2015 Volume 21 Issue 4 Pages 573-581
Ultra-high temperature (UHT) and retort processes are widely applied in the sterilization of liquid enteral formulae. This study investigated the effects of sterilization process on the physicochemical and nutritional properties of a liquid enteral formula. An ingredient mixture was sterilized by either UHT processing at 150°C for 5 s, or retort processing at 121°C for 10 min (retort A) or 121°C for 40 min (retort B). In vitro assays showed less protein modification in the UHT formula than in either retort formula. In vivo assays also demonstrated that net protein utilization was greatest with the UHT formula, and cecal nitrogen and ammonia concentrations in rats fed the UHT formula were lower than in rats fed either retort formula. These results indicate that the sterilization process affects the protein quality of the formula as well as the intestinal environment of rats fed the formula.
In recent years, the number of elderly individuals requiring nutritional care has increased in parallel with the world's aging population, including in Japan. Various enteral formula products have been developed to maintain an adequate nutritional status in the elderly. Enteral formulae are also used as a nutritional source for patients with various disorders. Therefore, these products must have a high standard of hygienic quality. To ensure a high level of microbial safety in enteral formula products, sterilization is generally performed during the production process using widely applied methods such as ultra-high temperature (UHT) or retort processing.
In UHT processing, the enteral formula is heated at a high temperature for a few seconds and packaged under aseptic conditions. In contrast, in retort processing, the enteral formula is packaged in a thermally resistant container and heated at a high temperature for minutes. The time required for retort sterilization is clearly much longer than for UHT sterilization. Generally, the temperature required for retort sterilization is lower than for UHT sterilization.
Heat treatment stimulates the Maillard reaction in milk and dairy products, which is related to the heating temperature and duration (van Boekel, 1998). Because the amino group of amino acids, especially lysine, is blocked by the reducing sugar in the Maillard reaction (Rufián-Henares et al., 2006; van Boekel, 1998), it is thought that heat treatment affects protein quality (Desrosiers and Savoie, 1991; Kilshaw et al., 1982; Rutherfurd and Moughan, 2005; Sarwar et al., 1988).
In fact, Sarwar et al. (1989) investigated the protein quality of commercial infant formulae manufactured by different production processes in a rat study, and found that the digestibility and protein efficiency ratio of the liquid formula were lower than those of the powder. In contrast, Sarriá et al. (2000) investigated the protein quality of various commercial formulae, including a powdered form, an in-bottle-sterilized form and a UHT form, and reported no remarkable differences in product digestibility and protein utilization in rats. In these studies, commercial formula products were used; thus, it is likely that the inconsistent results can be attributed to differences in ingredients and composition. Additionally, the sterilization conditions employed were not described in detail.
In a preliminary study, we found differences in the sensory properties of UHT and retort treated liquid enteral formulae, which appeared to be related to the Maillard reaction (data not shown). The aim of this study was to investigate the influence of sterilization process on dietary protein properties such as physicochemical characteristics and nutritional value. To investigate the direct effect of sterilization process on the protein quality of liquid enteral formulae, test formulae were prepared from the same ingredient mixture, i.e., the same ingredient mixture was subjected either to UHT sterilization (150°C, 5 s) or two kinds of retort processes (retort A: 121°C, 10 min; retort B: 121°C, 40 min), and the protein quality was evaluated both in vitro and in vivo using rats.
In addition, we investigated the intestinal environment of rats fed the test enteral formulae. Dietary protein is digested and absorbed in the upper intestine. However, any protein not fully digested may reach the lower intestine and act as a substrate for intestinal bacteria, resulting in its conversion to metabolites such as ammonia. Regarding the relationship between the human intestinal environment and the amount of dietary protein intake, Cummings et al. (1979) reported that subjects consuming an experimental diet with excessive protein showed elevated fecal ammonia concentrations. Therefore, we hypothesized that the sterilization process may affect digestibility, and that the undigested protein may reach the lower intestine and alter the intestinal environment. Thus, the cecal nitrogen and ammonia concentrations of rats fed the test enteral formulae were investigated.
Materials Furosine (ε-N-(furoylmethyl)-L-lysine) was purchased from Neosystem Laboratories (Strasbourg, France). o-Phthalaldehyde (OPA) was from Tokyo Chemical Industry Co., Ltd. (Tokyo, Japan). Porcine pepsin and pancreatin were from Sigma Aldrich Co., LLC. (St. Louis, MO, USA).
