2020 年 53 巻 2 号 p. 172-180
症例は68歳の男性で,S状結腸と直腸の重複癌に対し,腹腔鏡下低位前方切除術を施行した.術後,縫合不全による腹膜炎と腹腔内膿瘍を来し,横行結腸に人工肛門を造設した.ドレナージによる保存的治療で軽快し退院となったが,3か月後,注腸検査で直腸吻合部の完全閉塞が確認された.同時期に診断された結核治療後,人工肛門閉鎖と腸管吻合部閉塞解除を試みることになったが,本症例では内視鏡的切開または再手術が困難であると判断し,磁石圧迫吻合部狭窄解除術(第2山内法)を行った.術後約4年が経過し,閉塞部の開通は保たれている.本法は難治性消化管狭窄/閉塞において侵襲が極めて少なく,有効な手段であると考えられた.
Here, we present the case of a 68-year-old man who underwent laparoscopic low anterior resection for overlap cancer of the sigmoid colon and rectum. After surgery, anastomotic leakage led to peritonitis and abdominal abscess, for which a colostomy was constructed in the transverse colon. Three months after he was discharged with preservative treatment by drainage, complete obstruction of the rectal anastomotic site was confirmed by an enema examination. Tuberculosis was simultaneously detected and treated, and it was decided to attempt the closure of the colostomy and the release obstruction of the intestinal anastomotic part. However, in this case, endoscopic incision or reoperation seemed difficult. Therefore, a magnet-compressed anastomotic stenosis restriction surgery (second Yamauchi method) was performed. After approximately 4 years after this surgery, the opening of the rectal anastomotic site is still maintained. This method is thus considered an effective means for refractory gastrointestinal stricture/obstruction with least medical invasion.
下部消化管術後の縫合不全・腹腔内膿瘍形成は主たる合併症の一つで,これに伴う吻合部狭窄は治療に難渋するケースが多い.硬性ブジー,バルーンダイレーターを用いた拡張術や,内視鏡レーザーによる高周波切開法とともに,磁石圧迫吻合部狭窄解除術(第2山内法)は磁石を用いることにより,手術を行わずに安全に腸管吻合部の狭窄を改善させる方法である1)~4).
今回,低位前方切除後の吻合部閉塞に対し,磁石圧迫吻合部狭窄解除術により閉塞を解除できた症例を経験したので,若干の文献的考察を加え報告する.
患者:68歳,男性
主訴:嘔吐,腹痛,腹部膨満
現症:身長157 cm,体重41 kg,腹部は膨満し,悪心・嘔吐あり.筋性防御,反跳痛は見られなかった.
既往歴:高血圧,高脂血症
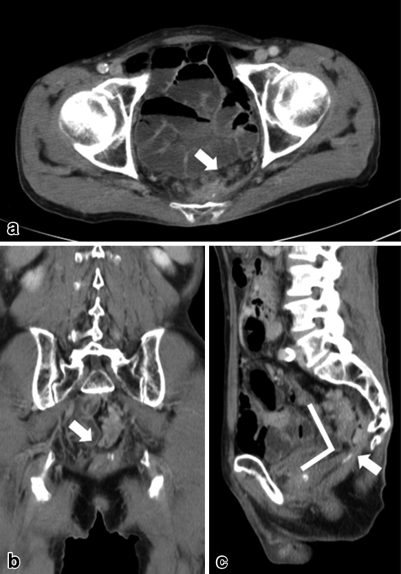
現病歴:2011年1月,S状結腸と直腸Rbの重複癌に対し,腹腔鏡下低位前方切除術を施行した.術後,縫合不全による腹膜炎と腹腔内膿瘍を来したため,横行結腸に人工肛門を造設した.ドレナージと抗生剤投与による保存的治療で縫合不全による膿瘍は軽快したが,術後3か月の後に人工肛門の閉鎖を目的として行った注腸検査で吻合部に閉塞が指摘された.大腸内視鏡で肛門と人工肛門の両側から閉塞部を観察すると,閉塞区間は約5 mm程度ではあったが,わずかな開通部もないことが確かめられた(Fig. 1).このため内視鏡的切開や外科的手術(閉塞部切除/再吻合),磁石圧迫吻合法を考慮した.しかしながら,術後経過観察のCTで右肺上葉に結核病変を指摘されたため,約2年の結核治療後に人工肛門閉鎖および,腸管吻合部閉塞解除を試みることになった.

