2019 年 61 巻 6 号 p. 1237-1244
内視鏡的静脈瘤硬化療法(EIS)や内視鏡的静脈瘤結紮術(EVL)は食道静脈瘤に対する標準的な治療として普及しているが,治療後に異所性静脈瘤の出現・増悪を招くことがある.中でも,胆管静脈瘤は稀な異所性静脈瘤であるが,出血のみならず静脈瘤の胆管圧排により閉塞性黄疸を来すことがある.特に肝外門脈閉塞症では側副血行路として胆管静脈瘤を有することが多く,食道静脈瘤に対するEISにより胆管静脈瘤が増大し,胆管狭窄を惹起することが危惧される.今回,肝外門脈閉塞症による食道静脈瘤に対するEIS後に胆管静脈瘤の出現・増悪を来し,これによる難治性閉塞性黄疸に対して持続的な胆道ドレナージを必要とした2例を経験したため報告する.
本邦では食道静脈瘤に対する治療としてEndoscopic Injection Sclerotherapy(EIS)やEndoscopic Variceal Ligation(EVL)といった内視鏡的治療が第一選択として普及している.EISはEVLに比べ食道静脈瘤の再発率は低いが 1),2),食道静脈瘤は上昇した門脈系の血管内圧を逃がすシャント血管でもあることから,EISにより食道静脈瘤への血流が低下すると,それを代償するために他の側副血行路が発達し,異所性静脈瘤を形成する可能性が高くなる 3),4).
異所性静脈瘤は0.7%と頻度は非常に少なく,発生部位は十二指腸など消化管が主である 2),4).しかし,出血性静脈瘤の約5%が異所性静脈瘤にみられ 5),6),異所性静脈瘤の45%に出血を認めることから 4),異所性静脈瘤は出血の危険性が高いといえる.
胆管静脈瘤は異所性静脈瘤の中でも4.6%と更に稀ではあるが 5),他の静脈瘤と異なり,出血のみならず胆管圧排による閉塞性黄疸が問題となることから注意が必要である 7).特に肝外門脈閉塞症では,門脈圧亢進症による胆管の狭窄や拡張を81~100%と高頻度に認め 8)~10),更には胆管静脈瘤による直接的な胆管の圧排による閉塞性黄疸を5~14%に伴うことが報告されている 7),9)~13).肝外門脈閉塞症における胆管静脈瘤は,胆管静脈瘤自体が肝臓への門脈血流動態の本幹を担っているため,胆管静脈瘤はその血行動態より根本的な治療は困難である.
今回,慢性的な肝外門脈閉塞症を背景に,食道静脈瘤に対するEIS施行後に発症・増悪を来し,以降持続的な胆道ドレナージを必要とした難治性閉塞性黄疸合併胆管静脈瘤の2例を経験したので報告する.
症例1:34歳(2018年時点),男性.
主訴:黄疸,皮膚掻痒感.
既往歴:7歳(1991年),腹膜炎(詳細不明).
家族歴:母 特発性深部静脈血栓症.
生活歴:機会飲酒,喫煙歴なし.
現病歴:2005年8月(21歳)に肝外門脈・上腸間膜静脈の特発性血栓症に対して他院で血栓溶解療法を施行されたが奏効せず,抗凝固療法で経過観察されていた.2007年10月(23歳)に食道静脈瘤を指摘され,β遮断薬の内服を開始されたが,食道静脈瘤は増大傾向であり2008年5月と9月(24歳)に他院でEISが施行された.尚,EIS前に施行された造影CTでは胆管周囲に静脈瘤を既に認めていた.2009年7月(最終EISから10カ月後,25歳)に全身の掻痒感と黄疸が出現し,精査加療目的に当院へ紹介入院となった.
当科初診時現症:体温:36.7℃,眼球結膜黄染あり,眼瞼結膜貧血なし,胸腹部異常所見なし,皮膚黄染あり.
臨床検査成績:著明な肝胆道系酵素の上昇を認めたが,炎症反応の上昇は認めなかった.ワルファリン内服中のため,PTの延長を認めた(Table 1).

