2020 年 53 巻 1 号 p. 22-29
症例は45歳の男性で,多発血管炎性肉芽腫症に対して当院アレルギー・リウマチ科で薬剤療法を開始した.開始後12日目に下腹部痛が出現し,腹部CTにて消化管穿孔と診断し緊急手術を施行した.小腸間膜対側に10 mm以下の発赤を20か所認め,うち2か所の穿孔部を含む3か所を部分切除した.術後経過は良好で,9日目に薬剤療法を再開した小腸穿孔部の病理組織学的検査所見では,血管壁への炎症細胞の浸潤を認め,多発血管炎性肉芽腫症に伴う消化管穿孔と診断した.術後53日目に絞扼性イレウスが疑われ緊急手術を施行したが,明らかな絞扼性イレウスや穿孔の所見は認めなかった.その後の経過は良好で,薬剤療法を再開,継続中である.今回の検討から多発血管炎性肉芽腫症に伴う消化管穿孔は重症化しやすく,潰瘍性病変が多発する傾向にあり,ときに再穿孔を来すことがわかった.これらを十分理解し,患者・家族へ説明し,治療にあたることが必要である.
A 45-year-old man who presented with fever, polyarthritis and deafness was referred to our hospital, and given a diagnosis of granulomatosis with polyangiitis. Twelve days after starting corticosteroid and cyclophosphamide therapy, he suddenly developed abdominal pain. Abdominal CT scan showed an edematous small intestine with free air and fluid collection in the pelvis. Emergency laparotomy was performed for diagnosis of gastrointestinal perforation, which revealed 5–10 mm erythematous lesions at 20 sites on the anti-mesenteric side of the small intestine. Three of these lesions were perforated. Local resection with anastomosis were performed at each site. The postoperative course was uneventful, and medical treatment was resumed 9 days after the operation. Fifty-three days postoperatively, he developed abdominal pain again. Abdominal CT scan showed a partially-dilated small intestine with a small amount of ascites, suggesting a strangulated obstruction. Emergency laparotomy was performed, which showed edema at one of the previous anastomotic sites with a small amount of purulent ascites. There was no evidence of strangulation or perforation of the intestine. An omental patch was placed over the anastomotic site, and a drain placed in the pelvis. The postoperative course was uneventful, and he restarted medical treatment. Histopathology of the resected specimen showed vasculitis at the sites of perforation, suggesting a relationship with granulomatosis with polyangiitis. We report a patient with granulomatosis with polyangiitis with multiple perforations of the small intestine. Special attention should be paid for re-perforation in the treatment of the disease. Furthermore, medical information should be shared with patients and their families as well as medical staff.
多発血管炎性肉芽腫症は,以前はWegener肉芽腫症として知られ,気道の壊死性肉芽腫性炎症,全身の血管炎,肉芽腫性糸球体腎炎を3主徴とし,その発症機序に抗好中球細胞質抗体(antineutrophil cytoplasmic antibody;以下,ANCAと略記)が関与する血管炎症候群である.発症早期に免疫抑制療法を開始すると,高率に寛解を導入できる1).以前は極めて予後不良の疾患とされていたが,近年の診断法・治療法の向上により予後の改善が認められている1).消化管病変の合併は7~25%と報告があるが,消化管穿孔を来した症例の報告は少なく,原因として血管炎,薬剤性,サイトメガロウイルス(cytomegalovirus;以下,CMVと略記)感染などが報告されている2)3).今回,多発血管炎性肉芽腫症の治療中に多発性に小腸穿孔を来し,穿孔の原因として病理学的に血管炎との関連が示唆された1例を経験したので報告する.
患者:45歳,男性
主訴:下腹部痛
既往歴:特記すべき事項なし.
現病歴:数週間持続する膝関節痛を主訴に近医を受診し,多関節痛,両肺の結節影,炎症反応高値,抗核抗体陽性などからアレルギー・膠原病が疑われ,精査加療目的に当院アレルギー・リウマチ科に紹介受診となった.鼻出血,呼吸困難,急速に進行する腎不全,多関節炎,PR3-ANCA>350より多発血管炎性肉芽腫症と診断された.前医でステロイドパルス療法が開始され炎症反応・呼吸状態は改善傾向であったが,難聴や関節痛に関しては改善が乏しく,ステロイド維持療法に加えシクロホスファミドパルス療法が開始された.治療開始後12日目より下腹部痛が出現し,13日目に症状の増悪を認めた.腹部造影CTにて,骨盤内の限局的な小腸の浮腫と腹水およびfree airを認め,消化管穿孔による汎発性腹膜炎と診断され当科へ紹介となった.