Liquid enteral formulae Sodium caseinate, as the sole protein source, was mixed with sugar, dextrin, cellulose, vegetable oil, fish oil, minerals, and vitamins. These ingredients and their ratios were based on the formulation of our commercial liquid enteral product. The mixture was subjected to three sterilization processes: a UHT process (UHT formula) and two different retort processes (retort A and retort B formulae), at the pilot plant of Morinaga Milk Industry Co., Ltd. Each sterilization condition was based on the manufacturer's commercial product conditions (Table 1). The F value is used in the food industry to evaluate the intensity of the sterilization (Ramaswamy and Marcotte, 2006). The F value of the retort B process was designed to be similar to that of the UHT process. The F value of the retort A process was set at a lower value than the UHT and retort B processes. These test formulae were kept at 4°C until use. We prepared a non-protein formula (formula without protein) containing the same ingredients as the formula but omitting sodium caseinate. The dextrin content of the non-protein formula was increased to ensure that the total caloric value was the same as the other test formulae. The non-protein formula was kept frozen until use, and was not subjected to sterilization treatment. The compositions of test formulae are shown in Table 2. Some vitamins are heat labile and might be destroyed by heat treatment (Asadullah et al., 2010; Haddad and Loewenstein, 1983); therefore, to prevent vitamin deficiency, a vitamin mixture for rodent diets (AIN-93G vitamin mix; Oriental Yeast Co., Ltd., Tokyo, Japan) was added to each of the four test formulae used in the animal assay. In this study, we employed identical test formulae in both the in vitro and in vivo assays.
| Sterilization | Holding temperature and time | F value |
|---|---|---|
| UHT | 150°C for 5 s | 80 |
| Retort A | 121°C for 10 min | 15 |
| Retort B | 121°C for 40 min | 70 |
F value is an index of the intensity of the heat treatment.
| Component | UHT formula | Non-protein formula |
|---|---|---|
| Retort A formula | ||
| Retort B formula | ||
| Protein (g/100mL) | 4.0 | 0 |
| Fat (g/100mL) | 3.0 | 3.0 |
| Carbohydrate (g/100mL) | 14.3 | 18.3 |
| Dietary fiber (g/100mL) | 0.4 | 0.4 |
| Ash (g/100mL) | 0.6 | 0.6 |
| Moisture (g/100mL) | 85.0 | 85.0 |
| Calories (kcal/100mL) | 100 | 100 |
Colorimetry Color determination of the test formulae was performed using the Spectro Color Meter SE2000 (Nippon Denshoku Industries Co., Ltd., Tokyo, Japan) according to the Lab color solid (Seiquer et al., 2010), where “L” represents the black to white component as the luminosity, while “a” represents the +red to −green component and “b” represents the +yellow to −blue component as the chromaticity coordinates.
Furosine Furosine is used as an index of early Maillard reaction products. The amount of furosine in the test formulae was determined using high-performance liquid chromatography (Shimadzu Corporation, Kyoto, Japan) with a Mightysil RP-18GP column (250 × 4.6 mm) (Kanto Chemical Co., Inc., Tokyo, Japan), following hydrolysis of the test formulae with 10 M HCl at 110°C for 10 h in evacuated sealed tubes, according to the methods of Delgado et al. (1992) and Guerra-Hernandez and Corzo (1996).
Carboxymethyllysine (CML) CML is a form of advanced glycation end-products (AGE) produced in the later stages of the Maillard reaction. The amounts in the test formulae were quantified using a competitive ELISA kit (CycLex Co., Ltd., Nagano, Japan).
Available lysine The available lysine (unmodified lysine) content was determined based on the method of Goodno et al. (1981). Briefly, 500 µL of the test formula was added to 500 µL of sodium dodecyl sulfate (SDS) (12% w/w) solution and kept at 4°C overnight. This solution was sonicated and mixed with freshly prepared OPA reagent in the wells of a microplate for 2 min, and the relative fluorescence was determined immediately at excitation and emission wavelengths of 340 and 455 nm, respectively. Casein, prepared in our institute from raw milk, was used as a reference protein.
SDS-polyacrylamide gel electrophoresis (SDS-PAGE) SDS-PAGE was performed according to the method of Laemmli (1970) on a 5 – 14% polyacrylamide gradient gel (TEFCO, Tokyo, Japan) under reducing conditions. The gel was stained using Coomassie Brilliant Blue R250 (Sigma Chemical Co.).
