2020 年 53 巻 1 号 p. 46-53
症例は80歳の女性で,右下腹部痛を主訴に近医を受診した.虫垂の腫大と回盲部に不整な壁肥厚を認め,生検では低分化型腺癌と診断され,回盲部切除術を施行した.手術材料の検討では,虫垂の位置に長径約6 cmの腫瘍を認めた.組織像では大型で均一な異型細胞の浸潤増殖像がみられ,免疫染色検査にて神経内分泌マーカー陽性を示した.また,Ki-67 indexが70%であり,虫垂を原発とするneuroendocrine carcinoma(NEC)と診断した.術後は合併症なく退院したが,術後2か月に肝転移,胸膜播種を来し,徐々に全身状態が悪化して術後5か月目に死亡した.虫垂原発神経内分泌細胞癌は非常にまれであり,mixed adenoneuroendocrine carcinoma(MANEC)と考えられる症例を除くと本邦3例目であるため,報告する.
An 80-year-old woman presented with several days’ history of right lower abdominal pain. Her CT scan showed thickening of the wall of the appendix and the ileocecum. Biopsy confirmed the diagnosis of a poorly differentiated adenocarcinoma of the appendix, and ileocecal resection was performed. Macroscopically, the tumor was observed to arise from the appendix. Histopathological analysis revealed the invasion of large atypical cells which were positive for synaptophysin and chromogranin A by immunohistochemical staining. Since the Ki-67 index was 70%, the lesion was diagnosed as a primary neuroendocrine carcinoma of the appendix. Although the postoperative course was uneventful, she developed liver metastasis and pleural dissemination only 2 months after the operation. Moreover, her general condition gradually got worse and she died 5 months postoperatively. Neuroendocrine carcinomas have an aggressive clinical course and are associated with poor prognosis. Here, we report a rare case of primary neuroendocrine carcinoma of the appendix.
虫垂原発神経内分泌細胞癌は非常にまれであり,本邦における報告は11例1)~11)のみである.神経内分泌細胞癌は,診断時すでにリンパ節転移や遠隔転移を来していることが多く,一般に予後不良であることが知られている.今回,我々は2010年WHO分類におけるneuroendocrine carcinoma(以下,NECと略記)に相当する虫垂原発神経内分泌細胞癌の1例を経験したので報告する.
症例:80歳,女性
主訴:右下腹部痛
既往歴:陳旧性脳梗塞に対しクロピドグレル内服中
家族歴:特記事項なし.
現病歴:2017年1月より食欲低下が出現した.同年3月には,数日間続く右下腹部痛を主訴に近医を受診し,急性虫垂炎疑いにて当科紹介となった.
理学所見:身長150.3 cm,体重48.5 kg.結膜に貧血や黄染なく,呼吸音は清.腹部は平坦・軟で腫瘤を触知しなかった.右下腹部に限局した圧痛を認めたが,反跳痛はみられなかった.
血液生化学検査所見:WBC 6,600/mm3,CRP 0.68 mg/dlとわずかに炎症反応の上昇を認めるのみで,ほかに特記すべき異常はなかった.腫瘍マーカーは,CEA 2.5 ng/ml,CA19-9 16 U/mlと正常値であった.
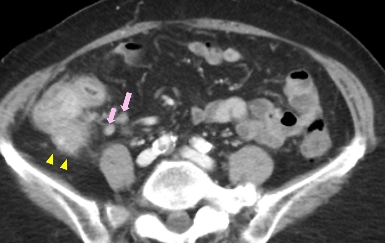
腹部CT所見:虫垂の腫大,および虫垂から盲腸にかけて造影効果を伴う不整な壁肥厚を認めた.腹水はなく,播種結節や遠隔転移を疑う病変はみられなかったが,回盲部リンパ節の軽度腫大を認めた(Fig. 1).

Abdominal CT showed the thickening of the wall of the ileocecum (arrows) and enlarged lymph nodes (triangles).
下部消化管内視鏡検査所見:盲腸虫垂開口部近傍に発赤を伴う粗造な粘膜を認め,周囲は浮腫性に肥厚していた(Fig. 2).同部からの生検で,小胞巣状や索状構造を示す低分化型腺癌と診断された.

Colonoscopy showed the rough reddening mucosa of the cecum.
