2020 年 53 巻 4 号 p. 321-328
症例は39歳の女性で,貧血を主訴に当院を紹介受診した.上部消化管内視鏡検査で十二指腸球部後壁に2型腫瘍を認め,病理組織学的に腺癌と診断した.全身CTでは明らかな遠隔転移を認めず,根治目的で膵頭十二指腸切除術を施行した.手術検体の大部分は組織学的に胎児消化管類似癌の像を示し,その一部は免疫染色検査でAFP陽性であった.また,腫瘍全体の5%ほどではあるが,神経内分泌への分化が認められた.腫瘍は十二指腸球部中心に存在していたが,通常型中分化型管状腺癌に相当する領域を幽門付近の胃粘膜に認め,胃癌の十二指腸浸潤と診断した.幽門輪口側の粘膜下層から筋層内に異所性胃腺および異所性膵を認めた.術後1年8か月無再発経過観察中である.
A 39-year-old woman was referred to our hospital due to anemia. An upper gastrointestinal endoscopy revealed a type 2 tumor at the posterior wall of the duodenal bulb, while adenocarcinoma was diagnosed histopathologically. Enhanced CT showed no evidence of distant metastasis. The patient underwent pancreatoduodenectomy with curative intent. Histological findings revealed adenocarcinoma with enteroblastic differentiation in most areas of the resected specimen. Immunohistochemical findings were positive for alpha-fetoprotein. Neuroendocrine differentiation was observed in approximately 5% of the tumor. Although the tumor was macroscopically localized mainly in the duodenal bulb, the patient was given a diagnosis of gastric cancer with duodenal invasion because moderately differentiated tubular adenocarcinoma was found in the gastric mucosa of the pyloric region. Heterotopic gastric glands and ectopic pancreas were detected at the submucosa and muscle layer of the pyloric region. The patient is currently alive and without recurrence at 20 months after surgery.
胃癌では時に管状腺癌が脱分化し,胎児消化管類似癌や神経内分泌成分を生じることがあり,いずれもまれで悪性度の高い組織型と考えられている1)~4).今回,我々は異所性胃腺,異所性膵の近傍に発生した,中分化型管状腺癌からAFP産生を伴う胎児消化管類似癌,さらに神経内分泌への分化成分を示す進行胃癌に対して,膵頭十二指腸切除術を行った症例を経験したため報告する.
患者:39歳,女性
主訴:心窩部痛,貧血
既往歴:特記事項なし.
家族歴:特記事項なし.
現病歴:当院来院1か月前,心窩部違和感を自覚し近医を受診した.血液検査で貧血を指摘され,鉄剤内服後も改善が乏しいため当院を紹介受診した.精査の結果,十二指腸球部に進行癌を認め手術目的で入院となった.
入院時現症:身長168 cm,体重74 kg.血圧116/84 mmHg,脈拍74回/分.腹部は平坦,軟で心窩部に軽度の圧痛を認めたが,腹膜刺激徴候はなく,腫瘤を触知しなかった.
血液検査所見:Hb 10.6 g/dl,血清鉄25 μg/mlと鉄欠乏性貧血の所見であった.腫瘍マーカーは,CEA 4.05 ng/ml,CA19-9 3.49 ng/mlと正常範囲内であった.
上部消化管内視鏡検査所見:十二指腸球部後壁に主座を持つ2型腫瘍を認めた(Fig. 1a).幽門輪口側に粘膜下腫瘍様の隆起を認めた(Fig. 1b).

Upper gastrointestinal endoscopy reveals a type 2 tumor at the posterior wall of the duodenal bulb (a). It also shows an elevated lesion resembling a submucosal tumor in the pyloric region (b).
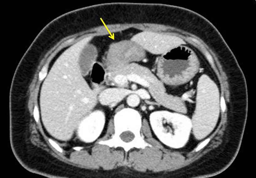
胸腹部造影CT所見:十二指腸球部に全周性の壁肥厚を認めた(Fig. 2).リンパ節転移,遠隔転移を疑う所見は認めなかった.

Enhanced CT examination reveals wall thickening of the duodenal bulb (yellow arrow).
