2017 年 59 巻 2 号 p. 87-99
ブラキシズムの関与した限局型慢性歯周炎患者に対し,tooth contact habit(TCH)のコントロールとナイトガード装着後にfull mouth disinfection(FMD)と歯周組織再生療法を行い,サーポーティブペリオドンタルセラピー(SPT)移行後も良好に経過している一症例を報告する。
患者は初診時64歳女性で右上臼歯部歯肉の腫脹・疼痛を主訴に来院した。臨床診査で上下左右臼歯部に限局した深い歯周ポケットと垂直性骨吸収像が認められTCHとブラキシズムの自覚があり,ナイトガードの装着と自己暗示療法の指導を行った。細菌検査でPorphyromonas gingivalisが16.67%,Tannerella forsythensisが3.48%,Treponema denticolaが3.68%と高い割合で検出されたため,アジスロマイシン投与下でfull mouth disinfection(FMD)を行い,その後1,2壁性骨欠損とLindhe下顎II度根分岐部病変にエナメルマトリックスデリバティブ,β-リン酸三カルシウム,吸収性メンブレンを併用した歯周組織再生療法を行った。FMD後は急性歯周膿瘍が再発せずコンプライアンスが得られた。歯周組織再生療法時の所見では肉芽組織や根面の歯肉縁下歯石量は少なく,そのため術野の確保が容易となり施術時間が短縮された。術後の診査では,probing pocket depth,bleeding on probing,clinical attachment levelの減少,垂直性骨吸収像の改善と根分岐部に硬組織の造成が認められた。P. gingivalis,T. forsythensis,T. denticolaは検出限界以下となり,SPT移行後の経過も良好である。
限局型慢性歯周炎の臨床所見では深い歯周ポケットを伴う歯肉の発赤・腫脹と垂直性骨吸収像が認められる。原因として歯肉縁下プラーク中の歯周病原性細菌と咬合性外傷が考えられる。
すなわち,歯周病原性細菌はバイオフィルムを形成するため,歯周基本治療ではスケーリング・ルートプレーニング(SRP)による機械的処置が行われている。また,咬合性外傷にはオクルーザルスプリントの装着と自己暗示療法による力のコントロールが試みられている。
近年歯周疾患の病態と歯周病原性細菌の関連が明らかになり1-3),またチェアーサイドで簡便な細菌検査が実施可能となり,検出菌に応じて抗菌剤を選択し,機械的処置を併用しながら抗菌療法を行うことが可能となった4-11)。
本学会の歯周病患者における抗菌療法の指針12)ではフルマウス・スケーリングとルートプレーニング(FM-SRP)と経口抗菌薬との併用は従来の1/2顎あるいは1/3顎に分けて通常1週間間隔で行うSRPと経口抗菌薬との併用と比較して効果に差異はないという見解である。しかしながら,経口抗菌薬とFM-SRPの併用は治療期間の短縮化や発熱等の菌血症の予防に有用という報告もある10,11)。
また,咬合性外傷の一要因として,ブラキシズム(グラインディング,クレンチング,タッピング)が異常機能習癖とされているが,日常臨床での力の定量化が困難であることから,問診と頬圧痕や舌圧痕の有無,歯の咬耗や骨隆起の有無などの口腔内診査から得られる情報から診断することが多い。
池田13)は,睡眠時のブラキシズムの診断と治療にオクルーザルスプリントと自己暗示法を示した。オクルーザルスプリントにファセットを印記する方法で睡眠時のブラキシズムの種類や力の大きさが可視化され,患者のモチベーションにも役立つとしている。
また,川崎14)は咬合性外傷は上下の歯が軽く接触している時間が長ければ起こり得るとし,この軽度のクレンチングをtooth contact habit(TCH)と呼び,診断と対応を示している。
今回,限局型慢性歯周炎患者に対し,原因の一つと診断したブラキシズムに対応しながら基本治療時にアジスロマシン15-17)経口投与下でfull mouth disinfection(FMD)4-6),10,11)を行い,その後1,2壁性骨欠損が認められた部位とLindhe II度18)(以下,分岐部病変の分類はすべてLindheの分類とする)の下顎根分岐部病変にエナメルマトリックスデリバティブ(EMD),β-リン酸三カルシウム(β-TCP),吸収性メンブレンの併用による歯周組織再生療法を行い,サポーティブペリオドンタルセラピー(SPT)移行後も経過良好な症例を報告する。
