2021 年 63 巻 12 号 p. 2453-2459
症例は83歳,男性.嚥下時違和感を主訴に受診した.内視鏡検査にて下咽頭右梨状陥凹に表面平滑で黄色調の粘膜下腫瘍を認めた.CT検査では右梨状窩付近に境界明瞭な低吸収腫瘤を認め,MRI検査ではT1及びT2強調画像で高信号,脂肪抑制T1強調画像で低信号を呈し,著明な拡散異常や内部造影効果は認めなかった.以上の検査結果より脂肪腫の診断で,耳鼻咽喉科の協力の下,彎曲型喉頭鏡にて喉頭展開を行い,内視鏡的粘膜下層剝離術(ESD)で一括切除した.摘出標本は45×13×15mmであり,病理組織学的に脂肪腫と診断した.術後経過は良好で,術後数日で嚥下時違和感は消失した.
咽喉頭領域の腫瘍においては,近年経口的切除術の様々な工夫がなされており,その工夫は良性腫瘍にも応用されている.内視鏡の進歩に伴い,今後は消化器内科が発見から診断,治療まで担う症例が増えることが予想される.咽頭領域の内視鏡的粘膜下層剝離術(ESD)の適応については確立していないために議論の余地があるが,他の消化管の腫瘍と同様に一括切除を目的とした腫瘍性病変の治療には有効である可能性が考えられる.本例は咽頭領域では比較的まれな良性腫瘍の脂肪腫に対してESD治療を施行した症例であり,咽頭領域におけるESD治療の適応,手技の工夫,治療の選択について若干の文献的考察を加え報告する.
患者:83歳,男性.
主訴:嚥下時違和感.
既往歴:糖尿病,高血圧.
現病歴:嚥下時に喉に引っかかるような感じがあり当院耳鼻科を受診した.下咽頭に粘膜下腫瘍を認め精査加療目的に当科紹介となった.
上部内視鏡検査:下咽頭右梨状陥凹に,表面平滑で黄色調の粘膜下腫瘍を認める(Figure 1).腫瘍は披裂喉頭蓋ひだに付着し,右側壁に連続しているように観察された(Figure 2).

下咽頭梨状陥凹に表面平滑,黄色調の粘膜下腫瘍様病変を認める.

腫瘍は披裂喉頭蓋ひだに付着し,右側壁に連続している.
頸部CT:右梨状窩付近に境界明瞭な低吸収腫瘤を認める.
頸部MRI:右梨状窩付近に境界明瞭な24mm大の腫瘤を認める.腫瘤はT1及びT2強調画像で高信号(Figure 3,4),脂肪抑制T1強調画像で低信号を呈し(Figure 5),著明な拡散異常や内部造影効果は認めなかった.

MRI T1強調,水平断像.腫瘤は境界明瞭で高信号を呈する.

MRI T2強調,冠状断像.腫瘤は境界明瞭で高信号を呈する.

MRI 脂肪抑制T1強調画像,水平断像.腫瘤は低信号を呈する.
治療経過:画像検査所見より咽頭脂肪腫と診断した.窒息の可能性の回避のため切除が必要と判断し,耳鼻咽喉科の協力の下,ESDを施行した.彎曲型喉頭鏡にて喉頭展開したところ,腫瘍の基部は輪状後部と右梨状陥凹に認め,食道入口部まで十分に観察可能であった(Figure 6).ヒアルロン酸入り局注液で膨隆を得た後,1.5mmのDual knife(オリンパス社製)を用いて病変肛門側である食道入口部の9時方向から切開を開始し,次いで6時方向(輪状後部側),3時方向(右梨状陥凹側),12時方向(披裂側)の順に切開をつなげ全周切開とした.上皮下剝離時,腫瘍の披裂~梨状陥凹側は脂肪が多く血管が目立ったが,通常のESDと同様に一括切除可能であった(Figure 7).術後経過は良好で翌日より食事を開始した.痛みはアセトアミノフェンの内服でコントロール可能で術後4日で退院となった.術後2週間の外来時には痛み,嗄声共になく術後2カ月の内視鏡ではESD潰瘍は治癒し瘢痕化していた(Figure 8).また,患者本人の嚥下時違和感も消失していた.