以上より,虫垂癌と診断し,術前ステージングは大腸癌取扱い規約第8版に準じてcT4a(SE)N1M0,cStage IIIaとした12).同年4月に腹腔鏡下回盲部切除,3群リンパ節郭清術を施行した.腹腔鏡下手術を選択した理由としては,進行大腸癌に対しても開腹手術と比較し短期成績の優位性を示す報告があり13),早い術後回復や疼痛の減少などメリットも期待できると考えたためである.
術中所見では,回盲部の腫瘍周囲に炎症性瘢痕による癒着を認めたため,腹壁の一部と右性腺動静脈を合併切除した.回結腸動静脈を根部で処理し,機能的端々吻合にて再建した.明らかな播種や肝転移の所見はなかった.
術後経過:合併症なく経過し,術後13日目に退院した.
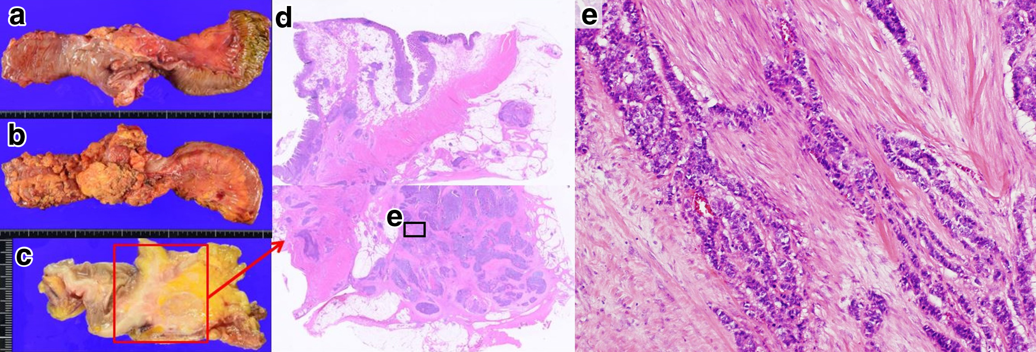
病理組織学的検査所見:虫垂が本来位置する場所に,周囲脂肪組織を巻き込んだ3.2×2.6×6.0 cmの腫瘤性病変を認めた.肉眼観察では虫垂は確認できなかった(Fig. 3a, b).

Macroscopic and microscopic findings of the resected specimen. (a) Mucosal side, (b) Serosal side, (c) Tissue slice, (d) Pathological image using a loupe. The original tissue of the appendix was indistinct due to infiltration of tumor cells, but almost no tumor cells exist in the cecal structure. (e) Smooth muscle tissues infiltrated by tumor cells, which is seemed to correspond to the appendiceal muscular layer.
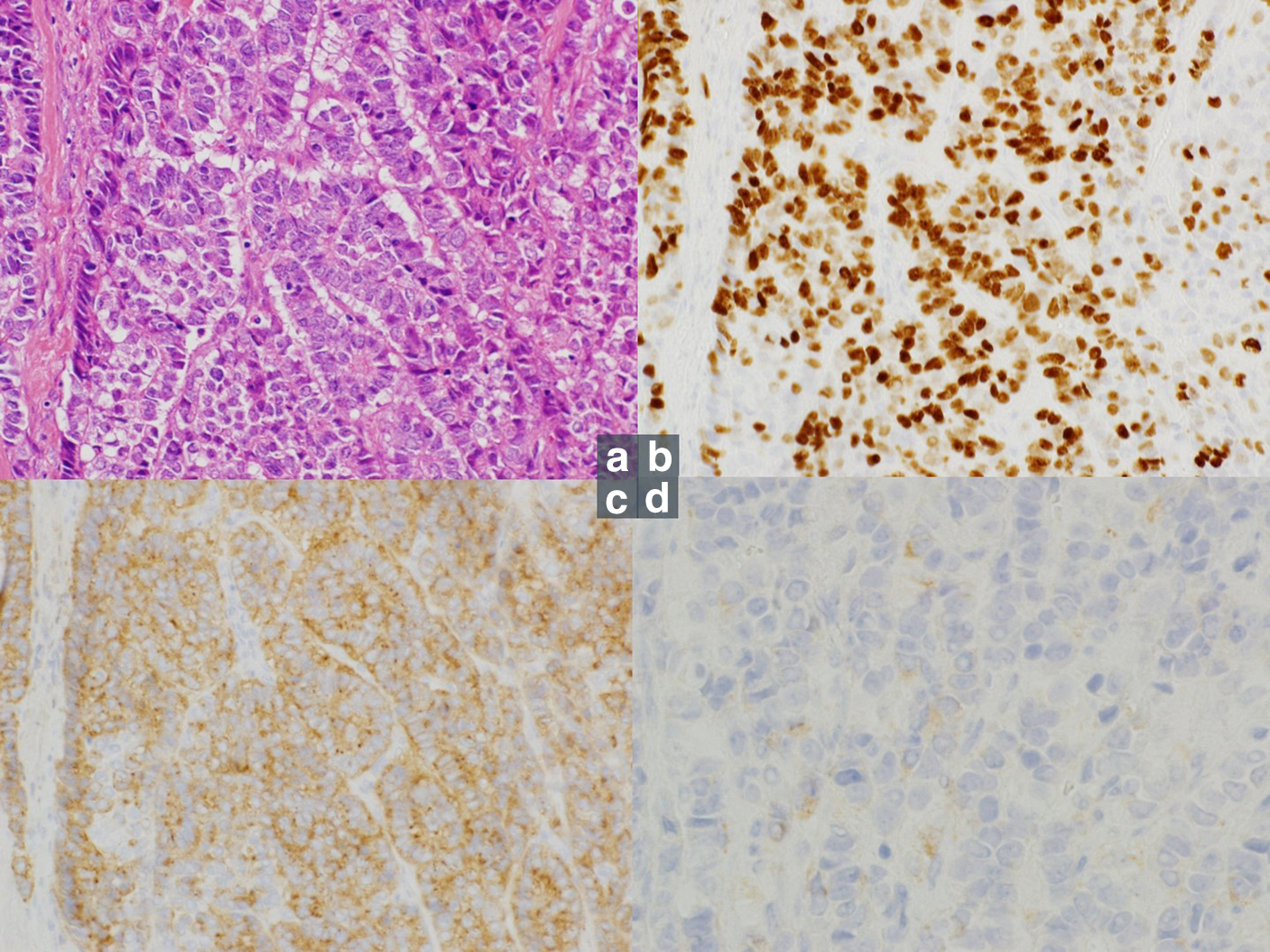