尚,本症例の報告については患者の同意を得ており,使用した薬物・材料は厚生労働省の許可済みである。
患者:64歳女性
主訴:右上臼歯部歯肉の腫脹・疼痛
口腔内既往歴:数年前から右上の歯肉に違和感があったが放置していた。10日位前から同部位の歯が浮いている感じがあったが痛みはなかった。昨夜から痛み始め歯周病ではないかと心配になり友人に相談したところ,当院を紹介され来院した。
全身既往歴:軽度骨粗しょう症(未投薬)
家族歴:不明
性格:温厚,真面目,やや神経質
喫煙歴:なし
嘔吐反射:強
ブラキシズム:就寝時のグラインディングを家族に指摘されているため自覚はある。
TCH:日中の弱いクレンチングについて初診時は自覚がなかった。
1. 診査・臨床所見初診時の口腔内所見では,14(歯式はFDI方式とする)に側方運動時の干渉がありTooth mobility(Mo)は3度でエックス線所見では垂直性骨吸収像が認められた。左右頬粘膜に圧痕があり上下顎前歯部に咬耗が認められ,問診の結果から就寝時のグラインディングが疑われた。TCHの診断には川崎式13)問診を行い,初診時には自覚がなかったがその後の来院でTCHがあることが判明した。
上下左右臼歯部歯肉に発赤腫脹(図1)と14口蓋中央部に10 mm,24口蓋遠心に7 mm,37頬側中央部に8 mm,45舌側遠心部に8 mm,46舌側中央部に9 mm,47頬側中央部に6 mmの歯周ポケット(PPD)が認められ,いずれもbleeding on probing(BOP)は陽性であった。14以外のMoは17-15,24,46,47が1であった(図2)。初診時の臨床的アタッチメントレベル(CAL)の計測値を(図2)に示した。根分岐部病変は37,46,47がII度,26はIII度であった。
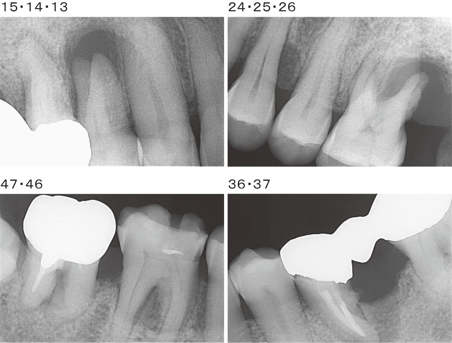
また,エックス線所見では14,24,25,36,45に垂直性骨吸収像と26,37,46,47に根分岐部病変が認められた。36は遠心根が分割抜去18)されていた(図3-1,3-2)。
細菌検査は歯周病関連菌検査キット(PCR-Invader法,株式会社ビー・エム・エル,東京)を用い,検査対象歯の頬舌側をロール綿で簡易防湿を行い,滅菌乾綿球にて歯肉辺縁部の唾液とプラークを除去し,33頬側遠心部(BD)の6 mmの歯周ポケット最深部にペーパーポイントを挿入してサンプリングを行った。検査日は初診の歯周病検査から1週間後の予約とし,それまでマウスリンスの使用を中止するよう指導した。
サンプリング部位の決定は抜歯の可能性がないこと,ペーパーポイントに唾液が付着しにくく,補綴物マージン部のプラークの影響がなく,根分岐部病変や根面溝がない単根歯の深い歯周ポケットが再現性が高いと判断して1ケ所を選択し,歯肉縁下細菌数の変化を把握することにした。
検査対象はAggregatibacter actinomycetemcomitans(A. actinomycetemcomitans),Porphyromonas gingivalis(P. gingivalis.),Tannerella forsythia(T. forsythia),Treponema denticola(T. denticola)の4菌種とした1-3)。検査結果の判定はred complex( P. gingivalis,T. forsythia,T. denticolaの合計)1,3)の菌比率を用いた7)。
細菌検査結果の判定は三辺ら19)や本学会の抗菌療法の指針12)に従った。
初診時の細菌検査ではA. actinomycetemcomitansは検出されず,red complexのP. gingivalisが16.67%,T. forsythiaが3.48%,T. denticolaが3.64%検出され,合計23.79%と高い割合を示しハイリスクと判定した(図4)。
診断:ブラキシズムの関与したred complex感染による限局型慢性歯周炎

