2018 年 60 巻 2 号 p. 53-63
わが国では歯周病の罹患率は成人で8割以上と極めて高いため国民病の1つに挙げられ,しかも症状に気づかずに進行することから「サイレント・ディジーズ(Silent Disease)1)」とも称される。基本的に細菌の感染症であるため,パラサイトである細菌の為害作用を抑制できるような対応を施すべきである。一般に,細菌はバイオフィルムを形成するので,歯ブラシなどの清掃道具を用いて物理的に除去したり,抗菌薬の薬理作用を期待して歯周ポケットの中への局所注入や経口投与を行う。しかし,抗菌スペクトルの問題や安易な頻回投与により耐性菌が出現したり,副作用が生じる2)。
どのような疾患であれ,患者は治療サイドにすべてを委ね,受動的になる傾向がある。しかし,歯周治療に限っては,これは当てはまらない。歯周組織は常に感染の危険に曝されており,生活習慣の影響を受けやすい。また,その時々の体調しだいで抵抗力に差が出てしまう予測の付け難い疾患である。歯周病患者に望むのは歯周病を正しく理解し,細菌と闘う積極性を持ち,協力を惜しまないことである。このように患者が持つべき前提条件が「モチベーション」である。しかし,様々な要因で変化しやすく,歯周治療では最も重要な,まさに「キーワード」である。本稿ではこのモチベーションについての解説と症例を通しての経時的変容について概説する。
歯周治療を成功させるための数ある条件の中で最も重要な条件は何であろうか。術者の高い学識や能力,患者の深遠な理解と協力の程度,生活習慣の改善努力など,たくさんのアイテム(項目)の中から選りすぐって考えると「モチベーション」に辿り着く。歯周治療の開始前からメインテナンスあるいはSPT(Supportive Periodontal Therapy)期に到る間にさまざまな理由からモチベーションに変化が生じることがある。例えば,歯周治療において,低いモチベーションだった患者が転じて高くなり,治療も首尾よく進行して良好なモチベーションの継続をみていたものが,リコールのある日予約キャンセルとなり,その後連絡も途絶え,そのまま中断となった症例も多くの先生方は経験済みであろう。患者から得られる正しい近々の情報が入らなくなり,日を追うごとに心配や不安が募るばかり。その原因がわかれば対応もできようが,情報なしで経過していくことも多い。特に,外科処置を実施した患者の場合,再感染して再発という状況が生じるとしたら,それまでの処置による効果が無駄となり,失敗例となってしまうだろう。患者のモチベーションは生活環境の変化や全身の健康状態,家庭内不和によるストレスや精神不安定など,これらにより著しく影響を受け,レベルダウンしてしまうことがあることは肝に銘じるべきである。可能ならば,カウンセリングで緩やかに,慎重に聞き出すことである。ラ・ポールが十分に得られていれば患者も話してくれるであろうが,けっして無理強いをしてはいけない。
