また,上下肢の歯車様固縮と小刻み歩行といった,パーキンソン病類似の所見がみられた.
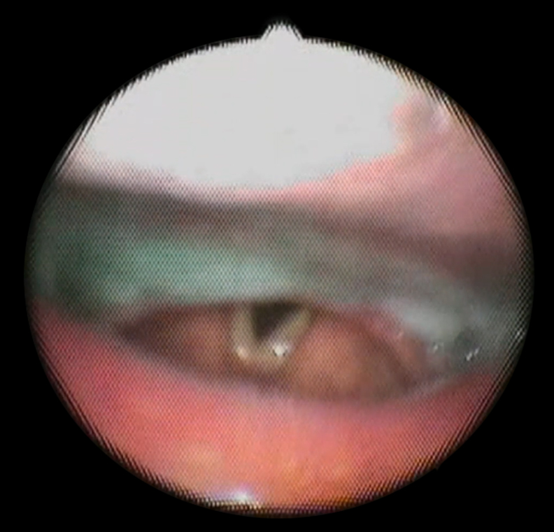
6. 検査所見心電図に異常所見は認められなかった.単純頭部CT検査では明らかな脳萎縮や脳梗塞はなかった.血液検査所見にも特記事項を認めなかった.食事中のむせ,湿性嗄声を認めたため,嚥下内視鏡検査(videoendoscopic evaluation of swallowing;以下,VEと略)を実施した.評価には兵頭スコア2)(表1)および藤島摂食・嚥下能力グレード3)(表2)を用いた.兵頭スコアは非嚥下時の観察項目として「喉頭蓋谷や梨状陥凹の唾液貯留の程度」および「声門閉鎖反射や咳反射の惹起性」を,嚥下時の観察項目として「嚥下反射の惹起性」および「着色水嚥下後の咽頭クリアランス」を取りあげ,それぞれ0(正常),1(軽度障害),2(中等度障害),3(高度障害)の4段階に評価した.藤島摂食・嚥下能力グレードでは検査時点での摂食嚥下機能を10段階で評価した.所見:安静時の咽頭部に唾液貯留を認めた.嚥下反射惹起が遅延し,嚥下時の咽頭収縮は不良であり嚥下物の咽頭残留,喉頭侵入および喀出の不良を認め,兵頭スコアは7点,藤島摂食・嚥下能力グレードは5であった(図1,表3).
| 1.喉頭蓋谷や梨状陥凹の唾液貯留 |
| 0:唾液貯留がない |
| 1:軽度唾液貯留あり |
| 2:中等度の唾液貯留があるが,咽頭腔への流入はない |
| 3:唾液貯留が高度で,吸気時に喉頭腔へ流入する |
| 2.声門閉鎖反射や咳反射の惹起性 |
| 0:喉頭蓋や披裂部に少し触れるだけで容易に反射が惹起される |
| 1:反射は惹起されるが弱い |
| 2:反射が惹起されないことがある |
| 3:反射の惹起が極めて不良 |
| 3.嚥下反射の惹起性 |
| 0:着色水の喉頭流入がわずかに観察できるのみ |
| 1:着色水が喉頭蓋谷に達するのが観察できる |
| 2:着色水が梨状陥凹に達してもしばらく嚥下反射が起きない |
| 3:着色水が梨状陥凹に達してもしばらく嚥下反射が起きない |
| 4.着色水摂下による咽頭クリアランス |
| 0:嚥下後に着色水なし |
| 1:着色水残留が軽度あるが,2~3回の空嚥下でwash outされる |
| 2:着色水残留があり,複数回嚥下を行ってもwash outされない |
| 3:着色水残留が高度で,喉頭腔に流入する |
| I 重症 経口不可 |
1 | 嚥下困難または不能,嚥下訓練適応なし |
| 2 | 基礎的嚥下訓練だけの適応あり | |
| 3 | 条件が整えば誤嚥は減り,摂食訓練が可能 | |
| II 中等症 経口と補助栄養 |
4 | 楽しみとしての経口摂取は可能 |
| 5 | 1部(1–2食)経口摂取 | |
| 6 | 3食経口摂取プラス補助栄養 | |
| III 軽症 経口のみ |
7 | 嚥下食で,3食とも経口摂取 |
| 8 | 特別に嚥下しにくい食品を除き,3食経口摂取 | |
| 9 | 常食の経口摂食可能,臨床的な観察と指導要する | |
| IV 正常 | 10 | 正常の摂食嚥下能力 |
※摂食介助が必要なときはA(assistの略)をつける

兵頭スコア 7点
藤島摂食・嚥下グレード 5
| 評価項目 | スコア |
|---|---|
| ①喉頭蓋谷や梨状陥凹の唾液貯留 | 2 |
| ②声門閉鎖反射や咳反射の惹起性 | 1 |
| ③嚥下反射の惹起性 | 2 |
| ④着色水嚥下による咽頭クリアランス | 2 |
| 合計 | 7 |
それぞれの服薬開始時期は判然としなかったが,スルピリドやドネペジルなどの薬剤性パーキンソニズムの原因となりうる薬剤を服用していた.また口唇ジスキネジアが認められたことや,症状が両側性であったことなどから,本症例を薬剤性パーキンソニズムによる嚥下障害と診断した.