初診時口腔内写真(2011年4月)

初診時歯周組織検査結果(2011年3月)

初診時パノラマエックス線写真(2011年4月)

初診時デンタルエックス線写真(2011年4月)

細菌検査結果(初診時)33BD
1)歯周基本治療
・14歯周膿瘍の切開排膿と固定,咬合調整,歯髄診断
・プラークコントロールと超音波スケーラーによる歯肉縁上スケーリング
・自己暗示療法とナイトガード装着
・FMD
2)再評価
3)歯周組織再生療法 13,14,15,24,25,36,37,45,46,47
4)再評価
5)口腔機能回復治療
・14 miner tooth movement(MTM)
・26,47全部鋳造冠装着
・17-14,36-37ブリッジ装着
6)SPT
3. 治療経過 1) 初診時(2011年3月)主訴であった14歯周膿瘍の切開排膿と固定,咬合調整を行い,急性症状消退後に行った歯髄診断では生活歯であり,Mo 2度に回復したため,可及的に保存する治療計画を立てた。
その後,スクラビング法によるブラッシング指導と並行してナイトガードの使用と自己暗示療法の指導を行った。
患者は初診時既に歯間ブラシとタフトブラシを用いて歯間部清掃を行っており,初診時のプラークコントロールレコード(PCR)は58%であった(図2)。
ナイトガードは厚さ2 mmのハードタイプのプレート(ブラキシズムスプリントⓇ,名南歯科貿易株式会社,名古屋)を用いバキュームプレス(Pro-formⓇ,株式会社ジーシー,東京)で上顎用を作成した。ナイトガードの調整は口腔内で締めつけを感じない長さまで辺縁を削除し,対咬面は平坦で側方運動や前方滑走を妨げないよう,咬合紙を用い確認しながら行った。
ナイトガードの装着は就寝時であるが,使用開始直後は夕食後,指導を受けた方法でプラークコントロールを行ってから1-2時間装着した後就寝するよう指導した。
自己暗示療法は2回目の来院時にTCHの自覚があったため,安静時には唇は閉じていても上下の歯は咬まないのが正常な歯の位置であることを説明し,日常的にこの位置を意識するよう指導した14)。読書や家事をしている時にも上下の歯が接触していないか意識することができるように,パソコンや冷蔵庫にシールを貼り,これを見た時に意識する方法を提案した。しかしながら,14急性歯周膿瘍は再発した。
2) FMD(2011年5月)初診時の細菌検査結果からred complexが高い割合で検出されたため,歯周基本治療にFMDを実施した。
尚,本学会の抗菌療法の指針12)における用語解説ではFMDは「1度に全顎のSRPを行う」と記載されているが,本症例では長時間の施術に対する患者の負担を考慮し2日に分けて行った11)。
FMDはアジスロマイシン1日500 mg(ジスロマック錠Ⓡ,ファイザー製薬株式会社,東京)を3日間投与し,服用3日目に上顎,その翌日に下顎の歯肉縁下スケーリング・ルートプレーニングと深い歯周ポケット内面の肉芽掻把をグレーシーキュレット型スケーラー(No. 7-8,11-12,13-14)を用いて局所麻酔下で歯科医師が行った。両日とも開始前に歯肉縁上のプロフェッショナルメカニカルトゥースクリーニング(PMTC)を実施し,患者にはFMD1日目からグルコン酸クロールヘキシジン0.05%配合洗口液(コンクールⓇ,ウェルテック株式会社,大阪)を規定濃度に希釈した含漱を1日3-4回,1週間以上継続して行うよう指導した。
FMD後は14歯周膿瘍が発症しなくなり,症状が安定したことで患者とのコンプライアンス9)が得られ,ナイトガードの使用等の力のコントロールにも積極的に取り組んでくれるようになった。
3) 歯周組織再生療法(2011年7月~2012年1月)FMD後にEMD,β-TCP,吸収性メンブレンを併用した歯周織再生療法を行った。
