2020 年 53 巻 1 号 p. 16-21
症例は25歳の女性で,腹痛を主訴に近医を受診し,精査で膵囊胞性病変と随伴性膵炎を指摘され,保存的加療を受けた.症状は一時改善傾向となったが,その後増悪し,新たに下血も認められたため,精査加療目的に当院に紹介となった.腹部CTでは膵尾部に多房性囊胞性腫瘤を認め,膵粘液性囊胞腫瘍が疑われた.囊胞に接して仮性脾動脈瘤と囊胞内に陳旧性を疑わせる高吸収域を認めたことから,仮性動脈瘤が腫瘍内に穿破し,hemosuccus pancreaticusを呈したと推測された.手術は膵体尾部切除術を施行した.病理組織学的検査の結果,5 mmの微小浸潤を伴う膵粘液性囊胞腺癌(pancreatic mucinous cystadenocarcinoma;以下,MCCと略記)と診断された.また,仮性動脈瘤の壁は一部が破綻し,腫瘍内腔に穿破している像を認めた.MCCに随伴性膵炎や仮性動脈瘤を合併した希少な1例を経験したので報告する.
A 25-year-old woman with a pancreatic cystic lesion was admitted to our hospital. She also had a history of repeated acute pancreatitis and melena. Contrast-enhanced abdominal CT revealed a multilocular cystic lesion in the pancreatic tail and a splenic artery aneurysm beside the cyst. The cyst included high-density content indicative of obsolete hematoma. Based on these findings, we diagnosed mucinous cystic neoplasm with hemosuccus pancreaticus caused by ruptured pseudoaneurysm into the cyst. We performed distal pancreatectomy after splenic artery embolization. Pathological findings showed mucinous cystadenocarcinoma with minimal invasion and ruptured aneurysm into the cystic tumor. Mucinous cystadenocarcinoma with pancreatitis or splenic artery pseudoaneurysm is rare, and we report this case with a review of the literature.
膵粘液性囊胞性腫瘍(pancreatic mucinous cystic neoplasm;以下,MCNと略記)は中年女性の膵体尾部を好発とする膵管上皮由来の囊胞性腫瘍であり1)2),随伴性膵炎や仮性動脈瘤を合併することはまれ3)4)である.
今回,随伴性膵炎が原因と思われる仮性脾動脈瘤が,腫瘍内に穿破したことによりhemosuccus pancreaticusを呈した膵粘液性囊胞腺癌(pancreatic mucinous cystadenocarcinoma;以下,MCCと略記)の1例を経験した.文献的考察を交えて報告する.
患者:25歳,女性
主訴:腹痛,下血
既往歴:特記事項なし.
現病歴:心窩部痛を主訴に近医を受診し,腹部超音波検査で膵体部に囊胞性腫瘍を指摘された.1か月後,腹痛の増悪を来したため同院に緊急入院となり,急性膵炎と診断され,保存的加療がなされた.症状は一旦軽快したが数日後に再燃し,下血も来した.外科的な対応が必要と考えられたため,当院に紹介,転院となった.
入院時現症:体温37.1°C,心拍数81回/分,血圧101/74 mmHg,眼瞼結膜に貧血は認めなかった.腹部は平坦・軟で,圧痛は認めなかった.
血液検査所見:血算では,Hb 11.4 g/dlと軽度の貧血が認められた.生化検査ではAmy 114 IU/l,P-Amy 54 IU/l,CRP 0.02 mg /dlと膵酵素および炎症反応の上昇は認めなかった.腫瘍マーカーはいずれも基準値内であった.
腹部造影CT所見:膵尾部に径64 mmの内部に隔壁構造を伴う囊胞性腫瘤を認めた.明らかな壁肥厚像や結節性病変は認めなかった.囊胞内にやや高吸収の領域が認められ,陳旧性の出血と考えられた.囊胞と周囲の膵実質との境界は不明瞭で,周囲の脂肪織濃度の上昇を認めた.囊胞に接して仮性脾動脈瘤を認めた(Fig. 1).