組織標本上では,深部に虫垂構造がわずかに残存していた.腫瘍は盲腸粘膜のびらん部直下から認め,盲腸粘膜の変化が軽度なことや腫瘍の位置関係(Fig. 3c, d),虫垂の遺残と考えられる平滑筋組織に顕著な浸潤増殖を示すことから(Fig. 3e),虫垂原発の腫瘍と考えた.腫瘍組織では,類円形ないし多角形を示す大型で均一な異型細胞が,充実性胞巣や部分的に柵状配列やロゼット状配列を示しつつ増殖浸潤しており,腫瘍組織の壊死や核分裂像,脈管侵襲も観察された.漿膜下では,顕著な癌の増殖・浸潤を認めるが,癌胞巣は脈管侵襲や神経浸潤とは無関係に大小胞巣を形成しつつ増殖しており,壁内転移巣を示唆する所見はみられなかった.また,病変はほぼ全割して検索したが,腺癌の合併は認めなかった.免疫染色検査では,synaptophysin陽性,chromogranin A一部陽性,CDX-2陰性,Ki-67標識率は70%と高率であった(Fig. 4).また,領域リンパ節転移を6個認め,somatostatin免疫染色検査は陰性であった.

Microscopic findings and immunohistochemical staining of the resected specimen. (a) Neuroendocrine differentiation (HE, ×200). (b) The Ki-67 index was 70% (Ki-67 staining, ×200). The tumor cell was positive for synaptophysin (c), and partially positive for chromogranin A (d).
以上より,虫垂に発生したneuroendocrine carcinoma,large cell type(以下,LCNECと略記)と診断した.ステージングはUICC-TNM第8版に従って14),神経内分泌腫瘍(neuroendocrine tumor;以下,NETと略記)ではなく虫垂癌の分類を用い,pT3N2M0,ly2,v2,pStage IIICとした.
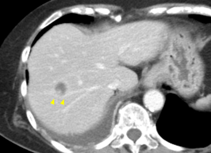
退院後経過:本人や家族との相談結果,術後補助化学療法は施行せず経過観察となった.術後2か月目に食思不振を訴え,CTで肝転移および胸膜播種巣を認めた(Fig. 5).術後4か月目には新たに腹膜播種の所見もみられ,術後5か月目に永眠された.