骨欠損形態は,13,14,15は頬側に一部骨壁が存在し,14口蓋側に広がった1壁性,24,25歯間部は頬側に一部骨壁が存在した1壁性,36遠心部は舌側と遠心部に骨壁が残存した2壁性,37頬側に約3 mm幅のII度の根分岐部病変,45-46歯間部は頬側に一部骨壁が存在した1壁性,46は舌側に約4 mm幅のII度の根分岐部病変,47は頬側に約3 mm幅のII度の根分岐部病変が認められた。
47は初診時の診査では分岐部にプローブは貫通せずII度と診断したが,歯周組織再生療法時の所見では舌側にプローブの幅と同程度の骨欠損が存在した。
尚,26のIII度根分岐部病変に対する処置は24歯周組織再生療法前に上行性歯髄炎を発症したため,抜髄と同時に26のみ全層弁を形成し,頬側遠心根の分割抜去18)を行った。
本学会のガイドライン20)では根分岐部病変への歯周組織再生療法の適応はGuided Tissue Regeneration(GTR)法以外に十分なコンセンサスはないとされている21,22)が,GTR法の適応である骨内欠損における骨移植材とメンブレンの併用については付加的効果が認められた報告23)と単独使用と併用の有意差を認めなかった報告がある24-26)。
また,下顎II度の根分岐部病変に対しEMDはフラップ手術単独よりもPPDやCALに付加的効果が有意に認められた報告もある27-29)。
本症例では,それまで術者が行ってきた吸収性メンブレンとβ-TCPの併用による根分岐部病変への再生療法の経験と考察から,さらなる良好な予後を期待しEMDを併用する治療計画を立てた。
歯周組織再生療法の術式は通常のフラップ手術に従い全層弁形成後,不良肉芽組織掻把とルートプレーニングを行い,生理的食塩水滴下でエンジンブラシを用いて歯根面の清掃を行った。その後,歯根面のエッチング,デコルチケーションを行った後にEMD(EMD-gelⓇ,ストローマン・ジャパン株式会社,東京)を歯根面に塗布し,β-TCP(オスフェリオンⓇ0.5-1.0 mm,オリンパス株式会社,東京)を過不足なく填塞後,骨欠損形態を十分覆うようにトリミングした吸収性メンブレン(コーケンティシュガイドⓇ,株式会社高研,東京)で被覆し,歯根面に結紮固定した。歯肉弁を戻す際に必要に応じて減張切開を入れ,メンブレンを露出させずに,過度のテンションがかからないようにした。縫合は5-0ソフトナイロン糸(ソフトレッチⓇ,株式会社ジーシー,東京)を用いメンブレンがずれないように,またメンブレンを傷つけないように単純縫合で行った。
全層弁形成時の所見では,すべての部位で肉芽組織や根面の歯肉縁下歯石量は通常のスケーリング・ルートプレーニング後より少なく出血も少なかったことから術野の確保を容易に行うことが出来,施術時間が短縮された。
患者は介護のため来院中断(2012年3月~6月)したが,歯周組織再生療法後6ヶ月の再来院時の再評価(2012年7月)(図5)では,初診時に比べ上下左右臼歯部で歯肉の発赤腫脹の改善が認められた。PCRは11%に維持されていた。
また,臨床診査結果では,14の口蓋中央部はPPD 2 mm,BOP(-),Mo 1度に減少し,4 mmのアタッチメントゲインが認められた。24の口蓋遠心部はPPD 3 mm,Mo 0度に減少し,3 mmのアタッチメントゲインが認められた。37の頬側根分岐部はPPD 4 mmに減少し,3 mmのアタッチメントゲインが認められ,根分岐部病変はI度に改善した。45舌側遠心部はPPD 2 mmに減少し,6 mmのアタッチメントゲインが認められた。46の舌側中央部はPPD 4 mm,Mo 0度に減少し,3 mmのアタッチメントゲインが認められ,根分岐部病変はI度に改善した。47の頬側中央部ではPPD 4 mm,BOP(-),Mo 0に減少し,3 mmのアタッチメントゲインが認められ,根分岐部病変はI度に改善した(図6)。同部位は歯周組織再生療法時に舌側にプローブの幅と同程度の骨欠損を認めたが,舌側分岐部に水平的にプローブは挿入されなかった。
さらに,歯周組織再生療法を行った部位のデンタルエックス線所見で14近遠心部,24遠心部,36遠心部で垂直性骨吸収像の改善と46,47の根分岐部に硬組織の造成が認められた(図7)。

