2020 年 53 巻 4 号 p. 336-343
外傷性十二指腸損傷はその解剖生理学的要因から,単純縫合閉鎖のみでは高率に縫合不全が発生することが知られており,術式には種々の工夫を要する.今回,ワイヤーによる小児外傷性十二指腸損傷に対して十二指腸第II部部分切除術を施行した1例を経験したので報告する.症例は14歳の男児で,テニスの練習中にネットのワイヤーに上腹部を打ち付け当院に救急搬送された.来院時右上腹部に腹膜刺激症状を伴う強い圧痛を認めた.造影CTで外傷性十二指腸損傷,膵損傷を疑い,緊急手術を施行した.術中所見で十二指腸下行脚に亜全周性の長径10 cm弱の穿孔を認めたが,術中施行した膵管造影で主膵管の損傷は認めなかったため十二指腸第II部部分切除術を施行した.外傷性十二指腸損傷は診断や術式選択が容易でなく,術後合併症に難渋する場合がある.患者救命のためには,速やかに診断し,受傷早期に過侵襲とならない適切な手術を施行することが重要である.

Among the anatomical and physiological factors of traumatic duodenal injury, dehiscence is known to occur at a high incidence rate when only simple suture closure is performed. Various types of schemes are required for the surgical modality. We report the findings in a case of partial resection of the second portion of the duodenum for traumatic duodenal injury caused by a wire. The patient was a 14-year-old boy rushed to our hospital after he struck his upper abdomen on a net wire during tennis practice. At admission he had intense pressure pain accompanied by peritoneal irritation symptoms in the left upper abdomen. From the contrast-enhanced CT findings, traumatic duodenal and pancreatic injuries were suspected. Hence, an emergency surgery was performed. The intraoperative findings showed a slight subcircumferential perforation, 10 cm in diameter, in the second portion of the duodenum. Intraoperative pancreatic duct imaging revealed no injury of the main pancreatic duct. Partial resection of the second portion of the duodenum was performed. For traumatic duodenal injuries, diagnosis and the choice of surgical modality are not easy, and difficulties may be encountered due to postsurgical complications. To rescue such patients, rapid diagnosis and appropriate surgery in the early stage of injury must be performed to prevent over-invasion.
小児腹部外傷の特徴として,小児は腹壁が薄く,肋骨も軟らかく高い位置にあるため,腹壁外傷が軽微でも腹腔内の臓器を損傷している可能性がある.特に,高エネルギー外傷や自転車のハンドル外傷などのエネルギーが1点に集中する外傷では腹腔内臓器の損傷を常に念頭に置く必要がある1).今回,ワイヤーによる外傷性十二指腸損傷に対して十二指腸第II部部分切除術を施行した1例を経験したので報告する.
患者:14歳,男児
主訴:上腹部痛
既往歴:特記すべきことなし.
現病歴:テニスの練習中に全速力でボールを追いかけていたところ,ネットのワイヤーが剥き出しの部分に腹部を強打し当院に救急搬送された.
来院時現症:身長170 cm,体重60 kg.意識清明,体温35.5°C,血圧130/72 mmHg,脈拍75回/分,呼吸数10回/分,SPO2 97%(room air).上腹部にワイヤーによる圧痕を認めた(Fig. 1).腹部は軽度膨隆し,右上腹部に腹膜刺激症状を伴う強い圧痛を認めた.

Abdominal photograph on admission: impression by wire in upper abdomen.
検査所見: 白血球は9,500/μlと軽度上昇を認め,CRPは0.20 mg/dlと正常値範囲内であった.Hbは14.5 g/dlで貧血は認めなかった.T-Bilは0.70 mg/dlと正常値範囲内であったが,AST,ALTはそれぞれ43.0 U/l,36.0 U/lと軽度上昇を認め,ALPは673.0 U/lと上昇を認めた.AMYは74.0 U/lと正常値範囲内であった.また,LDH 350.0 U/l,CK 653.0 U/lと上昇を認めた.
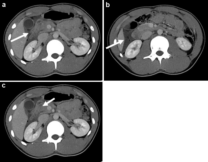
腹部ダイナミックCT所見:十二指腸下行脚に管腔構造の不明瞭化を認め(Fig. 2a),同部より外側にガス像を含む液貯留を認めた(Fig. 2b).膵頭部には断裂を疑う所見を認め,周囲脂肪織濃度の上昇を認めた(Fig. 2c).

Abdominal CT. a: The lumen structure of the second part of the duodenum is unclear. b: The arrow shows fluid and air collection. c: The pancreatic head was suspected of rupture, and the concentration of surrounding fat tissue is elevated.