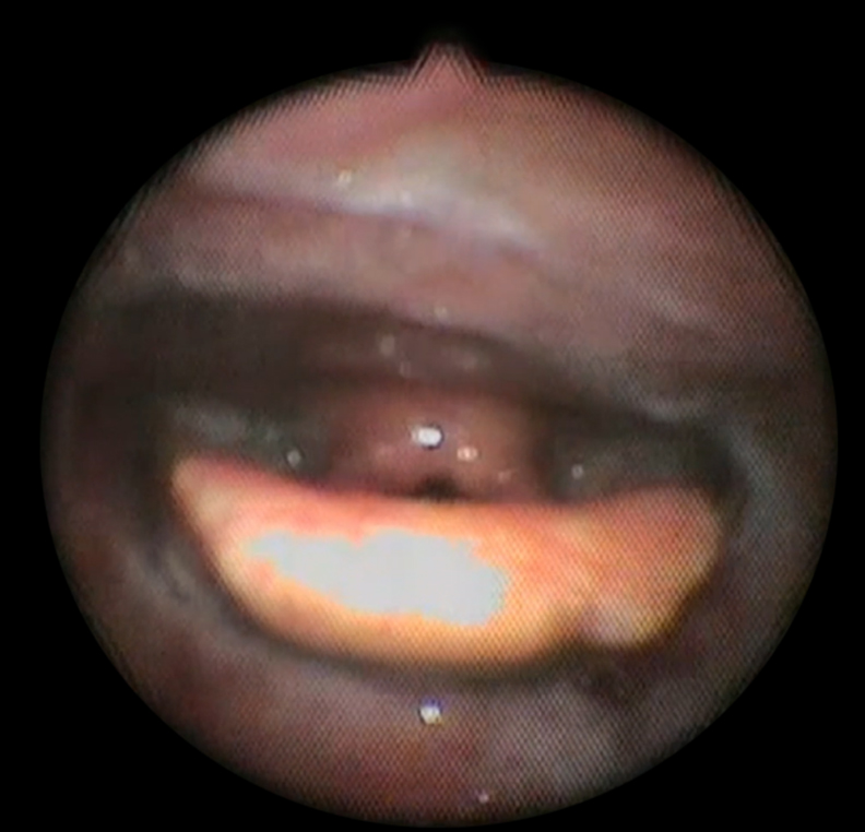
8. 処置および経過服用薬の整理から開始した.服薬の推移と副作用などの臨床経過の関係を図に示す(図2).まず,薬剤性パーキンソニズムの原因となることが多いスルピリドやドネペジルの代わりに比較的錐体外路症状の少ないクエチアピン(12.5 mg/日)に変更した.ゾルピデムは比較的副作用の少ないラメルテオン(8 mg/日)に変更した.アンブロキソールと抑肝散に関しては処方の目的と効果が不明瞭であったために中止した.焦燥感の改善を認めたため,8日目にクエチアピンは中止した.薬剤の変更および中止をしてから13日目に口唇に限局したジスキネジアは消失した.しかしながら,23日目になっても運動機能が改善しなかった.そこで,潜在的なパーキンソン病を疑い,レボドパ(200 mg/日)の投与を開始した.レボドパ投与後に運動機能に改善が認められたことから,薬剤性パーキンソニズムにパーキンソン病を合併していたと考えた.また,患者はうつ状態や焦燥感が軽快していったことから27日目にミルタザピンの15 mg/日から7.5 mg/日への減量を試みた.28日目にはレボドパを300 mg/日へと増量した.ミルタザピンを減量しても問題を認めなかったことから30日目にはミルタザピンを完全に中止した.以降うつ状態や焦燥感が出現することはなかった.31日目には不穏状態が増悪し,クエチアピンを12.5 mg/日から再開した.46日目にはVEで嚥下機能を再評価し,兵頭スコアは5点,藤島摂食・嚥下能力グレードは7であり,初診時と比較して嚥下機能が向上した(図3,表4).不穏症状の改善は認められなかったため,クエチアピンを58日目に25 mg/日,66日目にはクエチアピンを50 mg/日へ再度増量をしたものの,運動機能とADLが顕著に改善したことにより85日目に退院となった.