モチベーションの定義はいろいろ紹介されているが,最も理解しやすいものの1つに,「目標に向かって行動を起こし,それを続ける心の力のこと」がある。自ら進んで目標達成に邁進するという積極性を感じる。
一般に「動機づけ」と訳されるが,「やる気」という言葉に置き換えられることもある3)。
2) マズローの欲求5段階説「やる気」はヒトの欲求と密接な関係があり,また,その根源的な欲求は5段階に分類される(図1)。最下層の「生理的欲求」から順にスタートし,その下位の欲求が満たされると1つ上位の欲求が呼び起こされ,それが満たされると欲求はさらに上位へと移動するが,第5段は「自己実現欲求」で,これは自我を超越した「メタ欲求」であり,第4段までの「不足を補おうとする欲求」とは次元が異なる。現在,多くの日本人にとって重要なのは,「自分を認めてもらいたい」という第4段の「承認欲求」で「モチベーション」と強く結びついていると考えられている4)。

マズローの欲求5段階説。
モチベーションの多くは「量」を念頭においてあり,「全力で」や「精一杯」のような量的表現を示す言葉が一緒に使用されることが多い。この「質」と「量」はしばしば反比例し,質の高いモチベーションは長続きしないこと,また,内側から自発的に沸いてくるもの(興味,関心,好奇心など)が多いと考えられている5)。
4) 日本人の特徴日本人は自発的なモチベーションが少なく,受動的なものが多い。すなわち,自分から「何かをやってやろう」ではなく,「やったほうがいいから」とか「やらなければならないからやる」のタイプの人が多い3)。
基本的に歯周病は細菌感染症であり,細菌の攻撃力に対し,宿主側の炎症反応や免疫反応の防御力とのバランスの上に成立し,生活習慣とも関連が深いことを知識として患者に与える。さらに,生活習慣の是正や口腔ケアによる細菌のコントロールの方法を指導する。具体的には,生活習慣として,睡眠,ストレス,喫煙などへの対応,細菌コントロールとしてブラッシング指導や抗菌薬の使用などを検討する。そして,それらの有効性や薬物の副作用の有無を調べ,良好な状態にシフトさせる。
2) 歯周治療とモチベーション上昇法歯周治療の場面では患者に無理強いさせない程度の安全な範囲でどのように利用されているのかを説明する。
①高過ぎる設定目標にしないレベルでのプラークコントロール
②指示は多過ぎない
③改善点をみつけ褒めること
④顕彰型表彰制度の導入
これらを含め,アイデアを駆使して患者の良きアドバイザーとなることが重要である。
3) 患者の歯周治療への導入患者の歯周病に対する理解は様々で,理解の程度を無視して治療を始めても症状は改善せず,かえって悪化して信頼関係の構築も得られないまま中断となる事例も経験する。その多くは治療に入る前の「モチベーション」が低いままで改善せず,患者の歯周治療への導入に失敗している。当然のごとく患者の理解と協力が必須である。そのため,患者,歯科医師,歯科衛生士の3者の協同作業によるチームアプローチにて遺漏なく,首尾よくエビデンスに基づいた歯周治療が展開されなければならない。治療の最も初期段階に実施されるこの「モチベーション」はハイレベルへと改善され,その良好な状態を長年もの間,高位で維持・継続できるよう,治療の段階を問わず,忘れることなく確認することが重要である。