以上より,外傷性十二指腸損傷,膵損傷を疑い,受傷3時間後に緊急開腹術を施行した.
手術所見:上腹部正中切開で開腹すると,肝下面,モリソン窩を中心に胆汁性腹水を大量に認めた.血性腹水は認めなかったが十二指腸周囲の後腹膜には気腫と血腫が大量に存在した.Kocherの授動を行い確認すると十二指腸下行脚に亜全周性の長径10 cm弱の穿孔(日本外傷学会臓器損傷分類2008消化管損傷d IIa(D2)RP(retroperitoneum))を認めた(Fig. 3a, b).肉眼所見上は明らかな膵損傷は確認できなかったが,術前診断では膵損傷の可能性も否定できなかったため穿孔部からその肛門側に位置するVater乳頭を同定しそこから4 Fr膵管チューブを挿入し術中膵管造影を施行し,明らかな主膵管の損傷がないことを確認した.十二指腸下行脚は挫滅が強くほぼ断裂に近い状態であったため,十二指腸第II部部分切除術を施行した.十二指腸-十二指腸吻合は端々吻合(手縫い,Gambee法)で行った.また,縫合不全発生に備え,膵管チューブとCチューブを留置し胃瘻腸瘻造設術を併施した.膵管チューブは吻合部を通し胃の大彎側前壁へ誘導した.ドレーンは十二指腸背側を通して肝下面に1本と肝曲結腸を授動した背側の後腹膜に広い範囲で血腫が存在したため開放し,開放した後腹膜腔に1本の計2本の閉鎖式ドレーンを留置し手術を終了した.手術時間は5時間28分,出血量は380 g(腹水含む)であった.

a: Intraoperative findings: perforation with a subtotal diameter of less than 10 cm in the second part of the duodenum. b: Schema of the duodenum.
術後:術後3日目に胃管を抜去し,術後5日目に腸瘻から経腸栄養を開始した.術後17日目に上部消化管造影を施行し,吻合部にリークや狭窄のないことと,正常な蠕動運動を確認し,術後18日目に食事を開始した.小児であり胃管の再留置は苦痛が強いと判断し通過障害がなく経口摂取がしっかりとできることを確認し術後32日目に胃瘻を抜去した.術後34日目に膵管チューブ,腸瘻を抜去した.術後35日目にCチューブをクランプしたところ肝胆道系酵素の上昇を認め,Cチューブ造影を行うと遠位胆管に狭窄を認めたため術後47日目に内視鏡的胆道ドレナージ(endoscopic biliary drainage;以下,EBDと略記)チューブを留置し,術後56日目に退院となった.術後7か月目に内視鏡的逆行性胆管造影(endoscopic retrograde cholangiography;以下,ERCと略記)施行し遠位胆管の狭窄の改善を確認しEBDチューブは抜去した.受傷1年を経過した現在,特に症状なく復学している.
小児腹部外傷の特徴として,小児は腹壁が薄く,肋骨も軟らかく高い位置にあるため,腹壁外傷が軽微でも腹腔内の臓器を損傷している可能性がある.特に,高エネルギー外傷や自転車のハンドル外傷などのエネルギーが1点に集中する外傷では腹腔内臓器の損傷を常に念頭に置く必要がある1).小児腹部外傷入院患者の損傷部位は浮山ら1)の160例の報告によると肝臓42例(26%),腎臓19例(12%),脾臓19例(12%),消化管15例(9.3%)であり,膵臓,膀胱,横隔膜がこれに続く.外傷性消化管損傷のうち十二指腸壁内血腫が9例(60%)を占め,十二指腸穿孔,破裂は2例(13%)であり,小児腹部外傷全体の1.25%(2/160)とまれであった.
十二指腸損傷の原因は刺創や銃創などの穿通性損傷と,交通外傷や労働災害による鈍性損傷がある2)が,本邦では圧倒的に鈍的損傷が多い.十二指腸損傷の発生には以下の三つの機序が考えられている3).①腹壁と脊柱の間に挟まれ,直達外力により損傷される.②幽門輪とTreitz靭帯部の2か所では内腔が狭いので,受傷の瞬間にこの間が閉鎖係蹄となり,内圧上昇により破裂穿孔する.③十二指腸が下方または内側に牽引されるか,あるいは総胆管が上方に牽引され,Vater乳頭部で離断する.本症例ではワイヤーとTreitz靭帯の間が閉鎖係蹄となり,その部分の十二指腸の内圧が受傷の瞬間に上昇したことで穿孔したと考えられる.小児では腹壁外傷が軽微でも腹腔内損傷に注意する必要があるが,本症例は定義上は14歳と小児ではあるが体格は成人並みに発達していたにもかかわらず十二指腸損傷を来しており,成人でも腹壁外傷が軽微であっても同様の機序で十二指腸損傷を来す可能性は十分に考えられ,注意が必要である.
