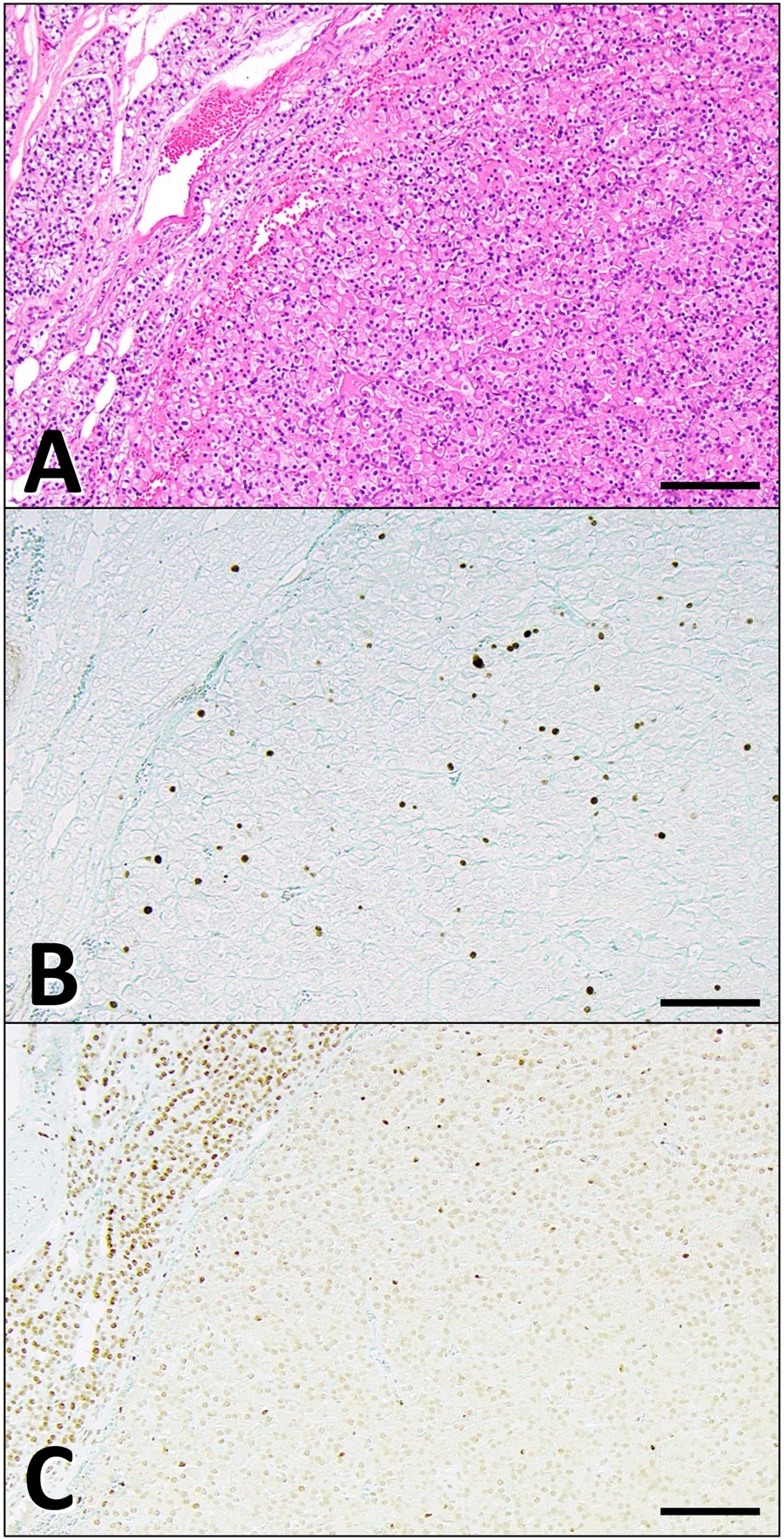
High-resolution spatial transcriptomics has emerged as a powerful approach for linking genome-wide gene expression with preserved tissue architecture, enabling new insights into cellular heterogeneity and microenvironmental organization in complex tissues. In neuropathology, where morphological context is central to disease interpretation, these technologies are particularly appealing. Using glioblastoma multiforme (GBM) as a representative and highly heterogeneous model, this review critically evaluates the strengths and limitations of high-resolution spatial transcriptomic platforms in relation to classical histochemistry and cytochemistry. Illustrative analyses of human GBM tissue demonstrate that spatial transcriptomics robustly captures disease-relevant gene expression patterns and enables comprehensive mapping of key pathological features, including pseudopalisading necrosis, aberrant tumor vasculature, and therapy-resistant tumor niches. When integrated with histopathological observations, spatially resolved transcriptomic data can generate biologically meaningful hypotheses, offering insight into immune suppression, and proliferative signaling networks. These examples underscore the potential of spatial transcriptomics to bridge morphology and molecular biology, thereby expanding the conceptual framework of histopathological research. At the same time, spatial transcriptomic data should not be regarded as a replacement for direct microscopic evaluation. Limitations in morphological fidelity, lack of subcellular resolution, indirect inference of functional states, and reliance on computational interpretation necessitate careful integration with established histochemical and immunohistochemical methods. Without a solid foundation in tissue and cellular morphology, spatial transcriptomic findings may be misinterpreted or overstated. Collectively, this review emphasizes that spatial transcriptomics and histochemistry are complementary approaches, whose effective integration depends critically on rigorous histochemical knowledge to ensure accurate pathological interpretation and translational relevance.