筆者は30数余年の臨床経験の中で,歯周治療の最重要課題はこの「モチベーション」にあると信じている。数ある症例の中からいくつかの印象に残った症例を供覧し,モチベーションの変容および長期持続の意義について考慮する。2症例共に筆者が卒後最初に勤務した大学病院に奉職中の症例である(未発表)。
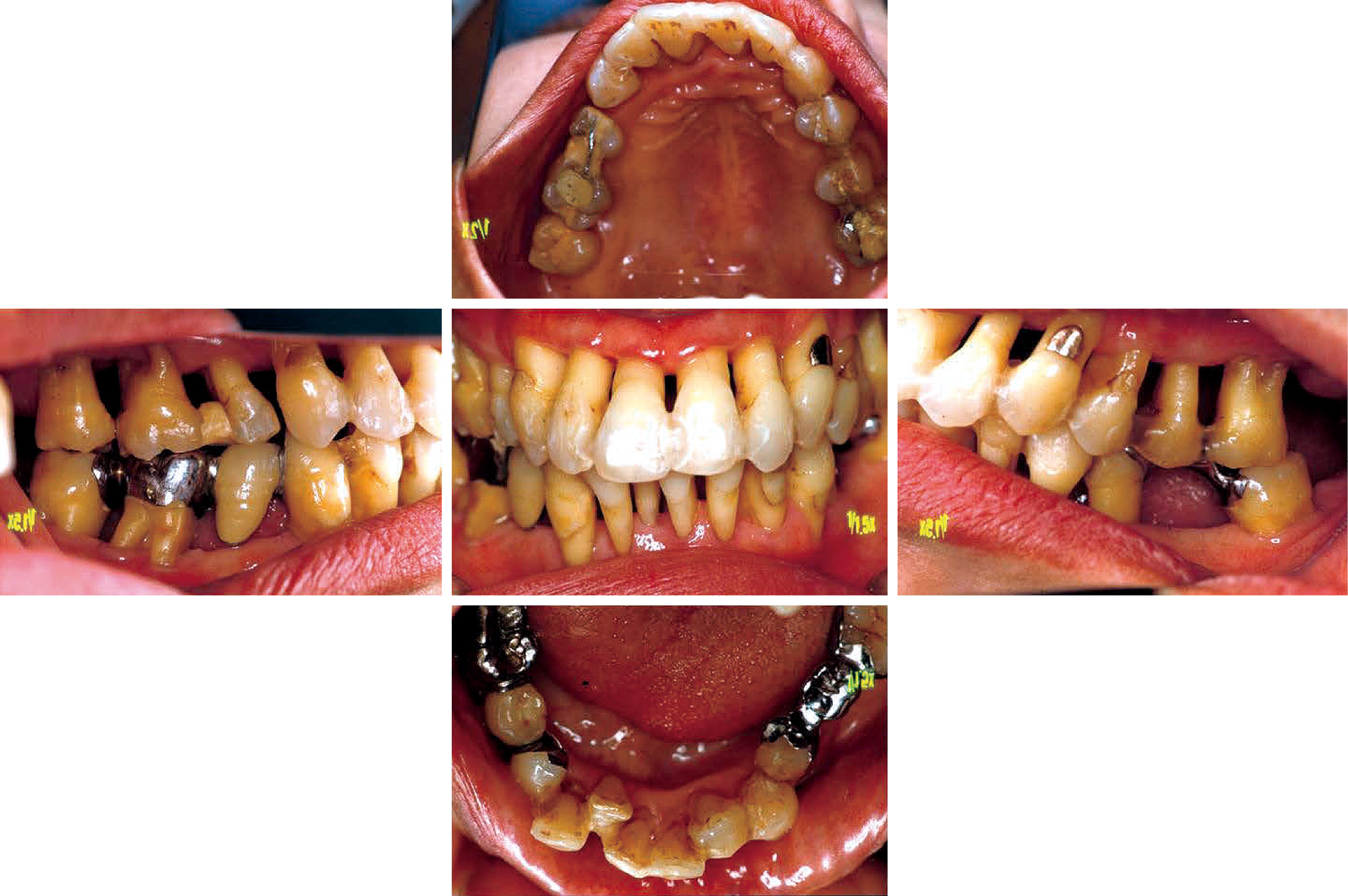
1) 症例 1 a) 主訴と病歴42歳の女性。自営業(惣菜屋)。「歯肉が腫れて痛い」を主訴に来院。
10歳代前半より歯磨き時の出血に気づき,特に上下顎臼歯部に歯肉腫脹を繰り返した。症状が強い時は開業医の下で切開・排膿処置および薬剤の処方を受けてきたが,歯周外科処置は受けたことがない。実娘が歯科衛生士であり,歯周治療専門医の勤務する大学病院での治療を勧められて来院した。医療面接より,本人に重度歯周炎に罹患しているという自覚は全くない。家族歴も全身既往歴も特にないが,喫煙習慣があり,1日20~30本を20年間継続しているとのことである。
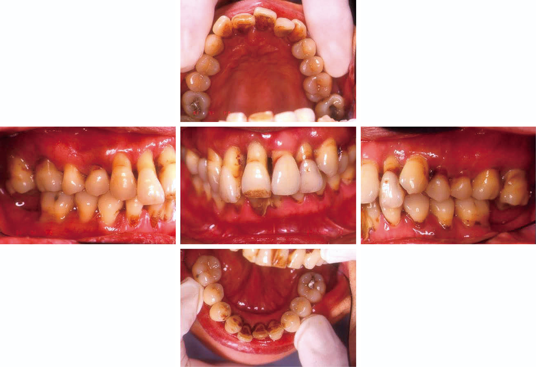
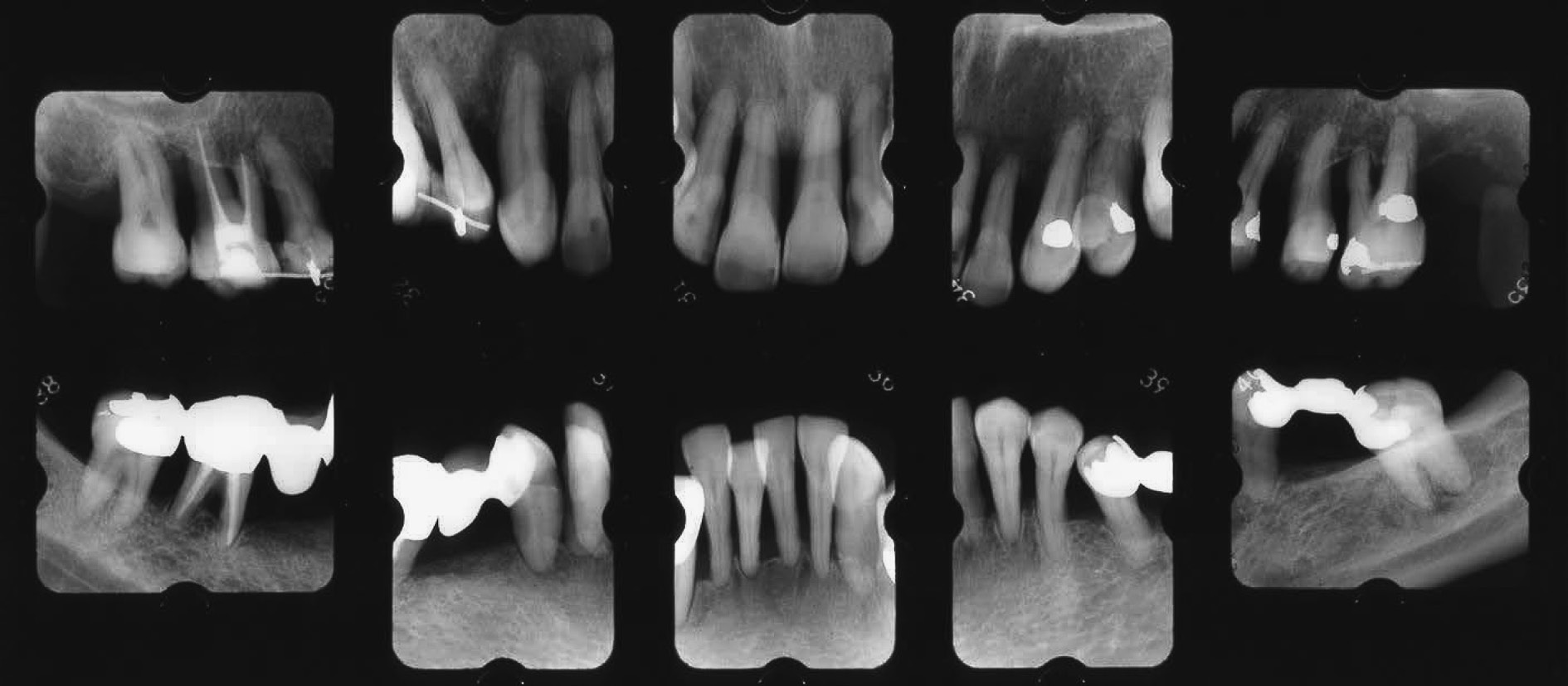
b) 治療方針と治療計画広汎型重度慢性歯周炎で喫煙関連性歯周炎でもある(図2,図3)。市場でご主人と天ぷらを揚げて販売している。仕事が多忙で,毎日疲労感が強く,睡眠も十分に取れない。重大な悩み事を持っている(内容不明)。細身体で,明らかにタバコ臭がある。歯周組織検査後,病状の説明を行い,治療計画を説明した。その際,希望があれば「禁煙指導」をする旨伝えたが,受諾はなかった。当時(平成6年)は現在ほど禁煙キャンペーンに熱心ではなかったことも災いしている。しかし,歯肉退縮,年齢42歳でかなりやせ型,タバコ臭と喫煙の悪影響がみられ,深いポケット残存部へのフラップ手術も計画しづらく,また再発の危険性も高いため,プラークコントロールレベルの改善に加えて禁煙達成を歯周外科手術実施の条件として計画を立てた。患者から得られた情報は歯周組織所見(図2)として歯根露出(歯肉退縮),歯の挺出,歯の着色,歯石沈着等であった。歯肉に発赤・腫脹の炎症所見が認められる。同様に,エックス線写真(図3)より,全顎的に高度な歯槽骨吸収がみられ,37および47は既に欠損し,17,16,12,11,22,24,25,26,27,31,41,42はほぼ根尖に至る骨吸収像,上下大臼歯はすべて根分岐部病変に罹患していることが分かった。
歯周基本治療を進めていくうちに患者は禁煙を達成した。唾液の性状が良好となり,口腔清掃による清涼感を実感し,噛む喜びを自覚できるようになったと同時に禁煙を達成できたという。