歯周組織再生療法後6ヶ月の口腔内写真(2012年7月)

歯周組織再生療法後6ヶ月の歯周組織検査結果(2012年7月)

歯周組織再生療法を行った部位のデンタルエックス線写真(2012年7月)
再来院時(2012年7月)の歯髄診断で14は失活していたため根管治療を行い,口蓋側に傾斜した歯軸調整のためminer tooth movement(MTM)を行った(2012年11月~2013年1月)。12から15に矯正用ブラケット(ファイバーグラスブラケットⓇ,フオレストデントジャパン株式会社,東京)を装着し,0.16×0.16wire(BLUE ELGILOYⓇ,株式会社ロッキーマウンテンモリタ,東京)で作成したバーティカルループを2週間に1度activateし,隣在歯の歯軸と並行な位置まで傾斜移動させた。
その後,補綴治療(2013年2月~10月26,47全部鋳造冠装着,17-14,36-37ブリッジ装着)を経て,再評価後にSPTに移行した。
5) SPT(2013年12月~)SPT移行後は1,2ヶ月毎の来院間隔でTCHやナイトガードの使用状況やプラークコントロールのチェックを行っている。
患者はTCHについては自覚を持ち続けることに慣れ,噛みしめずに力を抜くように心がけており,ナイトガードの使用も習慣化している。
歯周組織再生療法後4年経過し,患者のプラークコントロールは良好に保たれているが,46-47舌側にプラークが残りやすい傾向にあり(図8, 9),SPT時に歯ブラシのあて方や角度を確認すると共に超音波スケーラーによる歯周ポケット内洗浄を行っている。
臨床診査結果(図9)では,26遠心部,37,47頬側中央部に4 mmの歯周ポケットとBOP(+)が残存していたが,他の部位の経過は良好であり,24頬側遠心部,37頬側中央部,46舌側中央部では歯周組織再生療法後6ヶ月の診査時よりもさらにアタッチメントゲインが認められた。
パノラマエックス線写真(図10)では初診時に比べ全顎にわたり歯槽硬線の明瞭化が認められた。また,歯周組織再生療法を行った部位のデンタルエックス線写真の初診時とSPT時の比較(図11)では,15,14,13垂直性骨吸収像の改善,24,25,26垂直性骨吸収像の改善と骨梁構造の緻密化,36近遠心部の硬組織の造成と歯槽硬線の明瞭化,37,46,47根分岐部に硬組織の造成が認められた。
SPT移行時と歯周組織再生療法後4年経過後の細菌検査結果(図12, 13)では,A. actinomycetemcomitansおよびred complexは検出限界以下であった。

SPT時歯周組織再生療法後4年経過の口腔内写真(2016年2月)

SPT時歯周組織再生療法後4年経過の歯周組織検査結果(2016年2月)

SPT時歯周組織再生療法後4年経過のパノラマエックス線写真(2016年2月)

