2020 年 53 巻 6 号 p. 481-486
症例は84歳の男性で,食後の腹痛を主訴に当院を受診した.既往として6年前に胃癌で幽門側胃切除術,Roux-en-Y再建,1年前に胆囊結石,総胆管結石,傍乳頭十二指腸憩室症候群で胆囊摘出術,胆管十二指腸吻合術を施行されていた.腹部MRIで輸入脚内に低信号の構造物を認め,結石の嵌頓による輸入脚症候群と診断し,緊急手術を施行した.上腹部正中切開で開腹,Treitz靱帯より5 cm肛門側の空腸に結石を触知した.空腸の一部に切開を加え摘出,単純縫合で閉鎖した.術後23日目に軽快退院した.摘出された結石はステアリン酸カルシウムが主成分であった.ステアリン酸カルシウムは胆囊結石のうち,ビリルビンカルシウム石に比較的多く含有されるほか,服用薬で酸化マグネシウムに含有されていた.本例は胃石を核として周囲にステアリン酸カルシウムが沈着したものと考えられた.胃石由来のステアリン酸カルシウム腸石による輸入脚症候群は非常にまれな疾患であるので報告する.
An 84-year-old man was admitted to our hospital complaining of postprandial abdominal pain. He had undergone distal gastrectomy and Roux-en-Y reconstruction for gastric cancer six years previously, and cholecystectomy and bile duct duodenal anastomosis for cholecystolithiasis, choledocholithiasis, and parapapillary duodenal diverticulum syndrome one year previously. Abdominal MRI revealed a low-signal structure in the afferent loop, and the patient was given a diagnosis of afferent loop syndrome due to incarceration of a calculus. Emergency surgery via an abdominal midline incision was performed. A calculus was palpable in the jejunum 5 cm from the ligament of Treitz on the anal side. An incision was made in this portion of the jejunum, and the jejunum was excised and closed with simple sutures. The patient was discharged from hospital 23 days after surgery. The excised calculi were mainly composed of calcium stearate. The calcium stearate was relatively high in bilirubin calcium among bile stones and was also included in the magnesium oxide that the patient had been taking. We considered the calcium stearate in this patient to have been deposited around a gastrolith as the nucleus. We report a case of afferent loop syndrome caused by bezoar-derived enterolithiasis comprised of calcium stearate as this is a very rare disease.
胃切除術後に生成された胃石の報告数は,内視鏡検査や画像検査の進歩により近年増加傾向にある.胃石の生成の原因としては食事摂取後の胃内容物の排出遅延にあるとされ,胃切除術や選択的迷走神経切除術などの既往により胃蠕動が低下すること,塩酸・ペプシン分泌低下による摂取食物の鬱滞,幽門括約筋作用の消失による摂取食物の不十分な混合にあるとされる1)2).その胃石が小腸内に落石することによる腸閉塞の発生率は8~34%とされ,比較的高率である3).
今回,我々はステアリン酸カルシウムを主成分とする胃石の十二指腸嵌頓による輸入脚症候群を来したと考えられる1例を経験したため報告する.
患者:84歳,男性
主訴:腹痛
既往歴:6年前,胃癌(幽門側胃切除術,Roux-en-Y再建後),1年前,胆囊結石,総胆管結石,傍乳頭十二指腸憩室症候群(胆囊摘出術,胆管十二指腸吻合術)(Fig. 1)