Abdominal CT showed liver metastasis.
NETは,全身に分布する神経内分泌細胞に由来する腫瘍である.歴史的には,消化管カルチノイド,肺小細胞癌など各臓器に固有の呼称が用いられてきた.カルチノイドに関しては,1907年にObendorfer15)が多発する小腸の良性粘膜下腫瘍を“karzinoide”と命名して以来その呼称が普及したが,転移や再発症例があることから良性とはいえず,また疾患群に含まれる悪性度に幅があったことなどから,それ以降用語や病態の不統一による混乱が生じていた16).2003年に開かれたWHO会議で,神経内分泌細胞への分化を示す腫瘍の全てをNETと称することになり,臨床的に統一した研究が進められる環境が整えられた17).その後,2010年WHOにより病理組織学的特徴による分類が提唱され,この分類では,全てのNETが転移能を有するものと考え,腫瘍細胞の転移能を核分裂像とKi-67 indexを代用マーカーとして判定することになった18).転移能が低いと考えられる順にNET G1,NET G2,NECの3段階で分類され,従来のカルチノイドはNET G1,神経内分泌細胞癌はNECに概ね相当すると考えられるが,いまだ疫学に不明な点は多い.また,腺癌と神経内分泌細胞癌の混合型として記載されているmixed adenoneuroendocrine carcinoma(以下,MANECと略記)は,腺癌成分と神経内分泌細胞癌の成分が混在し,それぞれが30%以上を占める高悪性度の癌腫を指すが,腺癌成分が主成分としてみられることが多い9).
大腸癌における神経内分泌細胞癌の頻度はまれであり,第54回大腸癌研究会アンケート調査報告(2004)によれば,大腸癌手術総数65,671例中のうち18例(0.027%)のみであり,虫垂原発のものは認めなかった19).大腸NECは,全体では約半数が直腸に発生するといわれるが20),LCNECに限れば右側結腸が好発部位であり,その過半数を占めると報告される21).
大腸NECのなかでも虫垂原発の症例は極めてまれであり,我々が「虫垂」,「内分泌細胞癌」または「虫垂」,「neuroendocrine carcinoma」をキーワードとして医学中央雑誌(1964~2018年),および「appendix」,「neuroendocrine carcinoma」をキーワードとしてPubMed(1950~2018年)で検索したかぎりでは,現在までの本邦例は11例1)~11)のみであった(Table 1).No. 1~9の症例では,不明の1例を除いた全てに一般型腺癌が併存しており,2010年WHO分類におけるMANECに相当すると思われる.MANECではなく,腺癌構造の不明瞭な‘pure’なNECと考えられる例はNo. 10以下の3例である.これらには多種の化学療法が試みられており,一定の生存期間を得た報告も散見されるが,MANECも含めて予後不良である.大腸NECはその診断時において深達度MP以深93%,リンパ節転移率78%,同時遠隔転移は50%以上に認められ,さらに1年以内の癌死率は70~78%とされるように22),急速に発育して早期より高率に脈管侵襲,転移を来す極めて予後不良の疾患と考えられる.