歯周組織再生療法を行った部位のデンタルエックス線写真~初診時(上段)とSPT時(下段)の比較

細菌検査結果(SPT移行時 2014年7月)33BD

細菌検査結果(SPT時歯周組織再生療法後4年経過 2016年3月)33BD
治療計画を立案する際に,歯周病は感染性の慢性疾患であることから細菌検査を行うことが望ましいとされている30)。本症例は初診時の所見で限局的に歯肉の発赤・腫脹と深い歯周ポケット,垂直性骨吸収像が認められたため,特異的な歯肉縁下細菌の存在を疑い1-3)細菌検査を行った。
Socranskyら1,3)は複合体(complex)として存在する歯肉縁下細菌と歯周病の臨床パラメーターとの関連を調査し,P. gingivalis.,T. forsythia,T. denticolaで構成されるred complexはPPDやBOPと相関があることを示し,その後の研究でred complexは歯周炎患者で比率が高く,難治性歯周炎ではさらに高いことを報告した。
本症例で行った初診時の細菌検査結果ではred complexが23.79%検出され1-3),また,red complexの中でもP. gingivalisの割合が16.67%と高かったためハイリスクと診断した12)。そのため歯周基本治療に経口抗菌薬投与下でのFMDを行い治療期間を短縮し,早急に歯周外科処置を行う治療計画を立てた4-11)。
FMDの概念はA. actinomycetemcomitansやP. gingivalis,Prevotella intermedia(P. intermedia)などの歯周病原性細菌の多くは未治療の歯周ポケット内だけでなく舌背や口腔粘膜,唾液,扁桃などにも存在し,SRP後の歯周ポケットに伝播する可能性があるため,これらを短期間に除去し再感染のリスクを減らすことである4-6)。
Quiynenら4)は重度慢性歯周炎患者に対し24時間以内に2回に分けて全顎のSRPを行うFMDにクロールヘキシジン溶液による含嗽や歯周ポケット内洗浄を応用した実験群と4分割で14日毎に行うSRPのみを行ったコントロール群を比較し,実験群で2ケ月後までPPDと歯周病原性細菌の減少に有意差が認められたことを報告した。しかしながら,実験群の数名の患者が発熱し,長時間のSRPにより多くの歯周病原性細菌が血流に取り込まれた影響であると説明した。
またGomiら10)は重度慢性歯周炎患者に対しアジスロマイシン投与後にFMDを行った実験群と従来の分割して行うSRPを行ったコントロール群を比較し,実験群で術後13週までPPD,GI,GCF量の減少に有意差が認められたことを報告した。細菌検査結果では実験群でA. actinomycetemcomitans,P. gingivalis,T. forsythensis,T. denticola,P. intermediaが術後13週まで検出されなかったが,コントロール群では術後5週にP. gingivalis,T. forsythensis,P. intermediaが検出されたことから,SRP後に再感染した可能性を示唆した。
さらに,実験群において発熱する患者がいなかったことから,アジスロマイシン投与下で行うFMDは歯周基本治療に有用であり,治療期間の短縮に繋がると結論づけた。
この報告に続きYashimaら11)はアジスロマイシンは長い半減期をもつため,歯肉内での有効濃度が持続している7日以内に全顎のSRPを行えばFMDと同等の効果が得られると述べている。
本症例の抗菌剤の選択は国内で歯周組織炎への適応が認められており,服用期間9)や薬剤の特徴からマクロライド系抗菌薬のアジスロマイシンを選択した15-17)。アジスロマイシンは組織移行性に優れており,P. gingivalisを含む歯周病原性細菌に抗菌作用を示すことから,red complexの中でもP. gingivalisの割合が高かった本症例に適した抗菌薬と判断した。その結果,FMD後はred complexは検出限界以下まで減少した。これはFMDによる機械的処置により,歯肉縁下細菌叢を破壊し浮遊させることで薬剤の効果が得られやすくなったためと考えられる。
その後の歯周組織再生療法時に全層弁を形成した際に出血や不良肉芽が通常のフラップ手術に比べ少なく,術野の確保が容易となり施術時間が短縮されたことからも同様に推察される。