最終補綴物は歯周外科処置の実施の有無で異なると考えられるので,その時点では決定できず,固定式あるいは着脱式の両方の設計プランを提示した。患者が禁煙を達成したので,固定式のプランを目標に補綴処置を計画した。具体的には,①:17,16,12,27,31,41,42は抜歯,②:36および46は抜髄後遠心根のへミセクション,その後,46(M根のみ),45,44連結冠,43,32,33を支台歯とするブリッジ,34,35,36(M根のみ)の連結冠,15,14,13,11,21,22,23,24,25,26支台歯とするクロスアーチブリッジとした。

初診時(42歳,女性)の口腔内写真。

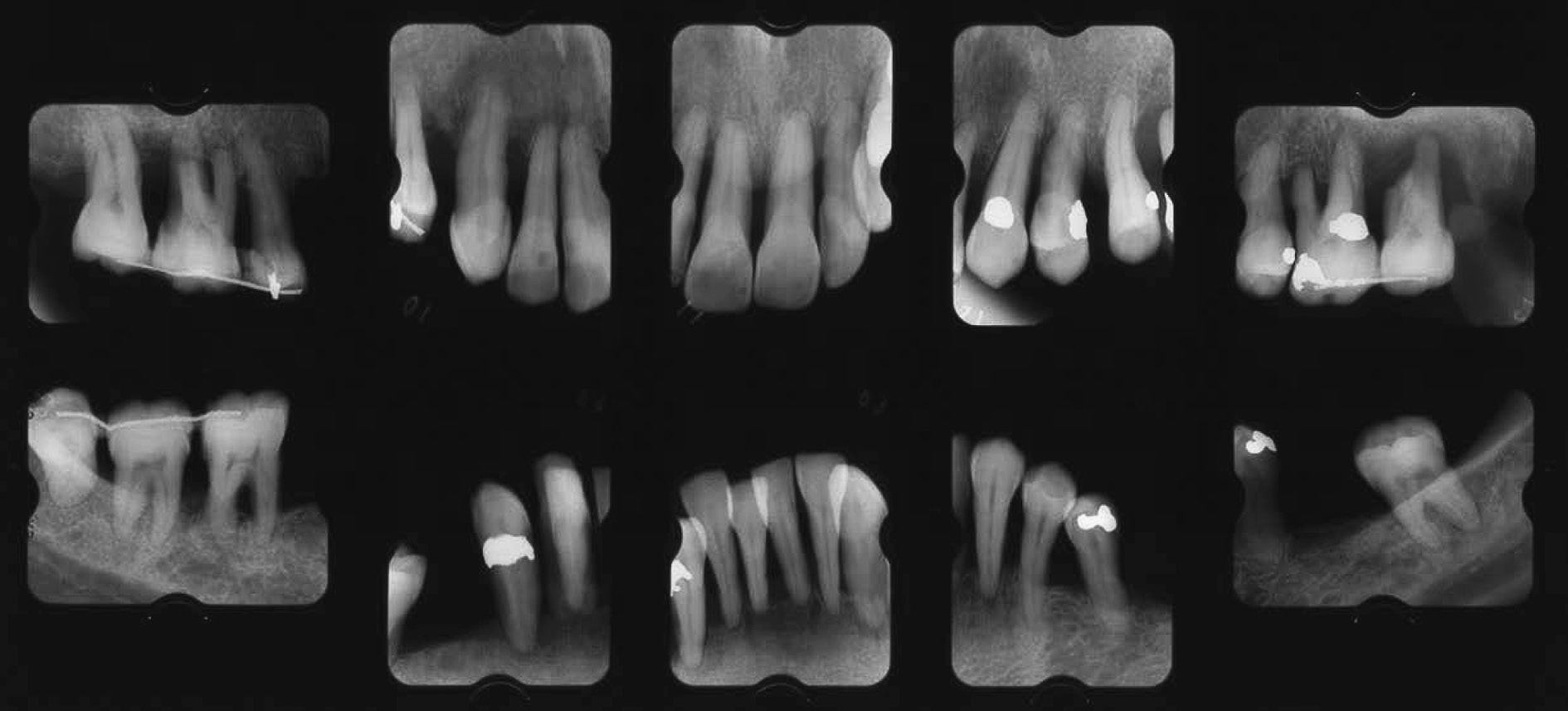
初診時(42歳,女性)のエックス線写真。
禁煙達成後の患者は溌剌として,ブラッシング(スクラッビング法,歯間ブラシ,タフトブラシ)に意欲的で,PCR値も10%台となり,歯肉も健康色(ピンク)に近付きつつあった。SRPやフラップ手術(オープンフラップキュレッタージ)の際には,できる限りさらなる歯肉退縮を軽減するよう留意した。抜去予定歯は歯周基本治療の段階で抜去,とりあえず,暫間義歯を作製したが,使用状況は良好でなかった。
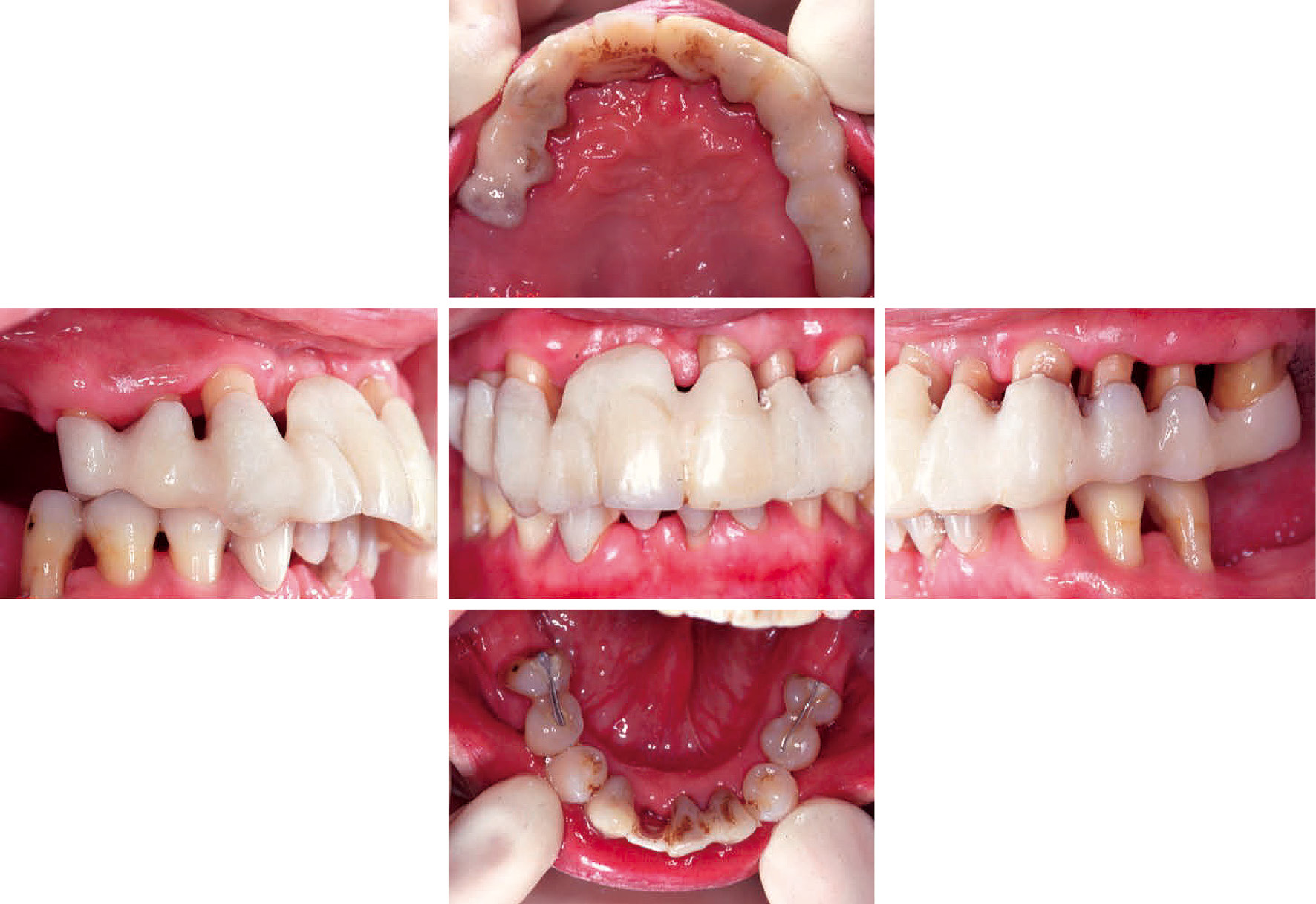
歯周外科処置終了後の再評価(図4)である。最終ブロックのフラップ手術終了3カ月後の再評価時で,術後,歯間空隙の開大がみられ,歯肉の形態がまだ不整の部位もあるが,この時点でSPT移行への歯周ポケットの条件を満たしている。
最終補綴物装着時に全体的に歯の動揺が見られなくなったが,下顎前歯部に若干の不安を抱えているため,装着後に44と43間をスーパーボンド™にて固定(追加)した。
初診より2年5ヶ月経過した再評価において,全顎PDは3 mm以下,BOP(-)を全ポケットで達成し,PCR値も10~15%で安定しているため,治癒良好と判断し,SPTに移行した。この時の病態写真(図5)より,補綴物を装着後,プラークコントロールはいっそう良好となり,歯肉の健康も獲得できた。
一方,同じSPT開始時のエックス線写真(図6)より,良好な歯槽骨再生所見が得られた。すなわち,初診時と比べ,保存した歯の周囲の骨再生が明らかで,ミゼラブルと考えられた11や21を含む10歯が一致団結して二次性咬合性外傷力に対抗しているかの感がある。上顎は15~26とロングスパンではあるが,平行性が取れたため1塊の連結冠を作製できたが,下顎は平行性が取れず,3つのパーツとした。その際,骨量が少なく,初診時より咬合の不安を抱えていた下顎前歯部に対し,冠装着後に接着材料で追加固定した(前述)。
思えば,健康長寿を首尾よく達成するための前提条件として禁煙を指導された患者であった。下顎前歯には抜髄処置を施し,連結冠を作製して永久固定へと計画を修正した。修正治療を経てSPTに入って約1年後に,ある大きな問題が発生した。診療予約のキャンセルがあり,その後,予約が取れないで約1年が過ぎた頃,本人から連絡があり,ご主人の1年前の突然死の話を聞いた。その後,精神的ストレスと寂寥感から喫煙を再開してしまい,プラークコントロールへの意欲も薄れてしまったという。歯周病に影響を及ぼす生活習慣の改善の中でも禁煙指導は確かに難しい。しかし,禁煙を含む治療計画により良好な治癒が得られたと思われた症例がこのように治療開始前に戻ってしまうような事例もあることを肝に銘じておくべきである。患者サイドの事情によるモチベーションの変容も治療効果に大きな影響を与えるという警鐘を鳴らす症例である。

