2018 年 60 巻 2 号 p. 95-104
歯周治療に不用意に矯正治療を組み込むことにより,歯周組織破壊が進行する可能性があるが,炎症が十分にコントロールされていれば禁忌ではないと報告されている。今回,歯科恐怖症の広汎型重度慢性歯周炎患者に対し,歯周基本治療,歯周―矯正治療を行い,supportive periodontal therapy(SPT)を行っている17年経過症例を報告する。患者は歯科恐怖症であり,歯周外科治療を拒絶されたため,非外科的治療で対応した。通常の歯周組織検査に加え,細菌検査,血清抗体価検査を行い,診断の補助とモチベーションの維持に活用し,治療を行った。患者の適切なセルフケアと術者のスケーリング・ルートプレーニングにより歯肉の炎症は劇的に改善し,その後の歯周―矯正治療により,術前に認められた歯間離開,歯列不正は改善され,歯周組織と咬合の安定が得られた。現在初診より17年経過し,歯周―矯正治療後13年間SPTを継続しているが,良好な状態が保持されている。したがって病的な歯の位置異常が認められる患者に対して,炎症のコントロールに加え,歯周―矯正治療を行うことは,歯周組織破壊の進行した歯の保存やより良好な機能と審美性を得るために有効であると考えられる。
重度歯周炎に罹患している口腔内では,歯の欠損や歯周組織の付着喪失により,1歯もしくは多数歯の病的な歯の移動(Pathologic tooth migration:PTM)を生じやすい1)。PTMとは,歯槽骨吸収や歯周組織への為害作用,舌習癖や口呼吸による口唇閉鎖不全などにより,生理的な歯の位置を維持している諸因子のバランスが崩れ,歯が本来の場所から移動することであるが2),PTMは歯周炎患者に高い確率で認められ,審美性を損なうため歯科医院を受診する動機になることも多い。Martinez-Canutらは852名の患者を調査し,PTM(上顎前歯部の歯間離開)の有病率は55.8%であったと報告している3)。Towfighiらは,治療前の中等度から重度歯周炎患者343名を調査し,過去5年以内で前歯部の病的移動の有無を問診したところ,PTMの有病率は30.03%であったと報告している4)。
多くの要素(歯根膜,咬合因子,頬・舌・口唇の軟組織圧,習癖,歯周組織の炎症状態,萌出力等)が歯のポジションに影響を与えるため,PTMの病因は,単一ではなく,様々な病因が関与していると考えられている。中でも歯周支持組織破壊はPTMの大きな原因の一つであり,Martine-Canutらは,歯槽骨吸収,歯の欠損,歯肉の炎症の存在によりPTMは優位に認められ,歯槽骨吸収が増加すると2.95~7.97倍増加するとしている3)。また,Towfighiらも病的移動の歯は,移動してない歯に比べ,アタッチメントロスが大きかったと報告しており4),臨床的に歯周支持組織破壊は,PTMの大きな原因の一つと考えられる。
歯周炎の進行により歯槽骨が吸収すると,歯の抵抗中心は根尖側へ移動し,咬合力は歯に傾斜と挺出の力を与える5)。適切な治療を行わず,歯周炎が進行すると,2次性咬合性外傷,咬合高径の低下,前歯部のPTMなどの悪循環が起こり,咬合崩壊が生じる。他にも歯の位置に影響を与える因子は,頬・舌・口唇の軟組織圧,咬合,炎症,習癖など存在する。これらの原因の複合的な関与によって生じた問題に対し,不用意に矯正治療行うことは,歯周組織破壊を進行させる可能性があるが6),歯周治療により十分に炎症をコントロールし,適切に矯正治療を行うことは禁忌ではないと報告されている7-9)。
今回,広汎型重度慢性歯周炎患者に対し,歯周治療を行い,セルフケアしやすい口腔内環境を得るため,歯周―矯正治療,SPTを行った症例を報告する。
患者:44歳,女性 非喫煙者。
初診:1999年11月。
主訴:右上臼歯部の動揺と右上前歯の歯列不正。
1. 全身既往歴パニック障害,過敏性大腸炎,そば・にんにくアレルギー
2. 口腔既往歴1998年11月ごろより上顎右側臼歯の動揺を自覚するも,家庭の事情により放置。歯肉の腫脹,消退を繰り返すようになり,1999年11月初診。歯科医院へは10代にう蝕治療で通院して以来とのことであった。家庭の事情により精神的に疲労し,また歯科治療に非常に大きな恐怖感があり,非外科的治療を強く希望していた。睡眠時のブラキシズムを指摘されたことがあったとのことである。
3. 家族歴問診により,父親が歯周病で他院にて治療中,母親は歯周病ではないが,部分床義歯を装着しており,夫,子供3名に関しては特記事項なしとのことであった。
4. 現症 1) 口腔内所見(図1)全顎にわたる歯間乳頭部および辺縁歯肉の発赤,腫脹,一部自然出血を認めた。臼歯部には歯の近心傾斜が認められ,上下顎小臼歯部は舌側にも傾斜していた。下顎前歯部には叢生,上顎前歯部には歯間離開が認められた。また,上顎口蓋側歯肉には口呼吸を疑わせるテンションリッジが認められた。