DNA methylation is a key epigenetic modification that regulates transcriptional activity and is frequently altered during carcinogenesis. To elucidate how cytosine methylation becomes selectively localized to CpG loci during tumor development, we analyzed sequential renal lesions induced by streptozotocin (STZ) in rats. Using microdissection combined with an agarose-bead-based bisulfite sequencing method, the methylation status of the p16Ink4a promoter region was examined from early Armanni-Ebstein lesions through renal cell carcinomas. In early and advanced tubular lesions, cytosine methylation occurred non-selectively at both CpG and non-CpG (CH) sites, whereas in small renal tumors and carcinomas, methylation was progressively restricted to CpG loci. Immunohistochemistry demonstrated strong nuclear expression of p16Ink4a in early lesions, suggesting that active transcription persisted at least until this early stage before the onset of epigenetic silencing. Concomitant expression of Dnmt3b and Dnmt1 was observed, supporting their cooperative involvement in de novo and maintenance methylation, respectively. Notably, the analyzed region overlapped with a CpG-rich segment within the gene body of the alternatively spliced p14Arf gene, which completely fulfill the structural prerequisites for Dnmt3b-mediated methylation. In conclusion, our findings suggest that Dnmt3b-dependent de novo methylation is preferentially initiated within transcriptionally active, CpG-rich regions and subsequently refined to discrete CpG loci as neoplastic transformation advances. This stepwise process provides a mechanistic basis for the selective accumulation of DNA methylation during tumorigenesis and highlights its potential utility as an early epigenetic biomarker of cancer development.
Ampullary carcinoma exhibits marked histological heterogeneity. Although genetic alterations partially account for this diversity, the contribution of epigenetic regulation remains largely unexplored. To elucidate the epigenetic alterations underlying this phenotypic heterogeneity, we investigated methyl-CpG–binding protein 2 (MeCP2) and its downstream target CDX2, and versican (VCAN), a major extracellular matrix proteoglycan implicated in tissue remodeling and tumor–stroma interactions. Seventeen surgically resected cases were analyzed using an integrative approach combining immunohistochemistry, spatial transcriptomics, methylation mapping, electrophoretic mobility shift assays (EMSA), and bioinformatic profiling. In non-neoplastic mucosa, MeCP2 and CDX2 showed reciprocal nuclear expression, a relationship partially preserved in differentiated adenocarcinomas. Spatial transcriptomics identified VCAN as a key MeCP2-associated target gene. Unexpectedly, VCAN, although detectable in MeCP2-negative carcinoma cells, was abundantly expressed in MeCP2-positive cancer-associated fibroblasts (CAFs). Notably, such transcriptional activation by MeCP2, rather than repression, has been reported in neural tissue by previous studies, indicating a conserved mechanism of context-dependent gene regulation. EMSA further demonstrated that hydroxymethylated CpG sites within the VCAN promoter specifically recruited MeCP2, which interacted with CREB to activate VCAN transcription. These findings reveal a dual role of MeCP2: its loss contributes to epithelial heterogeneity, whereas its retained function in CAFs promotes stromal remodeling through VCAN activation.