歯周外科終了後の再評価時の口腔内写真(初診より1年11ヶ月後)。

SPT開始時の口腔内写真(初診より2年5ヶ月後)

SPT開始時のエックス線写真(初診より2年5ヶ月後)。
この患者は重度歯周炎に罹患しているにも拘らず,全く自覚のない無関心タイプ歯周炎患者で,歯科衛生士の娘が心配になって大学病院に同行して来院したものである。モチベーションのレベルからは,ほぼ最低に近いレベルからのスタートである。歯周病の原因やさまざまな病態,治療法と段階を経て説明していくのであるが,プラークコントロールの上達による歯肉の変化と節煙による歯肉の色調の回復および表層のカサカサ感の減少,口臭の減少などの改善がみられた。さらに節煙が進み,禁煙に到達。患者は禁煙できた恵みを実感,積極的なモチベーションを獲得し,飛躍的に改善してSPTに入り,良好な回復をみていた矢先,予想もしなかったあの悲劇が生じてしまった。モチベーションは治療前の元の低い位置まで戻り,治療は中断となってしまった。モチベーションの変化に気づいたら,ダウンするものであれば改善できないかを考えて,アップにもっていけるように方策を考えてあげるべきであったと深く自省している。
2) 症例 2 a) 主訴と病歴51歳の女性。主婦。「歯を失いたくない」を主訴に来院。
20歳代の頃より歯磨き時に出血を自覚するも放置していた。30歳代に全顎的に歯肉腫脹を繰り返し,近隣の歯科医院にて慢性歯周炎と診断された。ブラッシング指導および除石処置を受けるも,それ以上の治療はなく,定期検査の指示もなく,自己申告で通院日を決めていた。予後不良で全顎抜歯→総義歯か,保存できても2~3年程度と診断された。しかし,ご本人は納得できず,5~6件の歯科医院を受診したが,ほぼすべてで同一の診断および治療計画を提示されるのみであった。その後,ご主人の転勤が決まり,宿舎が大学歯学部病院(当時)の近傍にあったため,意を決して来院した。
全身的既往歴や家族歴はない。
b) 治療方針と治療計画患者のこれまでの鬱屈した苦しみを一気に噴出させるかのような初回の医療面接の聴き取りであった。「なんとしても歯を失いたくない。そのためには治療への協力を惜しまない。指示を即行動に結び付ける。」と言う誓いであった。しかし,現状は厳しく,永久歯が萌出し,咬合完成後,30数年間でこれほど歯周炎が進行し,組織破壊が進むものかと愕然とした。治療方針を決めるにあたり,抜歯か保存かの判断は難しく,喫煙などの生活習慣や全身疾患の影響を受けない患者に対し,何本の歯を確実に保存できるかもこの時点では決定できず,ただ,歯周組織支持の非常に少ない舞踏状の重度骨吸収歯を早期に抜去することには同意を得た。