初診時口腔内写真(1999年11月)
プロービングポケットデプス(PPD)4 mm以上の部位は77.2%で,深い歯周ポケット内には歯肉縁下歯石が確認された。Polymerase chain reaction(PCR)を用いた細菌検査では,歯周ポケットおよび唾液中からPorphyromonas gingivalis(P.g.),Tannerella forsythia(T.f.)が検出され,Enzyme linked immunosorbent assay(ELISA)法を用いた血清IgG抗体価検査では,特にP.g.に対するIgG抗体価が健常人の抗体価と比較して著しい高値を示した。

初診時歯周組織検査

初診時PCR細菌検査,血清IgG抗体検査(▲初診時,●SPT移行時)

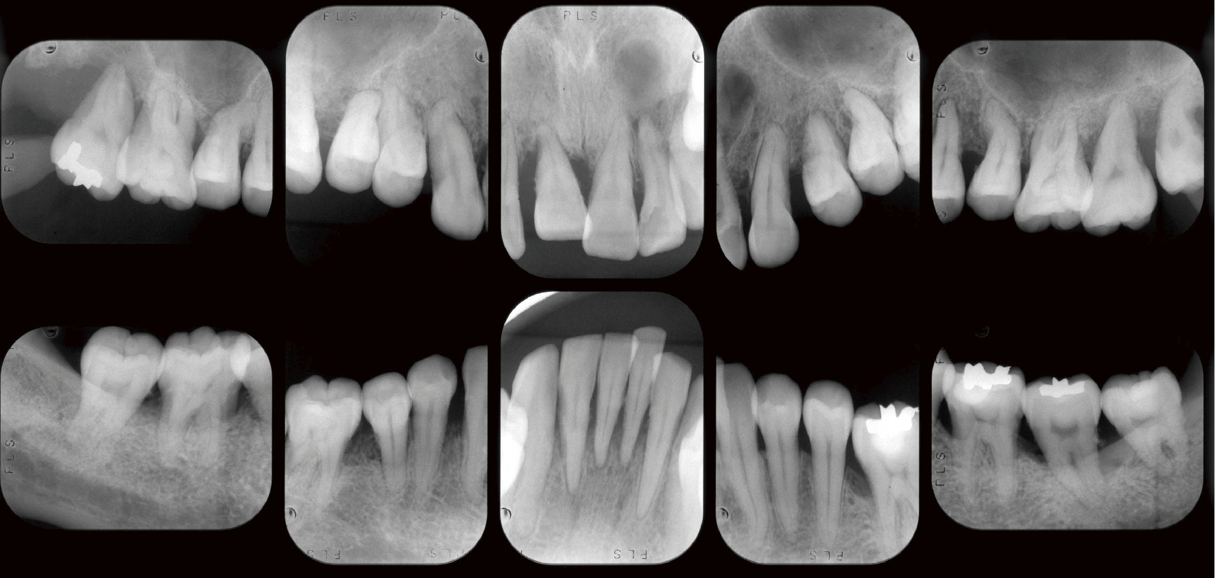
初診時デンタルエックス線写真
全顎にわたり歯根長の約1/2~2/3程度の水平性骨吸収像が認められ,17では根尖付近に至る骨吸収像が認められた。22には根尖部に透過像が認められた。