佐藤式直達鏡にて喉頭展開したところ,食道入口部まで十分に観察可能であった.腫瘍の基部は輪状後部と右梨状陥凹に認めた.

ESD後の潰瘍底.通常のESD同様,一括切除が可能であった.

ESD後2カ月の内視鏡所見.ESD潰瘍は治癒し瘢痕化していた.
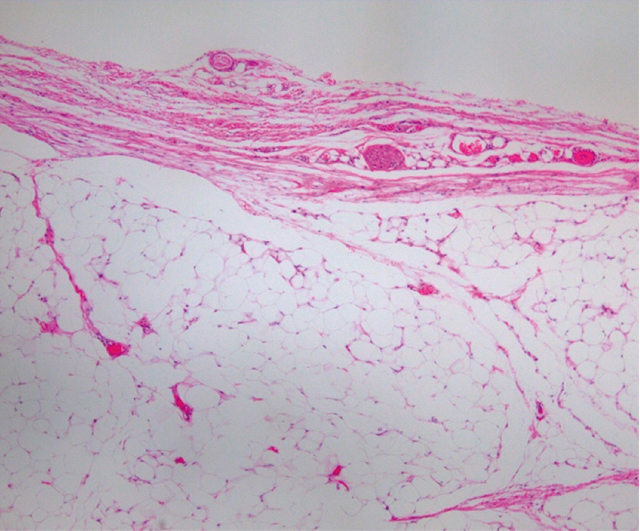
病理組織学的所見:摘出標本は45×13×15mmで,上皮下に成熟脂肪細胞の増殖を認めた.脂肪肉腫を示唆する所見は認めず,病理組織学的に脂肪腫と診断した(Figure 9).

病理組織学所見.上皮下に成熟脂肪細胞の増殖を認める.
医学中央雑誌にて「咽頭脂肪腫」,「喉頭脂肪腫」をキーワードに検索すると,これまでに22例が報告されている(1980年以降,会議録を除く).その中で,再発を繰り返し最終的に高分化脂肪肉腫と診断された1例 1)を除くと,摘出標本が実際に脂肪腫と確定診断された症例は20例あり,自験例と共に表にまとめた(Table 1).