紹介時身体所見:身長168.0 cm,体重54.8 kg,BMI 19.4,血圧111/65 mmHg,脈拍66回/分,体温37.0°C,下腹部優位に腹部全体に圧痛・反跳痛を認めた.高度感音性難聴のため完全筆談であり,両膝関節痛のためADLはベット上で体動も困難な状態であった.
血液生化学的検査所見: WBC 12,000/μl,CRP 5.29 mg/dlと炎症反応の上昇,TP 4.9 mg/dl,Alb 2.0 mg/dl,BUN 26 mg/dl,Cr 1.34 mg/dlと低栄養と腎機能障害を認めた.PR3-ANCA>350と異常高値を認めた.
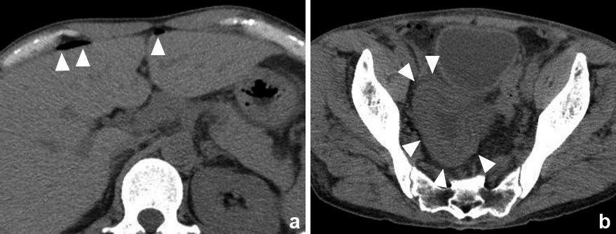
腹部CT所見:骨盤内に限局した小腸の浮腫を認め,その周囲に少量の腹水貯留を認めた.骨盤内と肝表面にfree airを認めた(Fig. 1).

Preoperative CT findings. a. Free air on the surface of the liver (arrowheads). b. Edematous small intestine in the pelvis (arrowheads).
小腸穿孔による汎発性腹膜炎と診断し,全身麻酔下に緊急開腹手術を施行した.
手術所見:腹部正中切開で開腹するとやや混濁した腹水をダグラス窩に少量認めた.胃・十二指腸・大腸に異常所見は認めなかった.小腸の腸間膜対側に数mm~10 mmほどの発赤を計20か所認めた.そのうち,Treitz靭帯から290 cmの部位に大網が癒着しており用手的に剥離すると3 mmの穿孔を認めた.また,同300 cmの部位に3 mmの穿孔,345 cmの部位に小腸壁の菲薄化を認めた.これら3か所を部分切除し吻合した.他の発赤部位は壁の菲薄化や脆弱性は認めず,処置は行わなかった.ダグラス窩にドレーンを留置し手術を終了した(Fig. 2).

a. Operative findings showed multiple red spots in the small intestine. b. Two of the red spots were perforated.
病理組織学的検査所見:切除した3か所はいずれも,粘膜から漿膜面にかけてびまん性に好中球を主体とする炎症細胞の浸潤を認めた.血管周囲の炎症細胞が血管壁へ浸潤している所見を認めた.核内・細胞質内封入体は認めず,免疫組織学的染色でもCMV感染所見は認めなかった.PAS染色およびGrocott染色も真菌の存在は認めなかった.“巨細胞を伴う壊死性肉芽腫性炎”または“小・細動脈の壊死性肉芽腫性血管炎”の像は,標本上は明らかでなかったが,臨床所見と合わせて多発血管肉芽腫症と診断した(Fig. 3).

Microscopic findings of the resected small intestine showed reactive nuclear enlargement of the endothelial cells, thickening of the intima, tear of the internal elastic membrane and inflammatory cells infiltration from the intima to the adventitia. a: HE ×25, b: EVG ×25, c: EVG ×200.