胆管静脈瘤による閉塞性黄疸発症時の臨床検査成績所見(症例1)(ワルファリン内服中).
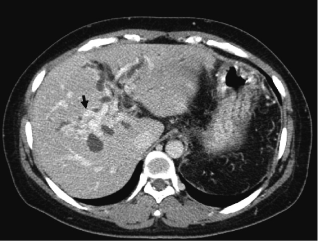
腹部造影CT検査:門脈本幹は描出されず,肝門部で海綿状に側副血行路の発達を認めた.両側肝内胆管の拡張も認め,膵内胆管周囲では胆管静脈瘤は著明に発達していた(Figure 1).

症例1:胆管静脈瘤による閉塞性黄疸発症時の造影CT検査所見(門脈相水平断).膵内胆管周囲で胆管静脈瘤は著明に発達している(矢印).
MRCP(Magnetic Resonance Cholangiopancreatography):遠位胆管の狭窄像を認め,肝側の胆管は拡張を認めた.
上部消化管内視鏡所見:閉塞性黄疸発症14カ月前に食道静脈瘤(Li,F2,Cb,RC+)を認め,EISが施行された(Figure 2).

症例1:閉塞性黄疸発症14カ月前の食道静脈瘤硬化療法造影所見.食道静脈瘤(Li,F2,Cb,RC+)に対し施行された.
ERC(Endoscopic retrograde cholangiography)/IDUS(Intraductal ultrasonography):ERCでは,遠位胆管を中心になだらかな狭窄を認め,肝側の胆管は拡張を認め,右後区域枝起始部,左外側区域枝にも圧排狭窄部を認めた(Figure 3).狭窄部胆管でのIDUSでは胆管周囲に低エコー管腔構造を認めたため,胆管狭窄の原因は胆管静脈瘤による圧排と考えられた(Figure 4).

症例1:閉塞性黄疸発症時の内視鏡的逆行性胆管造影所見.遠位胆管を中心になだらかな狭窄(矢印)を認め,肝側胆管は拡張を認め,右後区域枝起始部,左外側区域枝(B2+3)にも圧排狭窄部を認めた.

症例1:胆管管腔内超音波検査所見.狭窄部胆管にて胆管周囲に低エコー管腔構造を認め,胆管静脈瘤による圧排狭窄と診断した.
経過:内視鏡的胆管ステント留置術(EBS:Endoscopic biliary stenting)が施行され,ウルソデオキシコール酸やβ遮断薬の内服治療も併用されたが,長期の経過で遠位胆管の狭窄は改善を認めていない.発症から9年間,3-4カ月毎の定期的な胆管ステント交換を行っているが,年数回ステントトラブル(急性胆管炎,閉塞性黄疸)を発症している.
症例2:39歳(2018年時点),女性.
主訴:黄疸,皮膚掻痒感.
既往歴,家族歴:特記事項なし.
生活歴:飲酒歴・喫煙歴なし.
現病歴:出生後,先天性肝外門脈閉塞症と診断され食道・胃静脈瘤に対し1996年(16歳)に胃周囲静脈郭清・脾摘術,1998年(18歳)にEISとEVLが施行された.2008年6月(28歳)に皮膚掻痒感,皮膚黄染が出現し,精査加療目的に当科へ紹介入院となった.
当科初診時現症:体温:36.6℃,眼球結膜黄染あり,眼瞼結膜貧血なし,胸腹部異常所見なし,皮膚黄染あり.
臨床検査成績:肝胆道系酵素の上昇を認めたが,有意な炎症反応の上昇は認めなかった(Table 2).

胆管静脈瘤による閉塞性黄疸発症時の臨床検査成績所見(症例2).
腹部造影CT検査/MRCP:門脈本幹は描出されず,肝門部で海綿状に側副血行路の発達を認めた(Figure 5).膵内胆管周囲で胆管静脈瘤は著明に発達し,胆管の圧排狭窄及び肝側胆管の拡張を認めた.