病理組織学的検査所見:腫瘍の生検標本は組織学的に腺癌と診断した.
手術所見:十二指腸球部進行癌の診断で根治目的の手術を行った.幽門部から十二指腸球部にかけて径40 mm大の腫瘤を確認した.十分な肛門側マージンを確保するには総胆管,ファーター乳頭の合併切除が不可避と判断し,膵頭十二指腸切除術を行った.膵頭前部・後部リンパ節,腸間膜根部リンパ節に加え,肝十二指腸間膜内リンパ節,幽門上・下リンパ節,総肝動脈周囲リンパ節を廓清し,Child変法で再建した.
摘出標本所見:十二指腸球部後壁に主座を持つ40×25 mm大の2型腫瘍を認めた(Fig. 3a, b).腫瘍肛門側断端からファーター乳頭までの距離は約2 cmであった.

The resected specimen shows a type 2 tumor, (a) 40×25 mm in size (b) mainly at the posterior wall of the duodenal bulb.
病理組織学的検査所見:幽門輪口側から十二指腸球部の粘膜下層を中心に腫瘍細胞を認めた(Fig. 4a, b).腫瘍の主体は,淡明な細胞質を持つ円柱細胞が管状に増殖しており(Fig. 4c),免疫染色検査を行うとSALL-4が陽性であり,胎児消化管類似癌と診断した(Fig. 4d).その一部ではAFP陽性であった(Fig. 4e).また,腫瘍全体の5%程度であるが腫瘍細胞が管状ではなく索状に増殖する部分がみられ,免疫染色検査を行うとその部分においてchromogranin Aとsynaptophysin が陽性であり,神経内分泌への分化を伴う成分と診断した(Fig. 4f~h).また,これらとは別に,ごく少量幽門部付近表層に形態的に通常型中分化型管状腺癌に相当する像を認めた(Fig. 4i).この部分はSALL-4,chromogranin A,synaptophysinいずれも陰性であり,通常型の中分化型管状腺癌として矛盾ない結果であった.腫瘍の発生部位としては,中分化型管状腺癌が存在した幽門部と考えられ,全体として十二指腸へ浸潤した胎児消化管類似癌で一部神経内分泌への分化および中分化型管状腺癌を伴う胃癌と診断した.胃癌取扱い規約第15版およびWHO分類に準じ5)6),L,Post,40×25 mm,Enteroblastic carcinoma,with moderately differentiated tubular adenocarcinoma and neuroendocrine component,pT2,INFb,Ly0,V0,pPM0,pDM0,pN0,pStage IBと診断した.

Histological findings. The tumor is mainly located at the submucosa of the pyloric region of the stomach and duodenal bulb (a, b). Histochemical analysis of most of the tumor revealed enteroblastic differentiation (c), and immunohistochemistry showed positive for SALL-4 (d) and partly positive for AFP (e). Histochemical analysis of a part of the tumor revealed neuroendocrine differentiation (f), and immunohistochemistry showed positive for chromogranin A (g) and synaptophysin (h). A small part of the tumor in the pyloric region showed conventional moderately differentiated tubular adenocarcinoma (i). Heterotopic submucosal glands and ectopic pancreas (acinar and duct component) were at the submucosa of the pyloric region (j). Black bar: 5 mm, Blue bar: 100 μm, White bar: 200 μm.
また,幽門部粘膜下層から筋層に胃腺窩および膵腺房・膵導管を認め,粘膜下異所性胃腺・異所性膵(Heinrich II型)と診断した(Fig. 4j).非腫瘍部胃粘膜にHelicobacter pyloriを疑う桿菌像は明らかでなく,検索した範囲では腸上皮化生も見られなかった.
術後経過:術後経過は良好で術後25病日に退院した.術前の血清検体が保存されていなかったため術前血清AFPは不明であり,術後に測定した血清AFPは1.62 ng/mlと正常範囲内であった.術後補助化学療法は行わず,術後1年8か月無再発経過観察中である.