今回,医学中央雑誌において「小児」,「外傷」,「十二指腸」をキーワードに,1964年から2019年の期間で検索し(会議録除く),詳細な報告があった12例4)~11)に自験例を加えた13例で検討した(Table 1).小児の十二指腸の穿孔・破裂部位としては,第II部から第III部に多く,後腹膜への穿孔・破裂の形をとることが多くあり6),今回の検討でも9例(69%)が第II部から第III部の穿孔であった.外傷性十二指腸損傷の受傷機転に関して安田12)は交通事故が44%と最も多く,圧挫,打撲,転倒がこれに続くと報告している.本検討でも交通事故によるシートベルト外傷と自転車のハンドル外傷がそれぞれ23%と最も多く,落下や空手中の外傷などがこれに続いている.本症例ではワイヤーが受傷機転となっているが,本症例のようにワイヤーによる十二指腸損傷の報告例は認めず,極めてまれな症例と思われる.術式に関しては今回の検討で十二指腸-十二指腸吻合を行った症例は本症例のみであった.
| No. | Author | Year | Age/Gender | Mechanism of injury | Injury type | Size (mm) | Surgical procedure | Prognosis |
|---|---|---|---|---|---|---|---|---|
| 1 | Takano4) | 1987 | 4/M | fall | IIa (D1) | 7 | simple closure+cholecystostomy | alive |
| 2 | Asakuno5) | 1988 | 7/M | playing by a seesaw | IIa (D3) | NA | simple closure | alive |
| 3 | Nishiyama6) | 1992 | 6/M | handle of a bicycle | IIa (D4) RP | NA | duodenum jejunum anastomosis | alive |
| 4 | Waku7) | 2004 | 8/F | fall | IIa (D1-2) | 55 | simple closure+gastrojejunostomy | alive |
| 5 | Iwasaki8) | 2007 | 8/M | handle of a bicycle | IIa (D2) RP | 5 | simple closure+omental patch | alive |
| 6 | Iwasaki8) | 2007 | 4/F | seat belt injury | IIa (D3) RP | 7 | simple closure+omental patch | alive |
| 7 | Murai9) | 2010 | 13/M | handle of a bicycle | IIa (D3) RP | 30 | simple closure+gastrostomy+enterostomy | alive |
| 8 | Murai9) | 2010 | 7/M | jumped from a swing | IIa (D2) RP | 25 | simple closure+gastrostomy+duodenostomy+cholecystostomy | alive |
| 9 | Nasu10) | 2017 | 10/F | seat belt injury | IIa (D2) RP | 8 | omental patch | alive |
| 10 | Nasu10) | 2017 | 14/M | kicked during karate | IIa (D2) RP | 3 | simple closure | alive |
| 11 | Nasu10) | 2017 | 14/M | hit during karate | IIa (D1) | 3 | omental patch | alive |
| 12 | Sato11) | 2018 | 12/M | seat belt injury | IIb (D1) | NA | gastroduodenostomy | alive |
| 13 | Our case | 14/M | wire | IIa (D2) RP | 100 | duodenoduodenostomy+C-tube drainage+P-tube drainage+gastrostomy+enterostomy | alive |
Romanら13)は受傷から手術まで6時間以上かかると縫合不全が増加し(2.9%→25%),24時間以上かかると死亡率が上昇する(5%→65%)と報告している.また,浦ら14)は,全層性十二指腸損傷11例の死亡率は42%と高率であったと報告しており,菊池ら15)は,受傷12時間以内の早期手術後の死亡率は22.2%で12時間以後の晩期手術後の死亡率は33.3%と報告している.つまり早期診断が非常に重要で,診断がついたら速やかに手術を行うことが救命につながると考えられる.