どのような症例であれ,歯周治療の原則を守り,患者(生体)の反応を正しく評価する治療方針を定めた。モチベーションは十分に高揚した状態で歯周基本治療に突入した。歯周治療の段階のその折々で,治療法や進路の厳しい選択が迫られるであろう。その時一番頼りになるのが患者との信頼関係の強さとモチベーションであると思われる。治療計画として実施すべきは,モチベーションに次ぐのがプラークコントロールであっても,これほどの高度歯根露出歯の場合,歯ブラシの正しい選択や正しい使用法,すなわち口腔清掃法で強い横磨きや過度なブラッシング圧,歯ブラシの毛先の移動距離等々についての指導を行い,また,化学的プラークコントロールとしての洗口液も積極的に勧めたい。それと同時のスピードで咬合を安定させる。固定したら全体とのバランスが取れているか,常にチェックしたい。この基本的な処置は患者を通して歯周治療の基本的原則の重要性を示唆してくれる。新しい発見が身近な存在に変わるまで,慎重に知識や技術を積み上げていくのが得策である。
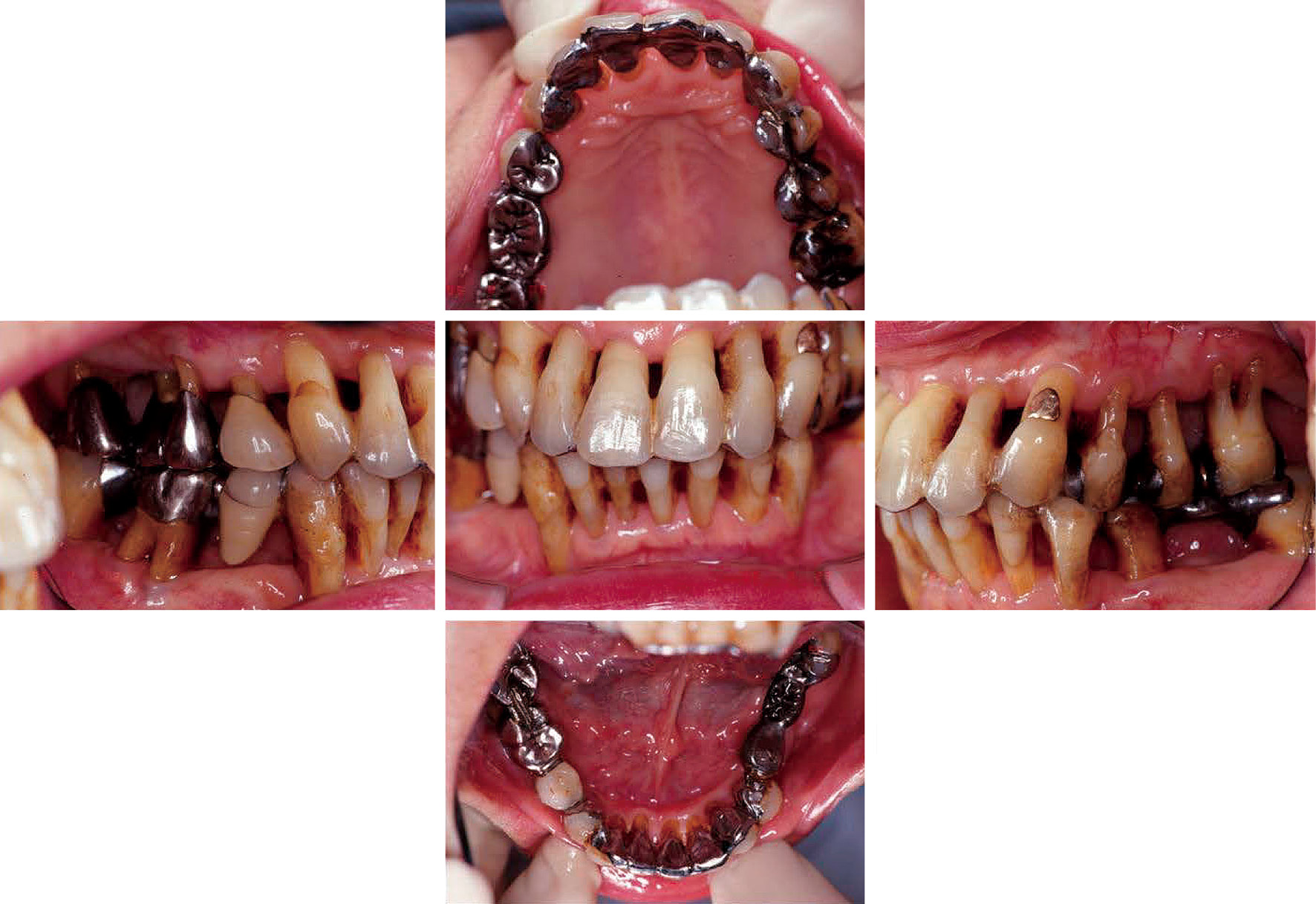
c) 治療経過とSPT重度の広汎型慢性歯周炎患者の初診時の病態写真(図7)とエックス線写真(図8)で,病態写真は一部紛失している。近隣歯科医の下でプラークコントロールや縁上スケーリング処置は受けたものの,外科処置やリコールの設定がなされなかったものである。高度な歯周組織破壊と著しい歯肉退縮が特徴である。ただ,動揺の揺れ幅や安定性に関しては頬舌方向の揺れより近遠心方向の揺れが明らかに少ない。14,35,44,45に歯の欠損があるものの,歯列の連続性が保たれていて,咬合圧等の外力に連座して抵抗できていたものと考える。そこで,二次性咬合性外傷への対策およびブラッシング時の機能的動揺への不安軽減を考慮して,計画の最重要点として,①隣接面を共有する全歯への暫間固定(前歯B-スプリント,臼歯A-スプリント),②欠損部への暫間義歯の装着の2つを掲げて処置を継続した。プラークコントロールは常時良好で,PCR値は10%前後に落ち着いていた。
歯周基本治療終了時の再評価で,初診時のエックス線写真像(図8)と比較して,歯槽骨の明らかな再生と骨の安定化傾向がみられた(図9)。さらに,15,16および24,25,26のA-スプリント,さらに13,12,11,21,22,23,24のB-スプリントは,二次性咬合性外傷の予防対策として暫間固定としての役割を十分に果たしていると考えられたので,それらは除去されることなく延長しての役割,すなわち,永久固定の補綴物間の補助的接着効果を期待して,形態修正および補強(レジンの追加)を施した。