本例では,幽門部に胎児消化管類似癌がみられ,一部に通常型管状腺癌とともに神経内分泌への分化を伴う成分を認めた.また,腫瘍近傍には異所性胃腺および異所性膵を認めた.我々が検索しえた範囲では,全く同一の症例報告は見当たらなかったが,さまざまな分化を示す混合型胃癌,異所性胃腺および異所性膵のそれぞれについて文献的考察を行った.
本例の腫瘍の大部分は胎児消化管上皮への分化を示しており,その一部においてAFP陽性であった.AFP産生胃癌は全胃癌の1.6%を占め7),通常型胃癌と比較して予後不良と報告されている7)8).かつては肝様腺癌と同義とされていたが9),現在では肝様腺癌,胎児消化管類似癌,卵黄囊腫瘍類似癌の三つの組織型に細分類されている5)10)11).免疫組織化学ではAFPよりSALL-4やGlypican-3がより有用なマーカーと報告されており12)~14),本例でもSALL-4が陽性であることから,胎児消化管類似癌として矛盾しない結果であった.胎児消化管類似癌では,ほぼ全例で高分化もしくは中分化型腺癌などの一般型成分が併存しており3),それらの一部で脱分化が起こり,発生する可能性が考えられている.本例でも中分化型管状腺癌が併存しており,脱分化を経て発生した機序が考えられた.
また,本例では一部に神経内分泌へ分化した成分を認めた.WHO分類では,胃の神経内分泌腫瘍は腺癌とは別のカテゴリーに分類されている6).神経内分泌癌(neuroendocrine carcinoma;NEC)は低分化な神経内分泌成分により構成され,核分裂像数が2 mm2あたり20個より多く,Ki-67 indexが20%を超えている腫瘍と定義される,そして,神経内分泌成分と外分泌成分をそれぞれ30%以上持つ混合腫瘍をmixed neuroendocrine-non-neuroendocrine neoplasms(以下,MiNENsと略記)と定義している.本例では神経内分泌への分化成分が30%未満であったため,MiNENsの定義に該当せず,神経内分泌への分化および中分化型管状腺癌を伴う胎児消化管類似癌と診断した.本例のような,神経内分泌成分が少量ながら含まれる症例は通常型の管状腺癌が脱分化後,神経内分泌成分に分化し生じたものと考えられている15).本例は,胎児消化管類似癌成分と神経内分泌へ分化を伴う成分が連続しており,幽門部にみる中分化型管状腺癌が脱分化し,胎児消化管類似癌と同様に,さらに分化し生じたものと考えられる.
医学中央雑誌(1964年~2017年)で,「胎児消化管」または「AFP産生」と「神経内分泌」をキーワードに,およびPubMed(1950年~2018年)で「enteroblastic」または「AFP」と「neuroendocrine」をキーワードにして検索したところ(会議録除く),通常型管状腺癌に胎児消化管類似癌,神経内分泌への分化成分を伴う混合型胃癌の報告はわずか2例16)17),AFP陽性成分が胎児消化管類似癌ではなく肝様腺癌の報告を含めてもわずか9例であった18)~23).我々は本例を加え10例の臨床病理学的特徴をまとめ,検討した(Table 1).平均年齢は63歳,男女比は7:3,部位はL領域が最多であり,腫瘍長径の平均は約6.5 cmと大型の腫瘍が多く,全例T2以上の進行癌であり,本例以外ではリンパ節転移,あるいは遠隔転移を認めている.AFP産生胃癌においては肝転移の有無とステージが独立した予後不良因子と報告されているが24),今回の検討では症例数は少ないものの,胎児消化管類似癌を含む症例(Case 3,4)では初診時Stage IVであっても化学療法が著効し長期生存,寛解が得られていた.胎児消化管類似癌を含む本例も同様に良好な予後が期待されるが,肝様腺癌と胎児消化管類似癌を十分な症例数で比較した検討は報告されておらず,これらの病理型と予後の関連を明らかにするには,さらなる症例の蓄積が必要である.