さらに,急性歯周膿瘍を発症している歯周ポケット内ではP. gingivalisが有意に増加しているという報告31)や急性歯周膿瘍発症時のアジスロマイシン投与の有効性の報告32)から,本症例ではアジスロマイシン投与下でのFMDにより頻発していた14の急性症状が抑えられたと考えられる。
骨内欠損に対する歯周組織再生療法としてメンブレンと骨移植材の併用23-26)やEMDと骨移植材の併用33-39)が報告されているが,本学会のガイドラインでは共にグレードC1(行うように勧めるだけの根拠が明確でないが,行うように勧められるコンセンサスがある)である20)。
EMDと自家骨や骨移植材(活性化ガラス,ハイドロキシアパタイト,β-リン酸三カルシウム等)との併用については,有意性を認める報告は少ない32-37)が,Leonardisら38)は1,2壁性骨欠損においてEMDと骨移植材の併用はEMD単独に比べPPDの減少やCALの獲得,エックス線所見の改善など臨床的に有用であることを示した。
また,1壁性骨欠損が80%以上を占める被験部位群に対しEMD単独の歯周組織再生療法と非吸収性メンブレンによるGTR法を行った臨床試験では,12ケ月予後を比較するとPPDの減少とCALの獲得に有意差が認められGTR法が有用であった。この結果からEMD単独では移植材やメンブレン単独や併用によって得られる再生のスペース確保は困難であり,創傷治癒の過程で軟組織の崩落が起こると考察されている40)。
併用療法の効果を評価することは,骨欠損形態やメンブレン,移植材の種類が多岐にわたり比較が困難であることから,Tuら41)は研究データのネットワークメタアナリシスを報告したが,骨内欠損において骨移植材やメンブレンとEMDの併用を支持するエビデンスは得られなかった。
一方,歯周組織再生の生物学的原理に基づき,骨欠損形態や分岐部骨欠損の広がりや深さによりEMD,骨移植材,メンブレンの併用を選択するデシジョンツリーを示す論文もある42)。
骨内欠損にEMDと牛骨由来の無機骨(DBBM),吸収性メンブレンを併用した歯周組織再生療法(実験部位)とフラップ手術(コントロール部位)を同一患者に行った研究43)の術後6ヶ月の比較では,PPDの減少とCALの獲得に有意差が認められ実験部位でより良好な結果が得られた。
本症例では,15,14,13,24,25,36,45,46の1,2壁性骨欠損と37,46,47のII度根分岐部病変に対しEMD,β-TCP,吸収性メンブレンを併用した歯周組織再生療法を行った(2011年7月~2012年1月)。
その結果,術後6ヶ月の再評価(図6)では初診時と比べ歯周組織再生療法を行った部位でPPD,BOP,Moの減少とアタッチメントゲインが認められた。
歯周組織再生療法後4年経過のレントゲン所見では初診時と比べ,1壁性骨欠損部で垂直性骨吸収像の改善と硬組織の造成,根分岐部で硬組織の造成が認められた(図10)。
また,埋伏している48が47遠心部の深い歯周ポケットの原因になっていることを初診時に患者に説明したが,抜歯の同意が得られなかったため,47-45の歯周組織再生療法時の全層弁形成時に48歯冠部を露出させずにdistal wedge44)を形成して深い歯周ポケットを切除した。また,オーバーハングだった47不良補綴物を除去し,遠心部の形成面をややアンダーカウンターにした全部鋳造冠を装着することで,メンテナンスしやすい環境を整えた(図10)。初診時47頬側遠心部はPD 7 mm,BOP(+)であったが,外科処置後はPD 2 mm,BOP(-)に改善した(図6)。
初診時に急性症状を繰り返していた14はSPT移行後も保存され機能しており,患者の満足度は高い。全顎的なプラークコントロールは良好であり,臨床所見,エックス線所見ともに安定した状態が維持されている(図8~13)。また細菌検査結果ではA. actinomycetemcomitansとred complexは検出限界以下である(図12, 13)。
患者は初診時から来院中断期間を経てSPTに至るまで日中のTCHのコントロールを心がけ,またMTM期間中を除いてナイトガードの使用を継続し力のコントロールを行ったことも良好な経過の一因と考えている。
本稿を終えるにあたり,貴重なご意見を賜りました昭和大学歯学部歯周病学講座 元准教授 鈴木基之先生,元講師 茂木義男先生に深く感謝申し上げます。
本論文の要旨は第59回春季日本歯周病学会学術大会(2016年5月21日)において発表した。
今回の論文に関連して,開示すべき利益相反状態はありません。