本症例のように,既に大量の歯槽骨を失った部位でも,歯列の連続性を堅持し,動揺度が小さい歯の場合,残存歯根膜表面積の多寡で保存の可能性を考慮した方がエックス線写真から想定される骨吸収の重症度より,組織の状態を正確に表すこともあり,三次元的な解釈が必要であろう。すなわち,この場合,『歯根を支持する歯槽骨が予想外に多く保存されていて,歯を支えている』と解釈している。よって多くの歯が積極的な保存の対象となった。しかし,歯槽骨が吸収し,歯肉退縮や歯根露出が顕著にみられるのにまだ深い歯周ポケットが残存する部位に外科手術を実施する場合,角化歯肉の可及的保存や頭蓋・口腔系の解剖学的知識が必須となる。本症例はSPT期においてもモチベーションが良好に継続され,リコール期間も患者自身の希望で月に一度実施し継続できた典型的な長期SPT症例である。
SPT2年後の病態写真(図10)およびエックス線像(図11)である。歯槽骨のいっそうの再生と骨全体の安定化傾向が認められる。
SPT 17年後の病態写真(図12)およびエックス線像(図13)である。筆者が他大学に異動する前のリコール時に撮影したものである。一月に一回の予約をほぼ20年もの間継続されたこの患者こそモチベーションの鏡として賞賛されるに値する患者であると信じてやまない。
再度目を凝らしてSPTの両群を見比べて頂きたい。15年の時間差の中で,歯槽骨が再生・回復している部位の歯肉はどうなっているだろうか。健全な組織図の通り,歯槽骨の変化に応じて歯肉自体も好ましい変化を遂げていることが理解できるであろう。長い年月をかけて,まるでクリーピングアタッチメントと同じような機構で成長しているかのような感じがする。成功の条件は完璧なプラークコントロールと高いモチベーションの継続にあることを教えてくれているようである。

初診時の口腔内写真(51歳,女性)(左:正面観,右:上顎口蓋側面観(鏡像反転))

初診時のエックス線写真(51歳,女性)。

歯周基本治療終了時のエックス線写真(初診より1年5ヶ月後)。

SPT2年後の口腔内写真。

SPT2年後のエックス線写真。

SPT17年後の口腔内写真。

SPT17年後のエックス線写真。
誠実に歯周治療の原則を守り,実施してきた歯周治療例の中で最も印象深い症例の1つである。初診時の病態写真が欠落しているが,エックス線写真よりその病態の重症化については容易に知れるであろう。日本人の歯周病患者の中の約1割が高度な歯槽骨破壊を伴う重度歯周疾患1)と考えれば,今回の初診時の時点で既に本症例はこの部類に入ると思われるが,若い頃の状況や治療内容が不明で,さらに家族歴に関しても十分な情報は得られていない。51歳にしてこの歯周組織破壊で判断すると,本病院受診前は低いモチベーションで,治療開始までの間にテンションが高くなり,開始直前にはかなりハイレベルのモチベーションとなったものと考えられ,治療期間を通して高いレベルを維持し続けることのできた症例である。主治医ではなくなった現在でもこの患者と交流があるが,口腔の健康だけでなく全身的にもなんら異常はないと,人間ドック受診時の血液検査データをみせながら話してくれる。すべて正常である。歯周治療を受けて咀嚼が十分に可能となり,その後も継続して定期検査を実施してくれたからであろうと感謝してくれるが,その実は,この患者は全般的に健康に関して高いモチベーションを持ち続けることができる患者であった。