術後経過:術後経過良好のため,9日目に前科へ転科し,術後14日目にシクロホスファミドパルス療法・ステロイドパルス療法を再開し,3コース行い退院となった.初回手術から53日目に再び下腹部痛が出現し,腹部CTにて右下腹部から骨盤部にかけて小腸の限局性浮腫・拡張・造影不領域を認め,少量の腹水を伴っていた.絞扼性イレウスと診断し緊急開腹手術を施行したが絞扼性イレウスの所見は認めず,腸管壊死も認めなかった.膿性の混濁腹水を中等量認め,初回手術の最口側の吻合部付近に白苔の付着と小腸壁の浮腫と硬化を認めた.小腸を含め他の全消化管を検索したが明らかな穿孔部位は認めなかった.しかし,膿性腹水と異常な小腸所見から,吻合部またはその近傍の再穿孔の可能性を否定できず,同部を大網にて被覆し,ドレーンを留置して手術を終了した.術後は良好に経過し17日目で退院となり薬剤治療を再開した.その後は現在まで再穿孔の所見は認めていない.
多発血管炎性肉芽腫症は,1939年ドイツの病理学者Wegenerが疾患概念を提唱した全身の中小血管の壊死性肉芽腫性血管炎,耳・鼻・上気道および肺の壊死性肉芽腫性病変,腎の壊死性半月体形成性糸球体腎炎を特徴とする疾患であり,2012年の改訂分類以前はWegener肉芽腫症の名称が用いられていた.病理組織所見の特徴であるフィブリノイド変性を伴う肉芽腫形成は,気道や腎臓の生検にて高率に認められるとされ,Fauciらは診断には臨床症状に加えて少なくとも1か所の生検で証明すべきであるとしている4)5).本邦の診断基準では,Table 1に示すように主要症状として上気道の症状・肺の症状・腎臓の症状・血管炎による症状の四つをあげ,主要症状が三つあれば診断され,必ずしも生検による組織診断を必要としない.本症例では,病理所見上肉芽腫形成を指摘されなかったが,上気道症状(鼻出血),肺症状(呼吸困難,結節影),腎症状(Cr上昇,血尿),血管炎症状(多関節炎)があり,PR3-ANCA陽性であったことから多発血管炎性肉芽腫症と診断した.切除標本の病理学的所見にて肉芽腫形成の指摘されなかった理由として,本疾患では小型から中型の血管における壊死性血管炎を伴った肉芽腫性炎症は眼,耳鼻咽喉,気管・気管支,肺に高頻度に発生し,その他,脳,眼窩,耳下腺,乳房,腎臓,前立腺,卵巣などにも認めるが,消化管における肉芽腫形成はまれとされている1).
| 1. Major symptoms |
| (1) ENT (E) E: Nose (purulent rhinorrhea, nose bleeding, saddle-nose deformity), eye (eye pain, visual loss, proptosis), ear (otitis media), oral cavity (ulcer, hoarseness, airway obstruction) |
| (2) Lung (L) L: Hemoptysis, cough, dyspnea (shortness of breath) |
| (3) Kidney (K) K: Hematuria, proteinuria, rapidly progressive renal failure, edema, hypertension |
| (4) Vasculitis associates ① Systemic symptoms: Fever (≥38°C, ≥2 weeks), Weight loss (6 kg or more within 6 months) ② Organ disorder: Purpura, polyarthritis, episcleritis, polyneuropathy, ischemic heart disease (angina pectoris·myocardial infarction), gastrointestinal bleeding (hematemesis·hematochezia), pleuritis |
| 2. Major pathological findings: ① Necrotizing granulomatous inflammation with giant cellinfiltration in E, L and K ② Necrotizing crescentic nephritis without immunoglobulin deposition ③ Necrotizing granulomatous vasculitis of small arterioles |
| 3. Major laboratory findings: Positive for PR-3 ANCA (Cytoplasmic pattern by fluorescent antibody, C-ANCA) |
| 4. Diagnosis |
| (1) Definite |
| (a) Three or more of the major symptoms including each of the organ symptoms of E, L and K are present. |
| (b) Two or more of the major symptoms, accompanying with one of the major pathological findings are present. |
| (c) One or more of the major symptoms, one of the major pathological findings and C(PR-3) ANCA positive are present. |
| (2) Probable |