Study before Yamanouchi method. a, b) Simultaneous contrast enema study from the stoma and anus showed the complete occlusion of rectal anastomosis. On transanal contrast, only the shortened rectum was contrasted. The obstruction was shown by contrasting with the transanus/stoma. The white arrows show the occlusion. c) A complete occlusion was confirmed by colonoscopy from the stoma side. d) There was also no opening from the anal side and no clearance through which the guide wire passes. The white arrow shows the guide wire (35's radial focus).
治療:本症例では閉塞部が屈曲しており,内視鏡的切開では穿孔の危険性が大きくなると判断した(Fig. 2).また,術後縫合不全による骨盤内膿瘍治療後のため,骨盤内は高度の癒着が予測され,吻合部閉塞部切除,再吻合は手術侵襲が大きく,血流不全から再び縫合不全を起こす可能性も高いと考えられた.このため2014年1月,出血・感染・穿孔などのリスクが小さく,時間を要してもより安全な方法として,磁石圧迫吻合部狭窄解除術(第2山内法)を行った.なお,治療については患者・家族への説明を十分に行ったうえで同意を得た.

Study before Yamanouchi method. a, b) Contrast-enhanced CT showed the occlusion of rectal anastomosis (arrows). c) The occlusion area was bent like the angle.
経過:内視鏡下に肛門と人工肛門の両側からそれぞれ直径17.5 mm,厚さ5 mmのサマリウムコバルト系希土類磁石を挿入し,両磁石で閉塞部組織を挟み込む形で圧迫した.磁石側面には穴が開いており,この穴に内視鏡の先端から出したガイドワイヤーを通した状態で,人工肛門から閉塞部へ先端を進めていく.磁石がガイドワイヤーから抜け落ちないように注意し,閉塞部に達してからガイドワイヤーを抜き,内視鏡の先端で閉塞部の底面に磁石が平行となるように調節する.肛門側の磁石はペアンで押し込み,透視下で位置を決定した4)(Fig. 3).

Yamanouchi method (coronal contrast/colonoscope). a) A disc-shaped magnet was inserted under colonoscopic guidance from the stoma side. The white arrow shows the guide wire. b) The other disc-shaped magnet was inserted from the anal side (diameter 17.5 mm, thickness 5 mm). The two magnets sandwiched the occlusion area. Intestinal tract. c) We confirmed that the magnet was adsorbed by the colonoscope from the anus.
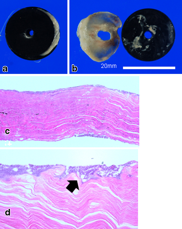
施術後5日目では圧迫磁石にずれはなく(Fig. 4a, b),8日目に肛門から圧迫磁石の脱落があり,閉塞部組織は両磁石に圧迫壊死した形で排出され,使用した磁石と同直径の開通を得た(Fig. 4c, d).再狭窄を防ぐために,再開通部が安定するまでは,外来で2週間毎に3か月間,硬性ブジーによる拡張を行った.二つの磁石に圧着されて脱落した閉塞部組織は,直腸の線維組織として矛盾なく,悪性所見はなかった(Fig. 5).

Study after the Yamanouchi method. a, b) On day 5, two magnets sandwiched the occlusion area (arrows). c, d) On day 8, both magnets were removed and eliminated. The diameter of recanalization was the same as the magnets (arrows).