Schema of distal gastrectomy in this patient undergoing bile duct duodenostomy after Roux-en-Y reconstruction.
家族歴:特記事項なし.
内服歴:ラベプラゾールナトリウム10 mg 1錠分1,ウルソデオキシコール酸100 mg 3錠分3,ゾピクロン7.5 mg 1錠,酸化マグネシウム330 mg 2錠分2(12か月間内服),サナクターゼ3カプセル分3.
現病歴:食後に生じた心窩部痛が徐々に増悪したため当院救命救急センターを受診した.十二指腸の閉塞および膵アミラーゼ高値にて当科へ紹介となった.
来院時現症:体温36.3°C,血圧:137/77 mmHg,脈拍:55回/分,SpO2:98%(room air),眼瞼結膜に蒼白なし,眼球結膜に黄染なし,腹部は平坦,軟で心窩部に圧痛および反跳痛を認めた.
来院時検査所見:血液検査にて,血算に異常なく,生化学検査では肝胆道系酵素は正常範囲内であった.血清アミラーゼが2,222 U/lと上昇,クレアチニンが1.06 mg/dlと軽度腎機能障害を認めるのみでCRPも陰性であった.
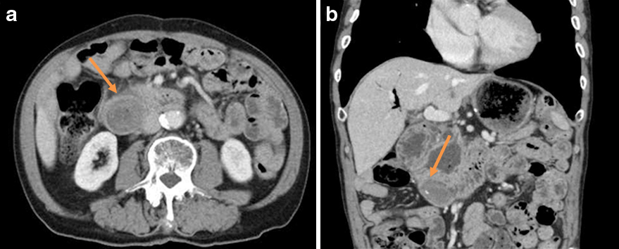
腹部造影CT所見:十二指腸内にやや低吸収の類円形の構造物を認めた(Fig. 2a, b).また,冠状断で傍乳頭憩室の軽度の拡張を認めた.しかし,その盲端側の拡張などは認めず,膵周囲の脂肪織濃度の上昇なども認めなかった.

Abdominal enhanced CT revealed a round structure at the site of the Roux-en-Y anastomosis (orange arrows) (a, b).
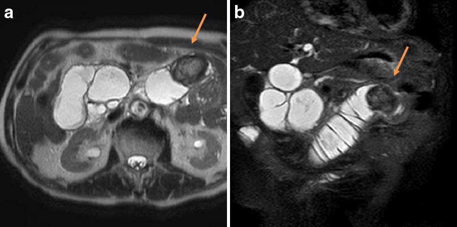
腹部MRI所見:T2強調画像では,Y脚内に周囲がやや低信号で中心が高信号の類円形の構造物を認め,結石の存在が示唆された(Fig. 3a, b).結石はCT撮像時からの時間経過に伴い肛門側へ移動していた.

Abdominal T2-weighted MRI image showed a round structure with low signal intensity on the lateral side and high signal intensity on the internal side at the site of the Roux-en-Y anastomosis (a, b).
発症の6か月前の上部消化管内視鏡検査では,残胃にスコープの接触により容易に崩壊する胃石が指摘されていた(Fig. 4).また,その5か月前に施行されたCTでは,胃内には食物残渣が確認されたものの明らかな結石などは指摘できず,十二指腸憩室内には結石や残渣の貯留なども指摘されなかった.十二指腸胆管吻合術前の内視鏡的逆行性膵胆管造影(endoscopic retrograde cholangiopancreatography;以下,ERCPと略記)の際にも明らかな十二指腸憩室内結石は指摘されていなかった.

Gastrointestinal fiberscopy performed six months before our procedure revealed the presence of a small and soft gastrolith that contained water.
以上より,胃石の十二指腸嵌頓による輸入脚症候群の診断で緊急手術の方針とした.
手術所見:上腹部正中切開で開腹した.トライツ靭帯より5 cm肛門側に結石と思われる腫瘤を触知し,これをY脚近傍まで用手的に誘導した(Fig. 5a).Y脚に2 cmの縦切開を加え,結石を摘出した(Fig. 5b).摘出した結石は淡い緑色を呈しており,大きさは45×35 mmであった.切開部分はAlbert-Lembert吻合で閉鎖し,手術を終了した.