※×印は,中止を示す.また,兵頭Sと藤島GLはそれぞれ兵頭スコアと藤島摂食・嚥下グレードを表す.

兵頭スコア 5点
藤島摂食・嚥下グレード 7
| 評価項目 | スコア |
|---|---|
| ①喉頭蓋谷や梨状陥凹の唾液貯留 | 2 |
| ②声門閉鎖反射や咳反射の惹起性 | 1 |
| ③嚥下反射の惹起性 | 1 |
| ④着色水嚥下による咽頭クリアランス | 1 |
| 合計 | 5 |
パーキンソニズムとはパーキンソン病以外の原因によりパーキンソン様症状,すなわち歩行困難,小刻み歩行,手の指が動かしづらい,顔の表情が乏しいなどの症状を呈する疾患や状態である.パーキンソン病は脳の線条体のドパミン神経細胞の障害によって発症するが,抗精神病薬はドパミンを抑制することが薬理作用であることから,その服用により薬剤性パーキンソニズムとしてパーキンソン様症状がしばしば出現する.摂食・嚥下運動にもおいてもパーキンソニズムによる運動障害が生じるが,さらにドパミン抑制によるサブスタンスPの放出低下は直接的に嚥下反射を抑制し.パーキンソニズムによる嚥下障害の病態が成立する4).
本症例では抗精神病薬服用による薬剤性パーキンソニズムにパーキンソン病が合併していた.薬剤性パーキンソニズムはパーキンソン病と比較して症状の出現が基本的に両側性である.さらに特徴的な所見として薬剤性パーキンソニズムでは口唇ジスキネジアやアカシジアの合併を伴うことが多く5),実際,本症例においても口唇に限局したジスキネジアを伴っていた.
また,本症例では薬剤性パーキンソニズムの原因となりうる薬剤を中止しても,一部の症状が残存した.原因となる薬剤を中止してから症状が消失するまでに時に半年程度を要することがあるが6),不顕性誤嚥という早急に解決すべき症状があったため早期にドパミン補充療法での診断的治療を行ったところ,治療に良好に反応したことからパーキンソン病と診断することができた.薬剤性パーキンソニズムになった患者の長期経過を観察した研究では,一般集団がパーキンソン病になる確率よりも優位に高い確率でパーキンソン病に進展し治療を受けているという報告がある.これは,もともとパーキンソン病になりやすいと,薬剤性パーキンソニズムを呈しやすいことによる7).
クエチアピンはパーキンソニズムの合併が比較的起こりにくいとされており,パーキンソン病患者に対して精神症状を抑える際に使用されることがある8).本症例では薬剤性パーキンソニズムと診断してすぐに,原因となることが多いスルピリドやドネペジルの代わりにクエチアピンに変更した.さらに,パーキンソン病を合併していることがわかりレボドパで治療を行った.その間に,不穏状態が増悪し,クエチアピンの増量を行ったが,運動機能や嚥下機能に悪影響を与えることなく精神症状を制御することができた.
近年,高齢者のポリファーマシーが問題となっており,本来必要のない薬剤による有害事象が多数報告されている9).本症例では当科受診時7剤を服用していた.アンブロキソールと抑肝散に関しては処方の目的と効果が不明瞭であったために中止した.入院加療中,患者はうつ状態や焦燥感を示さなかったことからミルタザピンを減量し,最終的に服用中止することが可能であった.これは処方後も症状と処方薬の妥当性を継続的に検討することの重要性を意味する.本症例では薬剤がいつから処方されていたか不明であったが,薬剤性嚥下障害のほとんどは薬剤服用開始後1週間以内に起こることが大半であるため10),新たに薬剤を処方する際には,その効果とともに一部の有害事象の出現を一定期間観察することの必要性が示唆される.
高齢患者の定型抗精神病薬服用による薬剤性嚥下障害に合併したパーキンソン病に対し,薬剤の整理とドパミン補充療法により嚥下障害が改善した症例を経験した.抗精神病薬の薬剤整理には時間を要することもあり,精神疾患により長期入院している高齢患者の嚥下障害の原因は多岐に渡るが,嚥下障害は低栄養に直結し生命予後を増悪させるため,速やかな臨床診断と慎重な多職種連携が必要となる.
本症例報告は「医学研究における倫理的問題に関する見解および勧告」,「症例報告を含む医学論文および学会研究発表における患者プライバシー保護に関する指針」を遵守している.症例報告に関して患者本人に説明し同意を得た.
本症例報告は筆頭著者所属機関の倫理審査委員会に承認された.(承認番号:20230428-01)
本論文に関する著者の利益相反なし