咽頭脂肪腫,喉頭脂肪腫のまとめ.
本来,下咽頭に発生する腫瘍は良性腫瘍はまれであると言われている.小出らによれば1969-1992年の24年間で国内における下咽頭良性腫瘍の報告例はわずか57例であった 2).また,原田らがまとめた34例の咽頭良性腫瘍のうち,上咽頭,中咽頭に発生した腫瘍がそれぞれ14例,18例であったのに対して下咽頭に発生した腫瘍は2例と少なかったことも報告されている 3).
本症例は下咽頭に発生した脂肪腫であったが,下咽頭良性腫瘍の鑑別にはリンパ管腫,神経線維腫,神経鞘腫,線維腫,脂肪腫,血管腫,乳頭腫などが挙げられ,その中で脂肪腫(12%)は血管腫(50%)に次いで発生頻度の高い腫瘍である 2).
脂肪腫は上部内視鏡検査では,表面平滑で血管透見所見を認める粘膜下腫瘍として,CTで均一な低濃度腫瘤として,MRIではT1,T2強調像共に高信号腫瘤として認められる.
脂肪腫の鑑別診断として脂肪肉腫が臨床上問題となるが,「咽頭脂肪肉腫」と「喉頭脂肪肉腫」をkey wordに医学中央雑誌にて検索をすると(1980年以降,会議録を除く)9例の症例報告があり,脂肪肉腫の特徴としてCT/MRIで境界不明瞭,内部不均一の所見が特徴として挙げられ,脂肪腫の鑑別として極めて有用な所見と考えられた.
寺村らは,肉眼所見,画像所見,病理所見が脂肪腫に類似するという特徴をもつ高分化型脂肪肉腫の1例を報告しているが 1),両者の鑑別には,先に述べた画像所見の差異に加えて,高分化型脂肪肉腫において造影剤の取り込みが目立つ点が有用であるという 4).またCDK4,MDM2の免疫染色が両者の鑑別に有用であることが知られており 5),6),治療後の確定診断においては,病理医と連携して症例に応じた免疫染色の追加依頼が有用になると思われる.
下咽頭に発生した腫瘍は,増大するとその解剖学的位置ゆえに,嚥下障害,構音障害などの症状を来すこともあり,特に本症のように披裂に近い部位に発生した場合,腫瘍が気道を閉塞するリスクも伴うため 7),8),症例によっては良性腫瘍とはいえ治療を要する.
従来,咽喉頭領域の病変に関しては耳鼻咽喉科がMicro surgeryや内視鏡的咽喉頭手術(ELPS:Endoscopic laryngo-pharyngeal surgery)で治療することが多かった.ところが近年,field cancerizationの概念の普及や,内視鏡機器,診断学の進歩に伴い上部内視鏡検査時に咽喉頭病変が発見されるようになり,それと同時に咽頭ESDが内視鏡による低侵襲治療として普及しつつある.
咽喉頭領域の治療におけるELPS/ESDの選択には,各施設における耳鼻咽喉科医,消化器内視鏡医それぞれの人員と手技熟達度を考慮する必要がある.また,治療する病変の大きさと局在が大きく関与する.
ELPSは,短時間で広範囲の一括切除が行える,病変の深達度によって切除深度の調節が可能であり,状況によっては筋層を含む切除が出来る,などの利点があるが 9),食道入口部を超える病変では,喉頭挙上してもワーキングスペースが狭く,術野内に内視鏡と,経口的に挿入する鉗子や電気メスが干渉してしまい,手技が困難となる.したがって,このような局在にある病変はESDの手技が有用である.本症例も,治療前の内視鏡観察では腫瘍の基部が食道入口部に至る可能性を完全には否定しきれなかった.そのため,耳鼻咽喉科との慎重な協議の上,基部の局在が下咽頭でも頸部食道でも対応可能なESDを選択した.
近年,食道入口部を越える咽頭・頸部食道表在癌に対して,咽頭領域をELPSの手技で,頸部食道領域をESDの手技で行うHybrid内視鏡手術の報告も散見される 10).
咽喉頭領域はその解剖学的位置ゆえに,留意すべき合併症が通常の消化器内視鏡治療とはやや異なる.まず,治療後は喉頭浮腫の程度をよく観察する必要がある.披裂部近傍の局注や処置はそのリスクを高めることは知っておくべきである.そして,高度の喉頭浮腫により窒息が懸念される場合は予防的な気管切開を行ったり翌日まで挿管のままとする必要がある.また,後出血への対応も重要である.軽微な出血であれば,鎮静下にAPCや止血鉗子を用いて内視鏡的に止血処置を行うこともあるが,凝血塊による窒息が懸念されるような高度の出血が認められる際は再挿管や気管切開を行った後に止血処置を行うべきである.更に,本症例のように梨状陥凹や頸部食道に及ぶ病変の切除では,深く切開すると皮下気腫,縦隔穿孔を来す可能性があることに留意して丁寧な手技を心がけるべきである.本症例は上記に留意した上で慎重な操作を行った結果,術中,術後共に合併症なく治療を行うことが出来た.
また,ESD/ELPSの合併症発生率において比較検討した論文はまだ少ないが,治療法による差異というよりも複数亜部位に拡がる病変において,狭窄,嚥下障害,誤嚥性肺炎を合併しやすかったという報告があり 11),このような症例においては,患者へ術前に十分な情報提供を行い,理解と同意を得ることが必要である.
咽頭脂肪腫はまだ症例数が少なく治療法は統一されていない.咽頭脂肪腫に対してESDを施行した報告は本症例が森崎ら 12)に次いで2例目である.脂肪腫が粘膜下層を主座に発生する良性腫瘍である点からも,ESDは低侵襲かつ安全な治療法として,今後一つの選択肢となり得ると考えられる.
下咽頭梨状陥凹に発生し,嚥下障害を来した脂肪腫に対してESDを施行した症例について報告した.咽喉頭領域の良性腫瘍に対する治療の報告はまだ少ないが,咽頭ESDも治療の選択肢となり得ると思われた.
謝 辞
本論文を作成するにあたり,本症例の治療にご協力下さいました岩手県立中部病院耳鼻咽喉科頭頸部外科の古瀬秀和先生に深く感謝し,お礼を申し上げます.
本論文内容に関連する著者の利益相反:なし