Abdominal CT scan showing an ill-defined septated cyst measuring 64 mm (arrows) in the tail of the pancreas. Pericystic adipose tissue appears hyperdense. A pseudoaneurysm (arrowhead) and a hyperdense area (star) can be visualized in the cyst, which represents bleeding from the pseudoaneurysm (a: Coronal view, b: Axial view).
腹部造影MRI所見:腫瘤は膵臓との境界が不明瞭で,内部はT1強調像で高信号,T2強調像で低信号を呈していた.内部の造影効果は認めなかった.腫瘤内にはT1強調像で低信号,T2強調像で高信号を呈するcyst in cyst様の多房状構造,隔壁様構造を認めた(Fig. 2).

Abdominal MRI scan showing a small septated cyst that appears hyperintense on T1- and hypointense on T2-weighted imaging (asterisk).
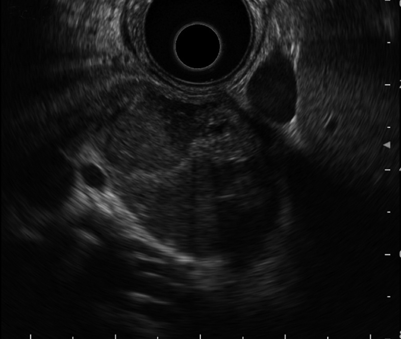
超音波内視鏡検査所見:腫瘤内に多房状構造,隔壁様構造を認めた.低エコー域内に出血を示唆する等~高エコー領域を認めた(Fig. 3).

Endoscopic US showing multilocular cystic lesion with septations. Hyper echoic area can be observed in the cyst.
上部消化管内視鏡検査所見:腫瘍や潰瘍など,明らかな出血源は認められなかった.
以上の所見から,MCNを第一に考え手術の方針とした.鑑別としては,膵炎を併発していたこと,周囲膵実質との境界が不明瞭であったこと,仮性脾動脈瘤を伴っていたことから膵仮性囊胞が挙げられた.また,消化管出血に関しては,仮性脾動脈瘤が囊胞性病変内に穿破して,hemosuccus pancreaticusの病態を生じていたものと推察した.
膵炎の併発による膵周囲の強固な癒着が予想されたため,開腹膵体尾部切除術を行った.また,術中の仮性動脈瘤破裂の危険性を考慮し,開腹に先立ってinterventional radiology(以下,IVRと略記)手技により仮性動脈瘤をコイルで塞栓した.
摘出標本肉眼所見:膵尾部に70×65 mm大の粘液を伴う囊胞性病変を認め,内部に結節状の隆起,粘液を含む小囊胞および凝血塊を認めた(Fig. 4).囊胞内容液を生化学検査に提出したところ,CEA値は742.6 ng/ml,Amy濃度は28,670 IU/lと高値であった.

Macroscopic examination of the resected specimen showing a cystic tumor measuring 70×65 mm in diameter with a protruding lesion, multiple mural nodules, and clotted blood. The tumor contained mucosal fluid.
病理組織学的検査所見:腫瘍は内腔を一層の円柱上皮に覆われた多房性の囊胞性病変で,間質ではエストロゲン受容体(+),プロゲステロン受容体(+)であった.上皮には上皮内癌が認められ,一部では囊胞壁への浸潤も認められており,MCCと診断した(Fig. 5).膵癌取扱い規約(第7版)に準ずると,Pt,5.5×3.5 cm,TS3,囊胞型,mucinous cystadenocarcinoma,intermediate type,INFβ,ly0,v0,ne0,mpd(−),T2,pCH(−),pDU(−),pS(−),pRP(−),pPV(−),pA(−),pPL(−),pOO(−),N0,M0,pStage IB,pPCM(−),pDPM(−),R0に相当した.また,囊胞に接して仮性動脈瘤が存在し,一部で壁の破綻を認めたことから仮性動脈瘤が腫瘍内に穿破したことが下血の原因と考えられた.