症例2:胆管静脈瘤による閉塞性黄疸発症時の造影CT検査所見(門脈相水平断).門脈本幹は描出されず,肝門部で海綿状に側副血行路の発達(矢印)と肝内胆管の拡張を認めた.
腹部血管造影検査:経上腸間膜動脈門脈造影では,肝外門脈は造影されず門脈周囲の海綿状血管増生により,肝門部周囲は淡く濃染されていた.
上部消化管内視鏡所見:閉塞性黄疸発症し初回EBSから5カ月後(2008年12月,29歳)に食道静脈瘤(Li,F3,Cb,RC+)を認め,EISが施行された(Figure 6).

症例2:閉塞性黄疸発症し初回EBSから5カ月後の食道静脈瘤硬化療法造影所見.食道静脈瘤(Li,F3,Cb,RC+)に対し施行された.
ERC/IDUS所見:ERC上,遠位胆管を中心になだらかに狭窄を認め,肝側胆管は拡張を呈していた.肝内胆管にも圧排狭窄を認めた(Figure 7).狭窄部胆管におけるIDUSでは,胆管周囲に低エコーの管腔構造を認め胆管狭窄の原因は胆管静脈瘤による圧排と考えられた.

症例2:閉塞性黄疸発症時の内視鏡的逆行性胆管造影所見.遠位胆管を中心になだらかな狭窄を認め,肝側胆管は拡張を認めた.
経過:胆管静脈瘤による肝内外胆管の圧排狭窄による閉塞性黄疸と診断され,EBSが施行された.また,食道静脈瘤を認めたため2008年12月(初回EBSの5カ月後,29歳)にEISが計3回施行された.しかし,EIS直後からステントトラブル(急性胆管炎)を短期間で繰り返すようになり,遠位胆管・肝門部胆管の狭窄も増悪した(Figure 8).ウルソデオキシコール酸やβ遮断薬の内服治療を併用されたが,ステントトラブルは頻回であり,内瘻でのコントロールは困難と考え,2010年3月(EISから15カ月後,30歳)に内視鏡的経鼻胆管ドレナージへ移行されたが,肝内胆管・総胆管結石を合併したため2012年4月(32歳)には経皮経肝的胆道ドレナージ(Percutaneous transhepatic biliary drainage:PTBD)へ移行された.胆管空腸吻合術,肝切除など外科的治療も検討されたが肝内胆管狭窄が多発しているため術後胆管炎が危惧されたため行われず,以降は定期的なPTBDチューブ交換を継続されている.尚,食道静脈瘤は,現在まで再発は認めていない.