| No | Author | Year | Age | Sex | Preoperative diagnosis | 1st operation | 2nd operation | Pathological coexistance lesion | Ki-67 index | Chemo therapy | Survival |
|---|---|---|---|---|---|---|---|---|---|---|---|
| 1 | Higaki1) | 1996 | 71 | F | tumor | — | — | adenocarcinoma | − | — | autopsy |
| 2 | Sakamoto2) | 1997 | 65 | M | appendicitis | appendectomy | ileocecal resection | adenocarcinoma | − | 5-FU+CDDP +MMC+ADM |
10M |
| 3 | Yamashita3) | 2001 | 69 | F | right ovarian carcinoma | ileocecal resection | — | unknown | unknown | unknown | |
| 4 | Sumi4) | 2006 | 70 | F | appendicitis | appendectomy | right hemicolectomy | adenocarcinoma | + | UFT | 5M |
| 5 | Aoki5) | 2006 | 62 | F | cecal carcinoma | right homicolectomy | — | adenocarcinoma | − | CPT-11 +5-FU+LV |
8M |
| 6 | Nishina6) | 2009 | 75 | M | mucinous adeno-carcinoma | ileocecal resection | — | adenocarcinoma | − | — | >14M |
| 7 | Kondo7) | 2012 | 52 | M | appendiceal carcinoma | ileocecal resection | — | signet ring cell carcinoma | 20–30% | FOLFOX →CPT-11+Pmab |
4M |
| 8 | Aosasa8) | 2012 | 48 | M | appendicitis | appendectomy | ileocecal resection | adenocarcinoma | − | Panitumumab +FOLFOX |
>6M |
| 9 | Tanaka9) | 2012 | 53 | M | ileus | ileocecal resection | — | adenocarcinoma | 23% | CDDP +CPT-11 |
>6M |
| 10 | Kashino10) | 2013 | 87 | F | appendiceal carcinoma | — | — | — | 70% | — | <1M (autopsy) |
| 11 | Tomioka11) | 2013 | 58 | F | appendicitis | appendectomy | — | — | 52% | — | >5M |
| 12 | Our case | 80 | F | appendiceal carcinoma | ileocecal resection | — | — | 70% | — | 5M |
特に本症例は虫垂原発であり,症例が非常に少ないため他部位の大腸NECと比較検討はできないが,虫垂という臓器の生物学的,解剖学的特性から他の大腸NECとは異なった性質を示す可能性がある.虫垂はリンパ濾胞部で粘膜筋板が欠損しているため,腫瘍細胞の浸潤が早いと考えられており23),また松田ら24)による虫垂癌と一般大腸癌との比較検討では,虫垂癌の特徴として若年性,低分化型が多い,深達度が深い,術前正診率が低い,stage IVや腹膜播種率が高い,非根治となる手術の頻度が高い,と述べられていることから,虫垂原発NECは他の大腸NECと比べてさらに予後不良となる可能性が示唆される.一方,海外での虫垂腫瘍に関する検討では,虫垂原発NECは,腺癌やMANEC,他のNETと比較して高分化型が多い,stage I/IIの割合が高い,生存率が高い(1年生存率92.9%)とする報告もあり25),既存する報告と乖離が大きい印象であるため,本邦での今後さらなる症例の蓄積および検討が必要である.
虫垂原発神経内分泌細胞癌の臨床症状は,右下腹部痛や下腹部腫瘤,腸閉塞など非特異的であり,まず虫垂炎の診断にて虫垂切除術が施行され,その術中や術後に判明することが多い.その場合は,悪性腫瘍としての術式変更や,二期的根治術について考慮する必要がある.また,病理組織学的悪性度は治療方針決定に重要な因子となるため,免疫染色検査などを積極的に行い本疾患を見逃さないことが大切と考える.
消化管NETの根治的治療は外科的な完全切除であるが,NECの場合では,発見時すでに遠隔転移を有し内科的治療を行う症例も多い.根治切除が可能な症例では,リンパ節郭清を伴う根治術の選択と,その後の補助化学療法が考慮される26).治療法を選択する際には,組織学的grade,肝転移をはじめ遠隔転移の有無,内分泌症状の有無,全身状態などから総合的な判断が必要である.消化管NET(G1/G2)に対する抗腫瘍薬としては,ソマトスタチンアナログであるオクトレオチドが推奨されている27).本剤は,NETの内分泌症状の緩和を目的に用いられてきたが,高分化型NETに関しては,機能性・非機能性を問わず抗腫瘍効果を示す28)ことから,本邦でも保険承認されている.消化管NECに対しては,肺小細胞癌に準じた治療戦略を取ることが多く,白金製剤をベースとしたもの(CDDP+CPT-11やCDDP+VP-16)が基本となるが,いずれも確立はされておらず保険未承認である.これらは比較的高い奏効率が得られるが,治癒することはまれであり,推奨される二次治療もない.NECの場合は,根治切除術が行われても高率に再発を来すため,術後補助化学療法として,同様に白金製剤ベースのレジメンが推奨されるが定まったものはない.また,欧米では放射線療法の推奨もあるが,こちらもエビデンスは存在しない状況である27).
本症例は根治切除術を施行したにもかかわらず,術後2か月目に肝転移および胸膜播種を来し術後5か月目で失う,非常に悪性度の高い症例であった.いまだNECの疾患概念の歴史は浅く報告も少ないため,今後の症例の蓄積が待たれる.
利益相反:なし