2020 年 53 巻 6 号 p. 512-517
症例は76歳の女性で,心窩部痛を主訴に当院救急外来を受診した.白血球およびアミラーゼ,リパーゼの上昇が見られ,腹部CT上,左腎下極に腸間膜脂肪織濃度上昇を認めた.異所性膵膵炎を疑われて入院となり,保存的加療が開始された.入院2日後から腹痛の最強点は右側腹部に移動し,炎症反応の増悪を認めた.CT上,腸間膜脂肪織濃度上昇は右側腹部に移動し,腹水も出現したため,急性腹症の診断で当科紹介となり,同日緊急手術を施行した.Treitz靭帯より20 cm肛門側の部位から30 cm長にわたる,小腸間膜の色調変化と血腫形成を認めた.小腸憩室炎による腸間膜穿通を疑い,小腸部分切除および腸間膜内血腫切除術を施行した.病理学的には空腸憩室近傍に発生して憩室内に開口部を持ち,急性出血性膵炎を発症した異所性膵であった.
A 76-year-old woman was admitted to our hospital with epigastric pain. Laboratory tests revealed white blood cell count, serum amylase, and lipase were elevated. Abdominal CT showed mesenteric edema below the left kidney without continuity to the normal pancreas. Ectopic pancreatitis was suspected and she was hospitalized. Two days after admission, the abdominal pain moved to the right abdomen and exacerbated inflammatory response in blood examination. On abdominal CT, the mesenteric edema moved to the right upper part of the abdomen and a high-density area associated with bleeding was observed inside. Ascites also appeared. Therefore, she was referred to our department, and emergency surgery was performed on the same day. A change in color of the jejunal mesentery and hematoma formation could be observed at 20 cm to 50 cm on the anal side of the ligament of Treitz. We suspected mesenteric penetration due to jejunal diverticulitis, and performed resection of the mesenteric hematoma and the segment of jejunum. Pathologically, the ectopic pancreas developed near the jejunal diverticulum, and had a ductal orifice to the diverticulum, causing acute hemorrhagic pancreatitis.
異所性膵は胃,十二指腸,メッケル憩室などによく見られ,大部分が無症状で経過するとされている1)~4).今回,我々は空腸憩室近傍に発生し,急性出血性膵炎を来した異所性膵に対して緊急手術を施行したので報告する.
患者:76歳,女性
主訴:心窩部痛
家族歴:特記事項なし.
既往歴:高血圧,脂質異常症
40歳代で鼠径ヘルニアに対して小腸部分切除術およびヘルニア根治術
70歳代で脳動脈瘤に対して血管内治療
飲酒歴:なし.
現病歴:以前より時折心窩部痛はあったが,自然軽快するため経過観察していた.受診日前日夜から心窩部痛が出現し,改善しないため当院救急外来受診した.採血上,白血球数および血清アミラーゼ値が高値であり,腹部単純CTにて左腎下極付近の腸間膜脂肪織濃度上昇を認めた.腹痛最強点と部位は合致しないが,異所性膵膵炎,腸間膜脂肪織炎なども鑑別に挙げられたため,経過観察目的に当院消化器内科入院となった.
入院時現症:体温36.3°C.血圧146/83 mmHg,脈拍75回/分,SpO2 96%(室内気).心窩部に軽度の圧痛を認めた.
入院時血液検査所見:WBC 8,930/μl,血清アミラーゼ570 mg/dlと軽度の上昇を認めた.また,入院3日目に報告されたリパーゼ値は884 U/lと高値であった.
入院時腹部単純CT所見:左腎下極付近の腸間膜脂肪織に濃度上昇を認めたが,膵臓との連続性は見られなかった(Fig. 1).腹水,free airは見られなかった.

CT scan upon admission revealed mesenteric edema below the left kidney (a) without continuity to the normal pancreas (b).
入院後経過:蛋白分解酵素阻害剤および抗生剤投与にて,腹痛は自制内で経過していたが,入院翌日夜間より症状の増悪を認め,嘔吐も出現した.入院3日目朝に採血および腹部造影CTを施行した.採血上,血清アミラーゼ値は188 mg/dlと低下しており,Hb 14.7 g/dlと貧血の進行も見られなかったが,WBC 18,910/μl,CRP 21.97 mg/dlと炎症所見の増悪を認めた.また,腹部造影CT上,腸間膜脂肪織に見られた濃度上昇は範囲を拡大して右側腹部に移動し,内部に出血を疑うhigh density areaが認められた.また,腹水も出現していた(Fig. 2).左腎下極付近の腸間膜脂肪織濃度上昇は消失していた.

Two days after admission, the mesenteric edema moved to the right upper part of the abdomen and a high-density area associated with bleeding was observed inside. (a)Ascites also appeared around the liver (b).
以上より,急性腹症の診断にて当科紹介となり,同日緊急手術を施行した.
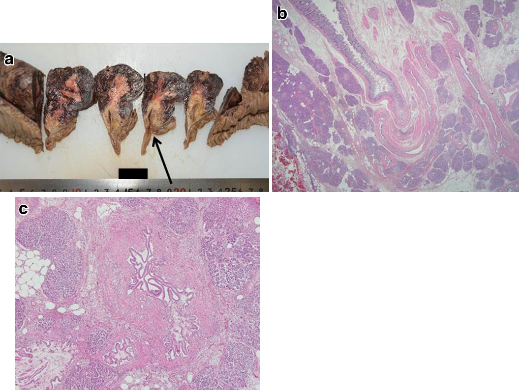
手術所見:上腹部正中切開にて開腹した.暗赤色の腹水が少量見られ,右上腹部に塊状となった空腸および腸間膜内血腫を認めた(Fig. 3a).トライツ靭帯から20 cm肛門側の部位から30 cm長にわたって間膜内血腫を含めて空腸を切除し,腸管吻合を施行した.