| (a) Two or more of the major symptoms are present. |
| (b) One of the major symptoms, accompanying with one of the major pathological findings are present. |
| (c) One or more of the major symptoms, accompanying with C(PR-3) ANCA positive are present. |
Source: Ministry of Health, Labor and Welfare. Designated intractable disease list 44. Granulomatosis with polyangiitis (accessed 1/18/2015)
医学中央雑誌(1964年~2018年)で「Wegener肉芽腫症」,「多発血管炎性肉芽腫症」,「消化管穿孔」をキーワードに,さらにPubMed(1950年~2018年)で「Wegener granulomatosis」,「granulomatosis with polyangiitis」,「intestinal perforation」をキーワードに検索したところ,自験例を含め23例の多発血管炎性肉芽腫症に関連した消化管穿孔が報告されていた3)6)~26)(会議録を除く)(Table 2).男女比は17:6と男性に多く,年齢中央値は47歳(29~71)で比較的若年発症であった.23例中19例が治療開始後に発症しており,うち10例が治療開始1か月以内に発症していた.穿孔した腸管部位に一定の傾向はなく,23例中12例が多発性に穿孔していた.手術は全例に行われ,穿孔部位閉鎖3例,腸管切除18例,人工肛門造設8例(重複あり)であった.予後は,23例中6例が術後早期に,多臓器不全や肺炎で死亡しており,適切かつ迅速な診断,治療が必要と考えられた.切除検体の病理組織学的検査は21例に行われているが,病理組織学的に穿孔の原因が血管炎と推測できたのは本症例含めて11例のみであった.
| No | Author/Year | Age/Sex | Time from the onset | Time from the treatment start | Pre.ope treatment | Affected intestine (number of the perforation site) | Operation | Pathology | Outcome |
|---|---|---|---|---|---|---|---|---|---|
| 1 | McNabb6)/1982 | 50/M | 9 months | 3 days | P+A | Descending colon (2) | Resection | Ulcer | Alive |
| 2 | Geraghty7)/1986 | 46/M | 1 month | 3 days | P+C | Ileum+Colon (3) | Primary closure | Ulcer | Dead (MOF) |
| 3 | Tokuda8)/1989 | 37/M | 2 years | 4 days | P+C | Descending colon (1) | Resection | Vasculitis | Alive |
| 4 | Tsujimura9)/1991 | 38/M | 6 years | 2 weeks | P+C | Ileum (5) | Resection | Vasculitis | Dead (pneumonia) |
| 5 | Ushiyama10)/1997 | 58/F | 3 months | 2–3 days | P | Transverse colon (1) | Stoma | Vasculitis | Alive |
| 6 | Srinivasan11)/1999 | 56/F | 10 weeks | 6 weeks | P+C | Ileum (unknown) | Resection | Ulcer | Alive |
| 7 | Tagami12)/1999 | 60/M | 2 months | 5 days | P+C | Ileum (multiple) | Resection+stoma | Ulcer | Alive |
| 8 | Skaife13)/2000 | 69/M | 0 day | — | — | Duodenum (multiple) | NR | Vasculitis | Dead (unknown) |
| 9 | Akca14)/2005 | 56/M | 3 months | 2 months | P+C | Ileum (unknown) | Resection | Ulcer | Alive |
| 10 | Shaikh15)/2006 | 44/F | 8 weeks | 1 day | P+C | Ileum+Colon (multiple) | Resection+stoma | Vasculitis | Alive |
| 11 | Minami16)/2007 | 55/F | 0 day | — | — | Ileum (unknown) | NR | — | Alive |
| 12 | Deniz17)/2007 | 44/M | 1 month | — | — | Ileum (1) | Resection | Vasculitis | Alive |