Cancer cells escape immune surveillance by suppressing immune responses through the binding of Programmed cell Death-Ligand 1 (PD-L1), which is abundantly expressed on the cell surface, to PD-1 on the surface of T cells. The regulation of cell surface PD-L1, one of these immune checkpoint molecules, is extremely important because it is a target for cancer immunotherapy; however, the intracellular trafficking pathway of PD-L1 has not been fully elucidated. Recently, we reported that Rab10, a small GTPase, localizes to a novel tubular endocytic pathway that evades the lysosomal degradation system. In this study, using live cells expressing GFP-PD-L1 and mScarlet-Rab10, we revealed that PD-L1 localizes in Rab10-positive endocytic tubules in some types of cancer cells. Typically, in HeLaM cells, Rab10-positive tubular structures of which membranes have PD-L1 extend from the plasma membrane toward the cell-central region. However, in Rab10-knockout HeLaM cells, no PD-L1-localized tubular structures were observed. We also found that PD-L1 dimerized by the PD-L1 inhibitor BMS-202 was removed from the cell surface and Rab10-positive tubular endosomes and transported to the lysosomal degradation system. Taken together, this study provides novel insights that the Rab10-dependent tubular endocytic pathway may play an important role in the intracellular reservoir and recycling of PD-L1 to the surface of cancer cells, possibly regulating the amount of PD-L1 on the cell surface.
Clear cell foci (CCF) are frequently observed in metabolic dysfunction–associated steatohepatitis (MASH) and are considered potential precursor lesions of hepatocyte nuclear factor 1α–inactivated hepatocellular adenoma (H-HCA). To clarify their chronological development, we examined 55 male TSOD mice at 24, 32, 40, and 48 weeks of age using histology and immunohistochemistry for glutamine synthetase (GS), liver fatty acid–binding protein (L-FABP), β-Klotho, and fibroblast growth factor 21 (FGF21). CCF first appeared at 24 weeks and increased markedly with age (from 11% to 81%). All CCF were positive for β-Klotho, and a subset showed FGF21 expression, indicating that CCF represent a hepatocellular state associated with metabolic dysregulation. H-HCA, characterized by GS negativity and reduced L-FABP expression, emerged at 40 weeks and reached an incidence of 29% at 48 weeks. Notably, multiple H-HCA were partially or completely surrounded by β-Klotho–positive CCF, suggesting a morphologic continuum from CCF to H-HCA. Raman spectroscopic analysis demonstrated that CCF exhibit prominent autofluorescence and possess spectral characteristics distinct from both background hepatocytes and tumor tissue, supporting the concept that CCF represent a unique hepatocellular state. These findings indicate that metabolic abnormalities in TSOD mice promote the sequential formation of CCF and H-HCA, establishing this model as a useful platform for studying adenoma development in metabolic liver disease.
Spatial Transcriptomics Meets Histochemistry: Insights from Glioblastoma as a Model System
公開日: 2026/02/27 | 59 巻 1 号 p. 1-11
Syuri Tomioka, Riko Kitazawa, Ryuma Haraguchi, Yuki Takaoka, Akihiro Inoue, Sohei Kitazawa
Vitamin D and the Host-Gut Microbiome: A Brief Overview
公開日: 2020/06/26 | 53 巻 3 号 p. 33-42
Nuraly S. Akimbekov, Ilya Digel, Dinara K. Sherelkhan, Afzalunnessa B. Lutfor, Mohammed S. Razzaque
Intracellular Localization of PD-L1 in Rab10-positive Open Tubular Endosome System of Cancer Cells
公開日: 2026/02/27 | 59 巻 1 号 p. 49-57
Risa Yamada, Rentaro Sakamoto, Katsuhisa Kawai, Youhei Egami, Nobukazu Araki
Clear Cell Foci as Precursors of Hepatocyte Nuclear Factor 1-alpha–inactivated Hepatocellular Adenoma in a Metabolic Syndrome Mouse Model
公開日: 2026/02/27 | 59 巻 1 号 p. 59-68
Orgil Jargalsaikhan, Mayuko Ichimura-Shimizu, Wenhua Shao, Hirohisa Ogawa, Shotaro Tachibana, Shinichiro Yamada, Mitsuko Sutoh, Hirosuke Tawara, Shogo Kawashima, Takeo Minamikawa, Koichi Tsuneyama
Reflections on the Principles of Fixation in Histochemistry and Cytochemistry: With a Special Focus on Immunohistochemistry and In Situ Hybridization
公開日: 2025/04/26 | 58 巻 2 号 p. 31-43
Takehiko Koji