Histological examination of the resected cyst showing single-layered columnar epithelium lining the cyst, and the stroma is stained positive for estrogen and progesterone receptors (a–d). Adenocarcinoma can be visualized invading a part of the cyst wall. The ruptured pseudoaneurysm (arrow) can also be seen (e).
術後経過:術後経過は良好で術後12日目に退院した.通常型膵癌に準じて術後補助療法としてS-1内服(120 mg/日,4週間連続投与・2週間休薬)を4クール行った.術後12か月経過した現在も再発は認めていない.
MCNは1978年にCompagnoら1)により提唱された疾患概念であり,中年女性の膵体尾部に好発する膵管上皮由来の腫瘍である.線維性被膜を有する単房性もしくは多房性の囊胞でcyst-in-cyst構造を持つことが特徴とされている.典型的なMCNでは腫瘍と主膵管との連続性は認められず3)4),囊胞内のAmyは低値であり5)6),随伴性膵炎を伴うことはまれ3)4)である.本症例においては,囊胞内容液のAmy濃度が高値であったことや随伴性膵炎を合併したこと,ならびに仮性脾動脈瘤を伴っていた点が非典型的であった.
MCNに占めるMCCの頻度は22~39%1)~3)で,その予測因子としては高齢,有症状,囊胞径,壁在結節の存在などが報告されている3).MCCの平均年齢は54歳で,MCN(45歳)と比較して有意に高いとの報告がある2).一方で30歳未満症例が占める割合が9%2)との報告もあることから,自験例のような若年者においても癌の合併を念頭に置く必要があると思われる.
随伴性膵炎はMCNの1~6%3)4)に合併すると報告されている.その機序には定説はなく,MCNが膵管と何らかの原因で交通し,同部を介して粘液が膵管へ流入,閉塞させることにより膵炎が発症する可能性や膵管に腫瘍が浸潤し膵炎が発症する可能性6)が示唆されている.MCNと膵管の交通については,Suzukiら3)により21/173例(12.1%)に認められたと報告されている.また,その機序については,囊胞の発生の早期には認められるとの報告7)8)や,癌や炎症により囊胞近傍の膵管が破綻した可能性9)10)が指摘されている.本症例においては囊胞内容液を生化学検査に提出したところAmy値が高値を示していたことから,膵管と囊胞が交通して,膵管内に流入した粘液が膵管を閉塞したことが膵炎発症の原因になったと考えられたが,組織学的に腫瘍の膵管への浸潤は明らかでなく,機序に関しては不明である.
MCNの治療法については,malignant potentialを有する腫瘍であるため,IPMN/MCN国際診療ガイドライン2012年版11)では手術可能な全身状態であれば全例手術が推奨されている.一般に,術前膵炎を合併した症例では,膵臓ならびに周囲組織への炎症の波及による線維化,癒着,新生血管の増生などにより,膵切除術の難易度は高いとされるうえ,自験例では脾動脈瘤も合併していたことから,手術直前にIVR手技により脾動脈瘤を塞栓したうえで開腹下に手術を施行した.
脾動脈瘤を合併したMCNに関しては,医学中央雑誌(期間:1964年~2018年10月,キーワード:「膵粘液性囊胞腫瘍」,「動脈瘤」)ならびに,MEDLINE(期間:1950年~2018年10月,キーワード:「pancreas」,「mucinous cystic neoplasm」,「aneurysm」)にて検索したが,該当する報告例は認めなかった.本症例における仮性動脈瘤合併の原因については,臨床経過から判断すると,随伴性膵炎の炎症の波及によるものと考えられた.
Hemosuccus pancreaticusは,既報では膵炎に伴う囊胞や動脈瘤からの出血が膵管を通じてVater乳頭から消化管内への血液が分泌されるにより発症する12)とされている.本症例では,病理組織にて仮性動脈瘤の壁が破綻しMCN内に穿破している像が確認されたこと,MCN内容液中Amyが高値でMCNと膵管の交通があったことが示唆されることから,MCNを介して膵管内に血液が流入したことが原因でhemosuccus pancreaticusの病態を呈したと考えられた.
MCCに随伴した急性膵炎により生じた仮性脾動脈瘤がMCC内に穿破してhemosuccus pancreaticsというまれな病態を呈した1例を経験した.
利益相反:なし