| 13 | Yildirim18)/2010 | 32/M | 2 weeks | 2 weeks | P+C | Ileum (multiple) | Resection+stoma | Vasculitis | Dead (MOF) |
| 14 | Samim19)/2010 | 35/M | 4 months | 4 months | P+C | Duodenum (1) | Resection | Ulcer | Alive |
| 15 | Hattori3)/2011 | 71/M | 3 months | 26 days | P+C | Descending colon (1) | Resection+stoma | Ulcer | Alive |
| 16 | Akbulut20)/2012 | 47/M | 18 months | 18 months | P+C | Ileum (4) | Stoma | — | Alive |
| 17 | Kita21)/2013 | 61/F | 15 years | 9 months | P+C | Transverse colon+Ascending colon (2) | Resection+stoma | Ischemia | Alive |
| 18 | Hakan22)/2013 | 47/F | 2 weeks | — | — | Duodenum+Ileum (multiple) | Resection+stoma | Vasculitis | Dead (MOF) |
| 19 | Dag23)/2013 | 29/M | 6 months | 7 days | P+C | Ileum (7) | NR | Vasculitis | Alive |
| 20 | Ruiz24)/2017 | 36/M | NR | NR | P+C | Ascending colon (1) | Resection+stoma | Ulcer | Dead (MOF) |
| 21 | Kiboshi25)/2017 | 51/M | 1 month | 1 day | P | Ileum (1) | Resection | Vasculitis | Alive |
| 22 | Soriano26)/2018 | 69/M | 7 years | 40 days | P+C | Sigmoid colon (1) | Resection+stoma | Ulcer | Alive |
| 23 | Our case | 45/M | 12 days | 12 days | P+C | Ileum (2) | Resection | Vasculitis | Alive |
P: prednisolone, C: cyclophosphamide, A: azathioprine, MOF: multiple organ failure, NR: not recorded
消化管穿孔の原因は血管炎の直接関与のほか,prednisolone(以下,PSLと略記),cyclophosphamide(以下,CPAと略記)などの薬剤性,CMV感染が考えられる.PSLは消化管出血・穿孔の危険因子であることはよく知られており,PSLによる消化管穿孔は十二指腸が好発部位であるが,小腸や大腸でも報告がある27).CPAは腸管のパイエル板のリンパ球減少による粘膜の脆弱化と破壊を引き起こすと考えられている3).報告例の多くが薬剤治療開始後早期に発症しており,治療により炎症が消退した後の血管内皮障害による血栓閉塞が原因として推測されている.免疫抑制状態に起因する感染症の関与による消化管穿孔の報告もあり,特にCMV感染による消化管穿孔例は,血管内皮細胞にCMVの封入対が多数みられることから血管内皮細胞に感染したCMVが血管腔の狭小化を来すことによる循環障害が潰瘍形成の一因と考えられている28).
本症例では治療開始12日目の発症であり薬剤性の可能性も考えられたが,病理学的に血管周囲の炎症性細胞浸潤と,炎症細胞による血管壁への浸潤という特徴的な所見を認めたことから,血管炎による腸管穿孔と診断した.また,CMV感染を示唆する所見は認めなかった.
穿孔後の治療として,初回同様のシクロホスファミドパルス療法とステロイド維持療法を再開した.治療変更しなかった理由は,治療抵抗性のため病状が悪化したのではなく,消化管穿孔は病勢の中で発症したものと考えたからである.ステロイド投与開始後約1週間,シクロホスファミド投与開始数日後であることから,治療抵抗性とするには期間が短いと判断した.
小型血管に炎症を来す血管炎において,一般的に穿孔部位は腸間膜対側に認められることが多い.その理由として,腸間膜やその近傍の腸管に血管炎を認め,腸間膜付着部から離れるほど虚血になりやすいため,腸管壁の潰瘍や壊死は腸間膜付着対側で強いとされている29).
初回手術後53日目に再手術となり,開腹所見からは部位は同定できなかったものの再穿孔の可能性も考えられた.今回の集計でも再穿孔を認めた症例が報告されている9)21).初回手術時に多発潰瘍を認めており,手術後は原病の治療が再開されるため,再穿孔の危険性は十分考えられる.多発血管炎性肉芽腫症の消化管穿孔はまれではあるが,治療開始後早期に発症し,時に致死的となるため,発症時には迅速かつ適切な治療判断が必要である.また,潰瘍病変が多発する傾向にあり,術後の再穿孔の可能性もある.これらを十分理解し,患者・家族へ説明し,治療にあたることが必要である.
多発血管炎性肉芽腫症に伴う消化管穿孔はまれな疾患であり,その特徴には不明な点が多かった.今回の検討から,多発血管炎性肉芽腫症に消化管穿孔を発症した場合,重症化しやすく予後が不良である,さらに穿孔部位は多発することが多く,再穿孔の可能性も考えながら治療を継続する必要があることが確認できた.
利益相反:なし