諦めない強い気持ちと惜しまない協力,健全な生活習慣の継続等々SPT期のあり方についてさまざまな情報を提供してくれた。特に,現在の口腔の状況に応じた咀嚼ができているかを調べるために,1週間の食事のメニューを具体的に書き出して欲しい旨お願いしたところ,詳細に記載したメモを提出してくれた。それは品目だけでなく,食材をどのように調理したかを含む詳細なレポートで,食材のテクスチャーを充分に考慮した見事な報告であり,モチベーションがマズローの欲求5段階説の第3段以上,すなわち,物質的欲求を越え,精神的欲求のレベルに入っていることを示唆するものと考えている。教えて逆に教えられる貴重な体験を提供してくれたこと,常に努力する歯周病患者に敬意を表するとともにモチベーションとSPTの重要性を再認識する良い機会を与えてくれたことに対し日々感謝の気持ちでいっぱいである。
本症例は治療の各ステージで撮影した病態写真を数枚紛失し,紹介できないところがあったことをお詫びします。
歯周治療の難しさは,治療の成否が患者の協力度に大きく依存することに一因がある,いや,かなりの比率を占めるであろう。患者の健康状態を知るためには治療サイドは,必要な情報を正確に,多面的に取得し,できる限り短時間で結果を出せるようにしたい。そして正しく診断して,適切な治療へ導きたいと考えている。まず,第一に重要なことは,患者の理解の程度と協力の度合いである。長期に渉る口腔の健康維持へと導くことのできる歯周治療計画を立て,歯周治療の原則に基づきながら治療に邁進する。そのようなプログラムが幕を開ける。その際,患者からさまざまな医療情報ならびに生活関連情報を最初に採取する医療面接は特に重要である。歯周治療の第一歩を踏み出す前に,患者が自分自身の疾患について原因や病状をどれだけ理解し,提示された治療計画や治療そのものに,どの程度まで協力してくれるかが鍵となり,このモチベーションの到達度および高い維持が治療の成否に深く関与すると考えられる。医療情報を得て病態を正しく診断し,治療計画を立て,その襷を渡す一連の治療内容,治療の順序に応じたプログラムを設定する。しかし,モチベーションは思わぬ原因で一変することがある。急激な環境の変化,心境の変化,家族の不幸,ペットの死等々,ショックがヒトを酷なまでに不幸にしてしまう。患者の普段の生活状態を熟知していれば気づくかもしれないが,そううまくいかないこともあるだろう。可能な限り変化に敏でありたい。モチベーションを高め,それを維持していく良い方法を患者単位で見つけることが極めて重要と考える。
今回,ミニレビューを寄稿するに当たり,提示した症例は筆者が長崎大学歯学部附属病院(現長崎大学病院歯科系)に勤務していた時のものであり,転任後,当該患者の治療(SPT)を見事なくらいに良好に継続してくれた医局の先生方,特に尾崎幸生歯学博士に対し,この場を借りて深謝申し上げます。
今回の論文に関連して,開示すべき利益相反状態はありません。