We performed a laparotomy and found a spherical structure 5 cm on the anal side of the ligament of Treitz (a). We brought it to the site of the Roux-en-Y anastomosis and made an incision in the intestinal wall about 2 cm before the site to remove the stone (b).
結石成分分析:構成成分の98%以上がステアリン酸カルシウムであった.
術後後期ダンピング症候群などを併発したが23日目に経過良好にて退院となった.酸化マグネシウムは内服薬の中で唯一添加物としてステアリン酸カルシウムが含有されていたため,結石成分鑑定の結果が判明した術後6日目より中止した.現在術後2年6か月を経過し,再発兆候を認めない.
胃石とは経口摂取物が胃内で不溶性の凝集塊となったものと定義されている4).その種類は野菜や果物の食物線維によって形成される植物胃石,毛髪胃石,乳製品による胃石,薬剤性胃石,紙や砂によるものなど多岐にわたる5).本邦では柿に含まれる成分であるシブオールによる植物胃石が全体の70%を占めるとされる3).胃石生成の原因としては,食事摂取後の胃内容物の排出遅延にあるとされ,胃切除術や選択的迷走神経切除術などの既往により胃蠕動が低下すること,塩酸・ペプシン分泌低下による摂取食物の鬱滞,幽門括約筋作用の消失による摂取食物の不十分な混合にあるとされる1)2).本症例では,後期ダンピング症候群を来すほど食事の摂取速度が速かった.そのため,胃内容物の混合が不十分であった可能性は高いと考えられる.
本症例では,内服薬の中で唯一酸化マグネシウム錠にステアリン酸カルシウムが含有されていた.酸化マグネシウムの内服が原因の腸閉塞は,1日3 gの酸化マグネシウムを30年間内服し形成された腸石による直腸閉塞と,1日20 gの酸化マグネシウム内服に伴う小腸閉塞が2例の報告されており,ともに腸石の構成成分は酸化マグネシウムであった6)7).また,ステアリン酸カルシウムは,ビリルビンカルシウムを主成分とする胆石に比較的多く含まれ,人体内で細菌感染をおこした胆汁内では,胆汁中に含まれるリン脂質からphospholipase A2(以下,PLA2と略記)活性をもつ細菌により産生される8).総胆管結石の成分分析の結果ではあるが,胆石中のステアリン酸カルシウムを含む,脂肪酸カルシウム石の頻度は2.5%とされ,まれな結石である9).本症例は胆管十二指腸吻合を施行されており,その際の入院の術後経過中に胆管炎を発症している.そのことを考慮すると,通常よりも胆汁中の細菌量が多いことが予想され,細菌中のPLA2により遊離脂肪酸が作られ,それが主乳頭まで流れることで,エンテロキナーゼによりトリプシンへ変化したトリプシノーゲンが細菌由来のPLA2活性をさらに上昇させ,また膵液中のPLA2活性も上昇させることで,胆汁中リン脂質のステアリン酸カルシウムを含む遊離脂肪酸への分解を促進させたと考えられる10).今回の結石は,MRIにおいて結石周囲が低信号で中心が高信号であったことを考えると,水分を多く含む食物残渣による胃石を核として逆蠕動で十二指腸内へ運ばれた胃石が,十二指腸内で胆汁由来のステアリン酸カルシウムがさらに沈着し増大することで形成されたと考えられる.また,酸化マグネシウムから析出したステアリン酸カルシウムの沈着も結石形成に関与した可能性がある.
また,胃石による輸入脚症候群は,1970年から2018年10月までの医学中央雑誌で「胃石」,「輸入脚症候群」をキーワードに検索すると2例の報告を認めるのみで,また,我々の検索した範囲ではステアリン酸カルシウムを主成分とした胃石の報告は認めなかった.
胃切除術後の輸入脚症候群は,Billroth-II法やRoux-en-Y再建後に輸入脚が何らかの原因で閉塞を来すことで発症するまれな合併症であり,B-II法で0.3~1.0%,R-Y法で0.2~0.68%とする報告がある11)~13).輸入脚閉塞の原因は内ヘルニアによるものが最多で28.6%,次いで癒着・屈曲,捻転の順に多く,腸石によるものが3.3%とされる14).腸石による輸入脚閉塞症の報告では,胆道結石が輸入脚内で停滞し増大したものと15),十二指腸憩室結石の落石嵌頓によるものが報告されている16).本症例でも以前より十二指腸憩室を指摘されていた.しかし,今回の輸入脚症候群発症の1年前のERCPでも,11か月前のCTでも,明らかな十二指腸憩室内結石を指摘されておらず,今回の原因の結石は,腸石よりは食物などの物理的接触により崩壊した胃石の一部が落石し,十二指腸に逆蠕動で運ばれたものと考えられる.
胃切除術後に発生する胃石は,発見後速やかに内視鏡的に破砕を試みることがその後の腸閉塞や本症のような輸入脚症候群の予防になると考えられるが,破砕の際は,破片も可及的に体外に摘出できるよう準備をして臨むことが肝要と考えられる.
利益相反:なし