Hematoma was performed in the mesentery of the jejunum (a) and there was an opening of the diverticulum inside the hematoma (b).
摘出標本所見:空腸を切開したところ,粘膜面に血腫と連続する憩室を認め(Fig. 3b),空腸憩室炎の腸間膜穿通を考えた.
病理組織学的検査所見:空腸憩室の先端部周囲に白色調を呈する膵組織がみられ,その外側は血腫で囲まれていた(Fig. 4a).憩室は仮性憩室であり,その漿膜下層に腺房,導管,ランゲルハンス島が確認された(Fig. 4b).導管開口部は憩室内に認められた.膵組織内および周囲には好中球浸潤および間質の浮腫,出血も見られた(Fig. 4c).以上より,空腸憩室近傍に発生したHeinlich I型の異所性膵が出血性膵炎を来したものと診断した.膵組織は2×6×10 cm大であり,切除断端は陰性,悪性所見は見られなかった.

Macroscopically, the cut surface of the mesentery mass contained a white and blood-red area (a). Histologically, it was ectopic pancreas tissue with infiltration of inflammatory cells and bleeding (HE, ×12.5) (b). It contained acinar structure, ducts and Langerhans islets (HE, ×40) (c).
術後経過:良好にて術後9日で退院となった.術後1か月の時点で腹部症状の再燃は見られていない.
異所性膵は,本来の膵臓とは異なる部位に存在する膵組織であり,膵臓とは解剖学的に連続を持たないものとされている2)4).胎生期に背側膵が遺残または迷入することで発生し,組織学的には,膵ランゲルハンス島,腺房,導管が揃ったHeinlich I型,腺房,導管を持つII型,導管のみのIII型の3型に分類される3).本症例を含め,異所性膵膵炎の既報告例は全てHeinlich I型であった1)2)5)6).
また,空腸憩室は中年男性に多くみられる疾患であり,その頻度は比較的まれである7)8).腸管壁の脆弱部位から粘膜が脱出することによって,腸間膜側に仮性憩室として発生するものが大半であるとされるが,異所性膵によって牽引性に発生したことを示唆する報告もある9).定説では牽引性憩室は真性憩室であるが,本症例は筋層および漿膜を欠く仮性憩室であり,憩室壁内,漿膜下層に異所性膵が発生した可能性がある.なお,異所性膵の発生部位について,空腸は15%,腸間膜内異所性膵は0.8%と報告されている10).空腸憩室内に発生したという報告は見られなかった.
本症例の術前診断は急性腹症であり,術中診断は憩室炎の腸間膜穿通であったが,病理所見において小腸異所性膵膵炎と判明した.近年,術前に異所性膵と診断しえた報告が増加しているが2)4)5),いずれの症例も膵組織の最大幅が4 cm以上であり,画像上も特徴的な分葉構造や慢性炎症を示唆する石灰化などを伴っていた.本症例が術前診断困難であった原因は,CT上,出血によるhigh densityのため異所性膵組織が同定困難であったこと,および異所性膵組織が空腸憩室近傍に存在したため,腸間膜内の炎症性病変と判断したことが挙げられる.本症例同様に小腸穿孔による腸管膜内膿瘍形成と術前診断された異所性膵の1例も,術前CTで異所性膵組織が同定困難であったと報告されている7).また,異所性膵は消化管粘膜および粘膜下層に存在することが多く3),本症例の所見は非典型的であり,結果として診断に難渋したものと思われる.
術前に異所性膵膵炎を示唆する所見として,血清アミラーゼおよびリパーゼ値の上昇が挙げられる.この値は蛋白分解酵素阻害剤および抗生剤投与にて低下傾向にあったが,身体および画像所見が増悪したため手術を施行した.有症状異所性膵の治療方針はいまだ定まっていないが,腸重積や腸閉塞を来した症例,保存的加療にて軽快するが膵炎再発を繰り返す症例,また悪性転化の可能性を懸念する場合2)4)11)~13)には手術が施行されている.保存的加療に反応良好な症例に対しては待機的に低侵襲手術を行いうるが,本症例は保存的加療に反応不良で出血を来しており,緊急に対応するべきものと考えた.
医学中央雑誌で「小腸」,「異所性膵」,「膵炎」をキーワードに1964年から2018年まで,会議録を除いて検索を行ったが,小腸異所性膵膵炎としては5例目であった.空腸憩室の壁内発生が示唆されうる例および,出血を来して緊急手術となった例は我々の検索しえた範囲では1例も見られなかった.本症例の経過は非常にまれなものであり,また異所性膵膵炎に対しても増悪時には緊急手術が有用であると考え報告する.
利益相反:なし