十二指腸損傷の特徴的な腹部所見はないが,多くの場合は上腹部痛を訴える.また,本症例に認められた腹部の打撲痕は外力の加わった方向の推測や,外傷の程度の指標になりうる.画像診断においては腹腔内遊離ガス像を認めるか,後腹膜気腫や後腹膜の液体貯留を同定することが重要である.CT所見として,後腹膜気腫,損傷部位の壁肥厚,後腹膜腔の液体貯留,右腎臓〜右腸腰筋周囲の脂肪組織や結合織の浮腫性変化が有用とされている16)17).CTは非常に有用であるが,受傷早期では異常所見を認めないか,確定診断に至らない場合があると指摘されている.山吉ら18)は,CTで十二指腸損傷を強く疑う異常所見検出率は受傷直後(2時間以内)で66%,6時間から18時間で100%であったと報告している.腹部外傷後のフォローアップCTで初めて十二指腸損傷が診断できたという報告が散見される.初診時に診断に至らなくとも,十二指腸損傷を疑った場合は経時的な画像フォローが重要である.
十二指腸は幽門とTreitz靭帯による閉鎖腔で内圧が上昇しやすく,胃液,胆汁,膵液など大量の消化液に曝露されるため,外傷性十二指腸損傷においては,単純縫合閉鎖のみでは高率に縫合不全を来してしまう19).それゆえ,術式についてはさまざまな工夫を要する.また,後腹膜腔に限局した病変の場合,確実にKocherの授動を行わないと損傷部を見落とす可能性があり,注意が必要である20).
術式選択として十二指腸破裂部位が小さく腸管周囲の挫滅が軽度な場合は,挫滅部位をデブリードマン後,単純縫合閉鎖するか単純縫合閉鎖後に空腸漿膜や大網で被覆補強する方法が勧められる.縫合によって狭窄を来す恐れがある場合や小児では破裂部を閉鎖せず空腸漿膜でパッチする方法(serosal patch)も勧められている21).一方破裂部や挫滅部が大きくまた汚染が進んでいる場合は,破裂部にRoux-Y吻合で修復する方法や,十二指腸損傷部(水平部の場合)を切除して十二指腸吻合で再建する方法などが提案される.さらに広範な十二指腸,膵臓損傷例では,膵頭十二指腸切除術の適応となることもある.しかし,小児に限っては外傷性十二指腸,膵損傷に対して膵頭十二指腸切除術を施行したという報告例は検索しえなかった.小児の健常膵はいわゆるsoft pancreasで外分泌能も高く,また主膵管は細く縫合するのが非常に困難であり,縫合不全などの合併率は高くなる.よって本術式の適応は慎重にするべきだろう.術後合併症予防のためには縫合部減圧を図ることは重要であり,胃管の留置のほか胃腸吻合,胃瘻または十二指腸瘻造設,Billroth II法による治療も行われている22).
十二指腸損傷の合併症として重要な因子に縫合不全があり,その発生率と死亡率は受傷から手術に至る時間経過と有意に相関する13).本邦でも縫合不全を併発したため,吻合部の減圧と安静を目的とした付加的手術を考慮すべきであったと反省する症例報告が散見される23)24).Snyderら25)は,①鋭的損傷または銃創,②D1・D2の75%以上の損傷,③胆管または膵損傷の合併,④受傷後24時間以上を経過した症例では,損傷部保護を目的とした付加手術を併施することを推奨している.また,井上ら26)はGrade III症例では全例で修復部の十分なドレナージ,腸瘻による栄養ルートの確保が肝要としている.本症例では,離断はしていなかったものの亜全周性に穿孔しており,穿孔部の挫滅も強かったため部分切除を施行し,両断端の血流が良好で物理的張力も軽微と判断して十二指腸端々吻合を選択したが,吻合部の縫合不全発生に備え,膵管チューブとCチューブを留置し胃瘻腸瘻造設術を併施した.
本症例は術後に遠位胆管の狭窄を来したが,外傷による胆管損傷に続発して生じる良性胆管狭窄と診断し,EBDチューブを留置した.外傷性胆管狭窄は外傷により胆管が損傷し,その治癒過程の瘢痕化で狭窄が生じるとされている27).胆管狭窄が良性疾患に起因することが診断できれば,狭窄部に対する治療は主に内視鏡的に行われる28).約3か月間のチューブ留置と比較的長期の治療が必要となるが,狭窄部を拡張した状態で再度瘢痕化させることによりチューブ抜去後も再狭窄なく経過することが可能とされている29).本症例では約5か月間チューブ留置後にEBDチューブを抜去し,再狭窄なく経過している.
本症例が良好な経過を辿った理由としては,受傷後の時間経過が短かったことや,循環動態が保たれており,合併損傷臓器が少なかったこと,年齢が若く組織の柔軟性が高く,断端の血流が良好であったこと,損傷部保護を目的とした付加手術を併施したことなどが考えられる.患者救命のためには,速やかに診断し,受傷早期に過侵襲とならない適切な手術を施行することが重要である.
利益相反:なし