再評価時正面観,上顎前歯咬合面観
全身的リスク因子:ストレス
局所的リスク因子:プラーク,歯列不正,口呼吸,ブラキシズム
6. 診断広汎型重度慢性歯周炎
7. 治療計画1)歯周病検査
2)歯周基本治療
3)再評価
4)歯周―矯正治療
5)再評価
6)メインテナンスまたはSPT
8. 治療経過 1) 歯周基本治療(1999年11月~2002年3月,図1~6)歯周組織検査後,口腔清掃指導を行い,O'Learyのプラークコントロールレコード(PCR)が20%以下になった後に,スケーリング・ルートプレーニング(SRP)を行った。同時期に保存困難歯(17,28,38)の抜歯も行った。患者家族の介護のため,来院期間と間隔の長期化が避けられず,歯周基本治療に約2年間費やした。患者自身のプラークコントロールは良好であり,再SRP後の再評価では,プロービング値は全歯3 mm以内であった。また,初診時に観察された歯間離開は自然に閉鎖し,歯間乳頭部,辺縁歯肉の発赤腫脹は認められず,歯周―矯正治療へ移行した。

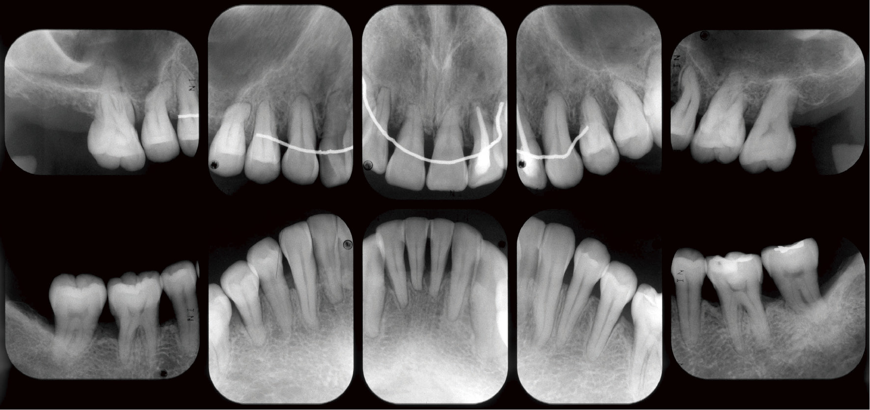
再評価時デンタルエックス線写真
患者の主訴である前歯部の審美性の改善と歯の傾斜,位置異常の改善,咬合の安定,歯槽骨および歯肉レベルの改善を目的として歯周―矯正治療を行った。再評価時のスタディーモデル上に歯肉ライン,歯槽骨のラインを明示し,矯正学的診断に加え歯周病学的要素を加味し,臼歯部の近心傾斜の改善,また歯槽骨ラインが平坦となるよう,ブラケットポジションを調整し,レベリングを行った。来院毎に咬合診査,歯冠形態修正を行い,咬合性外傷に対応した。約9カ月の動的治療期間を経て,保定に移行した。保定後,SPTへと移行していたが,約15カ月後,患者がブラックトライアングルの改善を希望したため,上顎前歯部のみディスキング法を用いて限局矯正を行い,再評価後SPTへ移行した。

歯周―矯正治療

歯周―矯正治療終了時

歯周―矯正終了時デンタルエックス線写真

上顎前歯部限局矯正,SPT移行時
SPT移行時にPCRを用いた細菌検査と血清抗体価検査とともに,再評価を行った。初診時に検出されたP.g.およびT.f.はいずれの部位からも検出されなかった。血清抗体価もP.g.に関して下降傾向にあったが,健常者レベルには達していなかった。SPTは3~4カ月毎に行い,口腔清掃状態,オクルーザルスプリントの咬合状態を確認し,専門的器械的歯面清掃(PMTC)を継続している。また,再評価を行い,必要があればスケーリング,ルートプレーニング,咬合調整を行っている。
2009年(初診より10年経過時)に細菌検査と血清抗体価検査を再度行ったが,P.g.は検出されず,抗体価も2.5未満となった。現在SPT移行後13年経過しているが,患者の口腔清掃状態も良好で,歯周組織,咬合状態も安定している。

SPT移行時 歯周組織検査

SPT移行時 デンタルエックス線写真

SPT移行時PCR細菌検査,血清抗体検査(▲初診時,●SPT移行時)

2009年SPT時(正面観,PCR細菌検査,血清抗体検査)