症例2:食道静脈瘤硬化療法施行1年後の内視鏡的逆行性胆管造影所見.遠位胆管の狭窄の増悪(矢頭)に加え,肝内胆管の多発性狭窄の悪化も認めた(矢印).
門脈圧亢進に伴う胆管の狭窄/拡張,胆嚢の異常は近年portal(cavernoma)cholangiopathy,portal(hypertensive)biliopathyなどと呼称されている.Portal cholangiopathyは,凝固異常,膵炎,骨髄増殖性疾患など様々な疾患で起こりうる肝外門脈閉塞症の80%以上に認められる 9),14)~16).また,多くは無症状であるが,20%程の症例で肝機能異常や閉塞性黄疸,腹痛などを来し,胆管/胆嚢結石を形成することもあり,年齢,有病期間,胆管/胆嚢結石が重要な有症状化の危険因子とされている 17),18).
胆管周囲の静脈叢には2系統あり,Saintが報告したEpicholedochal venous plexusと呼ばれる総胆管や総肝管壁の外側を取り囲むように網目状に発達する静脈叢と,Patrenが報告したParacholedochal venous plexusと呼ばれる胆管と並走し胃静脈,膵十二指腸静脈,胃結腸静脈幹と連結し,門脈から肝臓へ直接流入する静脈叢に分けられる 19),20).肝硬変に伴う門脈圧亢進症では主に遠肝性の側副血行路が発達するのに対し,肝外門脈閉塞症では求肝性の側副血行路が発達することが多く,その影響でこれらの静脈叢が瘤化することで胆管静脈瘤が形成されると考えられている.特にEpicholedochal venous plexusは胆管内出血への影響が大きく,Paracholedochal venous plexusは胆管狭窄への影響が大きいと考えられている 7),19),20).
胆管静脈瘤では,間接的な所見として腹部超音波検査や造影CTで肝外門脈の閉塞や肝門部での海綿状の血管増生とそれに伴う肝内胆管の拡張/狭窄が重要である.また,MRCPやERCでの滑らかな遠位胆管の圧排も重要であるが,これらの検査では細かな胆管周囲の静脈叢を描出するのは困難である.MDCT(multiple detector computed tomography),超音波内視鏡検査やIDUSによる胆管壁周囲の静脈瘤の描出は直接的な所見として有用であり,胆管静脈瘤が疑われる場合は診断のためにそれらの検査を考慮すべきである 9),13),17),21),22).
肝外門脈閉塞症ではその血行動態から胆管静脈瘤を合併しやすく,EISでは食道静脈瘤への血流を広範囲で遮断するためEVLと比べても他の側副血行路を発達させる危険性は高いことが予想される.症例1は,血栓による慢性的な肝外門脈の完全閉塞があり,EIS以前から認めていた胆管静脈瘤が,EISを契機に10カ月の経過で胆管静脈瘤の内圧が上昇し瘤が増大したことで,遠位胆管の圧排による閉塞性黄疸を発症した可能性がある.症例2は,EISの10年後に閉塞性黄疸を発症し,初回EBSの5カ月後に食道静脈瘤の再発に対して施行した追加のEIS後から胆管狭窄は悪化し,胆管ステントトラブルが頻回となった.今回の2症例ではEIS以外に門脈圧亢進症を助長した確かな原因はなく,EISにより胆管静脈瘤の内圧上昇,瘤の増大を来した可能性がある.
肝外門脈閉塞症に合併する食道・胃静脈瘤に対する出血や出血予防の治療として未だ確立したものはなく,EVLと部分的脾動脈塞栓術と左胃動脈塞栓術の併用 23)や,EVL単独治療 24),門脈圧減圧術 25)や,本症例のようにEISが施行された症例 26)などが報告されている.肝外門脈閉塞症は若年発症が多く,胆管静脈瘤による閉塞性黄疸を発症した場合,長期にわたりQOLが著しく傷害されることが危惧されるため,食道・胃静脈瘤の治療前には胆管静脈瘤の有無を確認する必要があり,治療法についても慎重に検討する必要がある.
また,胆管静脈瘤による閉塞性黄疸に対しては,EBS,PTBD,門脈大循環シャント術,胆管空腸吻合術,薬物療法など,様々な報告はあるが 7),25)~27),治療の効果や合併症の観点からは低侵襲であるEBSによる減黄を行い,胆管静脈瘤に対する観血的治療は行わないことが推奨される 8).今回の2症例も初期治療としてEBSが選択されたが,急性胆管炎を繰り返すため,1例は頻回なステントの交換を要し,1例はPTBDへの移行を余儀なくされた.他の治療として挙げられる胆管空腸吻合術は,2例ともに肝内胆管に多発性圧排狭窄を認めるため,術後に逆行性胆管炎のコントロールが困難となる可能性が高い.また,門脈大循環シャントは,門脈血流量が大循環に直接流入することによる心負荷や肝性脳症も危惧され,現在患者の希望なく,施行されていない.よって,現在まで2症例とも頻回の胆道ドレナージを長期間余儀なくされている.
胆管静脈瘤は異所性静脈瘤の中でも特に稀な病態であるが,肝外門脈閉塞は側副血行路として胆管静脈瘤を有することが多く,食道・胃静脈瘤に対するEISは胆管周囲静脈叢の内圧を上昇させ,胆管静脈瘤の増大により閉塞性黄疸を惹起させる危険性がある.そのため,治療前に胆管静脈瘤の評価も行い,慎重に治療法を選択する必要がある.
本論文内容に関連する著者の利益相反:なし