| No. | Author/ Year |
Age | Sex | Site | Size (mm) | Biopsy | Type | T | N | M | Stage | AFP producing component | Location of metastasis | Pathology of metastasis | Surgery | Chemotherapy | Prognosis |
|---|---|---|---|---|---|---|---|---|---|---|---|---|---|---|---|---|---|
| 1 | Okamoto18)/ 2003 |
78 | F | L | 90×60 | por | 5 | 3 | 2 | 0 | 3 | hepatoid | lymph node | choriocarcinoma | DG | (—) | 4Y6M dead |
| 2 | Suzuki19)/ 2012 |
83 | M | U | 110×75 | mod | 3 | 4 | 2 | 1 | 4 | hepatoid | * | * | TG | * | 0Y6M dead |
| 3 | Asakawa 16)/ 2012 |
69 | M | M | 90×55 | por | 3 | 3 | 2 | 1 | 4 | enteroblastic | liver and lymph node | neuroendocrine | TG | CPT-11+ CDDP |
1Y10M alive |
| 4 | Inamoto 17)/ 2013 |
59 | M | L | 40×20 | * | 3 | 3 | 0 | 1 | 4 | enteroblastic | liver | enteroblastic | DG | CPT-11+ CDDP |
3Y10M alive |
| 5 | Lipi20)/ 2014 |
50 | M | U | 85×65 | por | 5 | 4 | 3 | 0 | 3 | hepatoid | lymph node | hepatoid | TG | CDDP+ VP-16 |
0Y3M alive |
| 6 | Wincewicz21)/ 2015 |
73 | F | * | 60×40 | por | 3 | 3 | 3 | 1 | 4 | hepatoid | liver and lymph node | * | (+) | * | * |
| 7 | Iida22)/ 2017 |
55 | M | L | * | por | 3 | 4 | 2 | 1 | 4 | hepatoid | liver and lymph node | neuroendocrine | (−) | SOX | 0Y3M dead |
| 8 | Iida22)/ 2017 |
65 | M | L | 50×40 | adeno | 1 | 2 | 1 | 0 | 2 | hepatoid | lymph node | neuroendocrine | DG | * | * |
| 9 | Li23)/ 2018 |
60 | M | L | 35×30 | por | 5 | 2 | 1 | 0 | 2 | hepatoid | lymph node | hepatoid | DG | (—) | 0Y6M alive |
| 10 | Our case | 39 | F | L | 40×25 | mod | 2 | 2 | 0 | 0 | 1 | enteroblastic | (—) | (—) | PD | (—) | 1Y8M alive |
*: not described; TG: total gastrectomy; DG: distal gastrectomy; PD: pancreatoduodenectomy; Y: year; M: month
また,本例では腫瘍部近傍に限局性の異所性胃腺および異所性膵が見られた.これまでの報告では,びまん性の異所性胃腺はピロリ菌感染などの慢性炎症を背景として発生するとされ,胃癌の発生との関連が指摘されている25).本例の異所性胃腺は,幽門部に限局しておりびまん性には存在していない.また,非腫瘍部胃粘膜にピロリ菌像や腸上皮化生など慢性炎症所見を認めないことから,前述のびまん性の異所性胃腺とは発生機序が異なると考えられる.一方,異所性膵は胃粘膜下に異所性に膵組織を認めるものであり,前腸回転時に膵組織が迷入することにより生じると考えられている26)27).胃における異所性膵近傍の表層上皮では,異所性膵による外分泌のため炎症や潰瘍が発生することがあるとされており,時に胃癌の発生も報告されている28)~30).本例においても,異所性膵からの慢性的な膵液分泌が,胃粘膜上皮の癌化につながった可能性は 仮説の一つとして考えられる.しかし,異所性膵近傍に発生した胃癌の報告は少なく,今後症例の蓄積を待って検討する必要があると考える.また,異所性胃腺と異所性膵の併存に関してもこれまでに報告されており31),異所性胃腺の発生機序として,異所性膵に関連した慢性炎症に起因する可能性も考えられる,しかしながら,異所性胃腺,異所性膵ともに消化管発生異常により出現した可能性もあり,この点に関しても症例を蓄積し検討すべき課題であると考える.異所性胃腺と異所性膵の併存例において,その発生機序および悪性腫瘍との関連については,類似症例の集積と詳細な検討が望まれる.
利益相反:なし