Eight days after the Yamanouchi method. a) The two magnets squeezing the occlusion area dropped out from the anus. b) The tissue of the occlusion and magnets were the same size. c) Histologically, the mucosal epithelium is completely exfoliated. Scattered foreign bodies containing bacteria is found on the surface (arrow). Strong fibrosis is observed in the stroma without vascular structure (HE c: 4× d: 20×).
閉塞解除術施行後から約4年の現在,腸管の開通は保たれている.
吻合部狭窄は,縫合不全,吻合部出血とともに,大腸手術における吻合部関連の代表的合併症の一つである.吻合部狭窄の治療としては,内腔膨張法や高周波切開法などがある5).内腔膨張法には硬性ブジーの他,内視鏡下でのバルーン拡張術が一般的である.高周波切開法は,狭窄部をレーザーで放射状に切開する方法であり,バルーン拡張術と併用することで拡張効果が上がるという報告もある6).
腸管吻合部の狭窄には,自動吻合器のステイプル-腸管壁の間に形成される膜様狭窄と,縫合不全などによる吻合部周囲組織の強固な線維化から生じる瘢痕性狭窄がある7).膜様狭窄では組織が薄く,狭窄部に亀裂を生じさせるような拡張術が有効である.一方,瘢痕性狭窄では,複数回に及ぶ拡張術を要する場合や,短期間のうちに再狭窄を来して治療に難渋する場合も多い.その理由としては,瘢痕性狭窄の組織は一般的に厚く,拡張術による狭窄部の亀裂程度では,組織の修復再生機能を上回ることができないことと,吻合部の不可逆的な変形や収縮をステイプルが形状記憶している可能性が考えられている8).このような瘢痕性狭窄には,レーザー切開や再吻合,金属ステントなどが有効であるという報告がある9)~12).稲葉ら13)は吻合部狭窄に対して,高周波焼灼による切開後にバルーン拡張術を施行することでその有用性を報告している14).しかし,自験例のように再手術の施行が困難で,かつ閉塞部の形状から内視鏡的切開もリスクが大きい閉塞例では,治療法に関して選択肢は限られる.
磁石圧迫吻合術(山内法)は強力な磁石を用いて管腔臓器間を圧着し,圧迫した組織を壊死させることで瘻孔を形成する治療法である3)(Fig. 6).これを管腔臓器吻合部の狭窄部に用いた方法が,磁石圧迫吻合部狭窄解除術4)(第2山内法)である.全身麻酔や開腹操作が不要であり,再吻合に比べて短時間・低侵襲で患者のQOLを改善しうる方法として,消化管狭窄・閉塞を起こす病態に対して広く有用と思われる.術後の吻合部狭窄・閉塞における適応は,患部組織を二つの磁石で挟み込める形状であればよい.組織に厚みがなく平らな状態であれば,磁石がしっかりと患部を挟み込み,滑って外れる可能性は小さい.磁石がずれることなく狭窄・閉塞部をしっかり挟み込むことができる手技的成功率は80~90%と報告されている.磁石が組織とともにうまく脱落し,内腔が広がる成功率はその70%程度であり,これまで大きな偶発症の報告はなく,安全性は高いと思われる.しかし,狭窄または閉塞部がなだらかで硬い場合などは,組織が厚くなり磁石で挟み込むことができない.また,3個以上の磁石が腸管内にある場合,予測できない吻合が形成される危険がある.例えば,施術中に腸管内に磁石を1個落としてしまい回収不能となった場合などは,落とした磁石が自然排出されてから改めて施術すべきである.また,磁石が脱落するまでにMRIを施行しなければならない患者への施行は禁忌となる3)4).

Yamanouchi method (diagram). a) Two magnets squeeze the occlusion area from both directions. b) On the eighth day after the operation, there was a dropout of the compression magnet from the anus. c) The tissue of the occlusion was discharged in the form of compression necrosis to both magnets, and the opening with the same diameter as the used magnet was obtained.
自験例では,横行結腸に人工肛門が造設されており,閉塞部に人工肛門と肛門の両側からアプローチが可能であった.このため,確実に2個の磁石で閉塞部を挟み込むことができた.山内法の利点は合併症が少ないことであり,手技による死亡報告はなく,再狭窄による再治療症例も認めていない.しかし,吻合を形成するまでに1~2週間程度の時間を要し,術後も一定期間の吻合部拡張が必要となる場合がある.腸管減圧をせずに吻合した初期の症例では,吻合部穿孔が報告されており,山内法の施行にあたっては,狭窄・閉塞部の腸管が十分に減圧されていることが重要である15).これらの点は,第2山内法でも同様のことがいえる.
1999年から2018年10月までの医学中央雑誌で「吻合部狭窄」および「腸管閉塞」と「山内法」をキーワードで検索したところ,13件の症例報告があった.そのうち,腸閉塞の症例が2件16)17),上部消化管の吻合に関する症例が5件18)~22),肝・胆領域の吻合部に関する症例が5件23)~27)であった.自験例と同様の病態での症例報告はなかった.自験例は,低位前方切除後の膿瘍形成と高度な癒着により,内視鏡的治療または開腹による再吻合が困難と判断された.閉塞解除術後から約4年経過し,腸管の開通は保たれている.直腸癌術後吻合部閉塞に対して施行した磁石圧迫吻合部狭窄解除術(第2山内法)による治療は,低侵襲で合併症もなく有効な方法であった.
謝辞 第2山内法の施行にあたっては,医療福祉大学病院放射線科 山内栄五郎先生より丁寧にご指導いただきました.深謝致します.
利益相反:なし