2016年 SPT時口腔内写真

2016年 歯周組織検査

2016年 SPT時デンタルエックス線写真
本症例は,重度に歯周組織破壊が進行していたにもかかわらず,歯科恐怖症患者のため非外科的治療を希望した。ポケット診査,デンタルエックス線写真検査に加え,細菌検査,ELISA法による血清IgG抗体価検査を行った。細菌学的検査を行うことにより,歯周病が細菌感染症であることを数値的及び視覚的に理解してもらうことができ,原因除去のためのセルフケア,治療へのモチベーションを高めることができたと考える。また再評価時に細菌検査,血清抗体価検査を行うことにより,歯周基本治療の効果の判定をより具体的かつ数値化して行え,歯周―矯正治療の歯周治療への導入時の判断の一助となると考えられる。また,長期の歯周治療例において治癒が認められる場合には,P.g.に対する抗体価は減少すると報告されており10,11),細菌検査と合わせ,歯周病原細菌の感染をモニタリングする方針を立てた。
患者は歯科恐怖症であったが,それまで未使用であった歯間ブラシを使用することにより,歯間部歯肉の炎症が消退し,患者自身のプラークコントロールが効果的であることを実感してもらうことができた。続いてSRP,及び17,28,38の抜歯,再SRPを含む歯周基本治療を行ったが,患者の都合により期間が約2年と長期化が避けられなかった。
一般的に舌,頬,口唇の軟組織圧,歯周組織,上下の咬合等の力のバランスが歯のポジションを決定する重要な因子となるが,歯周組織破壊によりそのバランスが崩れると,PTMが生じる。本症例の場合,歯科恐怖症により長期間適切な歯周治療を受けていなかったため,歯槽骨吸収が進行し,さらに咬合干渉,習癖などで増悪していったものと考えられる。これらの原因の複合的な関与によって生じた問題に対し,不用意に矯正治療を行うことは,歯周組織破壊をより進行させる可能性があり6),また矯正治療による歯周組織への影響についてのシステマティックレビューの中で,矯正治療は歯周組織に対してごくわずかな有害作用がある可能性が述べられている12)。しかし,歯周治療により十分に炎症をコントロールし,適切に矯正治療を行うことは禁忌ではないとの報告は数多くあり,今回,患者の審美性回復の要求と良好な機能と清掃性を獲得するために歯周―矯正治療を行った。
筆者が考える歯周―矯正治療を行う目的としては,次の事項が挙げられる。
①1歯単位の傾斜,位置異常の改善
②歯列の改善
③上下咬合状態の改善
④付着の移動(歯肉,骨レベルの改善)
再評価時,臨床的には患者の口腔清掃状態は良好で,歯周ポケット値は3 mm以下,BOPも認められなかったため,歯周―矯正治療を開始した。また治療前には,歯周疾患による骨吸収が大きいため歯冠歯根比が不良であり,2次性咬合性外傷が生じる可能性があるため,歯周―矯正治療を行った。当該治療後には,口腔機能回復治療により連結固定での保定,咬合の安定を図る可能性があることの同意を患者から得た後に,臼歯部の近心傾斜の改善,また歯槽骨ラインが平坦となるよう,ブラケットポジションを調整し,レベリングを行った。歯周―矯正治療終了後は,オクルーザルスプリントによる保定を行い,再評価後,SPTへと移行した。
3~4カ月毎のSPTを継続し,口腔清掃状態,オクルーザルスプリントの咬合状態を確認し,13年間PMTCを継続しているが,現在も歯周組織,咬合状態ともに安定している。
今回,病的な歯の位置異常が認められる歯周炎患者に対して,歯周治療,歯周―矯正治療を行うことにより,歯周組織破壊の進行した歯を保存することが可能となり,より良好な機能と審美性が得られたと考えられる。また,歯科恐怖症により歯周外科治療が困難なため,通常の歯周組織検査に加え,細菌検査,血清抗体価検査を行い,リスク診断の補助とモチベーションの維持に役立てた。口腔清掃状態は良好であるが,残存する歯槽骨量が少ないため,今後も注意深いSPTを継続していく予定である。
本論文の要旨は,第59回秋季日本歯周病学会学術大会(2016年10月8日,新潟)において発表し,最優秀臨床ポスター賞を受賞した。本報告は同発表内容に一部追加,改変した。
今回の論文に関連して,開示すべき利益相反状態はありません。