In vitro digestion In vitro digestion of the test formulae was performed according to the method of Seiquer et al. (2010). Each test formula was adjusted to pH 2.0 with the addition of 6 M HCl for peptic hydrolysis. The formulae were incubated at 37°C for 120 min with 0.06% (w/v) pepsin. Following peptic hydrolysis, the formulae were adjusted to pH 7.0 using 5 M NaOH and incubated at 37°C for 120 min with 0.05% (w/v) pancreatin. Immediately following incubation, the formulae were cooled in an ice bath. The degree of digestion was determined according to the method of Rudloff and Lönnerdal (1992). Following digestion, trichloroacetic acid (TCA) solution (24% w/w) was added to the digested formulae and the mixtures were centrifuged at 12,500×g for 20 min at 20°C. The nitrogen content of the supernatant (A) was determined using the Dumas method (AOAC, 2005). Each test formula also received the same treatment but without the enzyme digestion steps and TCA precipitation, and its nitrogen content (B) was determined. The degree of digestion was defined as A/B × 100 (%)
In vivo studiesAnimals Five-week-old male Wistar rats were purchased from Japan SLC, Inc. (Shizuoka, Japan), and were housed individually in metabolic cages in an air conditioned room with a 12 h light/dark cycle. During the 1 week acclimation, all rats were allowed free access to the UHT formula. The UHT formula was employed to accustomize the rats to the liquid test formula.
The animal experiment was approved by the animal experimentation committee of Morinaga Milk Industry Co., Ltd., and was performed in accordance with the company's regulations and the various laws and guidelines for animal experimentation in Japan.
Animal assay The animal assay was performed to investigate the protein quality of the test formulae in rats, based on the methods reported previously (AOAC, 2005; van Dael et al., 2005).
After acclimation, rats were randomly divided into four groups of eight to ten animals and assigned to the following four diet groups: UHT formula (UHT group), retort A formula (retort A group), retort B formula (retort B group), and non-protein formula (non-protein group). The rats were fed their respective test formula ad libitum during the 8 day test period, and body weight and food consumption for all animals were recorded daily. During the final 3 days of the test period, urine and feces were collected daily from individual rats and stored at −80°C until analysis. The feces collected were lyophilized, weighed and ground, and the nitrogen contents of the dry feces and urine were determined. The nitrogen contents of the test formulae were also determined. The data from the non-protein group were used to correct for the influence of non-dietary nitrogen from, for example, gut bacteria and sloughed intestinal mucosal cells.
Blood samples were obtained from the abdominal vein of rats at the end of the test period under sevoflurane anesthesia (Morikubo Yakuhin Inc., Kanagawa, Japan). The rats were sacrificed while still under anesthesia. The cecum was excised and weighed, and the cecal contents were collected and stored at −80°C until analysis.
The 8 day body weight gain, total food consumption, and the nitrogen contents of the test formulae, urine and feces were used to calculate the following nutritional values: food efficiency ratio (FER), true digestibility (TD), biological value (BV) and net protein utilization (NPU).
Blood analysis The serum albumin concentration was determined using a Micro Assay Albumin kit (AKJ Global Technology Co., Ltd., Chiba, Japan).
Cecal analysis The nitrogen concentration in the cecal content was determined using the Dumas method (AOAC, 2005), while the ammonia concentration was determined using an Ammonia-Test-Wako kit (Wako Pure Chemical Institute, Ltd.) (Okuda et al., 1965).
Statistical analysis All data are expressed as means ± SEM. Statistical significance between the groups was determined using an analysis of variance followed by the Tukey-Kramer method. A value of p < 0.05 was taken to indicate statistical significance, and all analyses were carried out using the JMP software package (Version 4.0; SAS Institute, Cary, NC, USA).
Physicochemical properties The physicochemical properties of the three test formulae, including color and pH, are presented in Table 3. Representative results are shown. Regarding the color, the “L” value of the UHT formula was higher than for the retort A and retort B formulae, whereas the “a” and “b” values of the UHT formula were lower than for both retort formulae. Moreover, for the retort A formula, the “L” value was higher and the “a” and “b” values were lower than for the retort B formula. These values are in accordance with the appearance of the formulae. The pH of the UHT formula was higher than for both retort formulae.
Glycation products Table 4 presents the furosine, CML and available lysine contents of the test formulae. Representative results are shown. The furosine contents of the retort A and B formulae were 3.5 fold and 3.6 fold higher, respectively, than that of the UHT formula. The CML contents of the retort A and retort B formulae were 3.9 fold and 4.4 fold higher, respectively, than that of the UHT formula. The available lysine contents for the retort A and retort B formulae were lower (11% and 24%, respectively) than that for the UHT formula.
| Component | UHT formula | Retort A formula | Retort B formula |
|---|---|---|---|
| Furosine (mg/100g protein) | 56.1 | 195.8 | 204.7 |
| Carboxymethyllysine (mg/100g protein) | 16.8 | 65.2 | 74.3 |
| Available lysine (g/100g protein) | 9.6 | 8.5 | 7.3 |
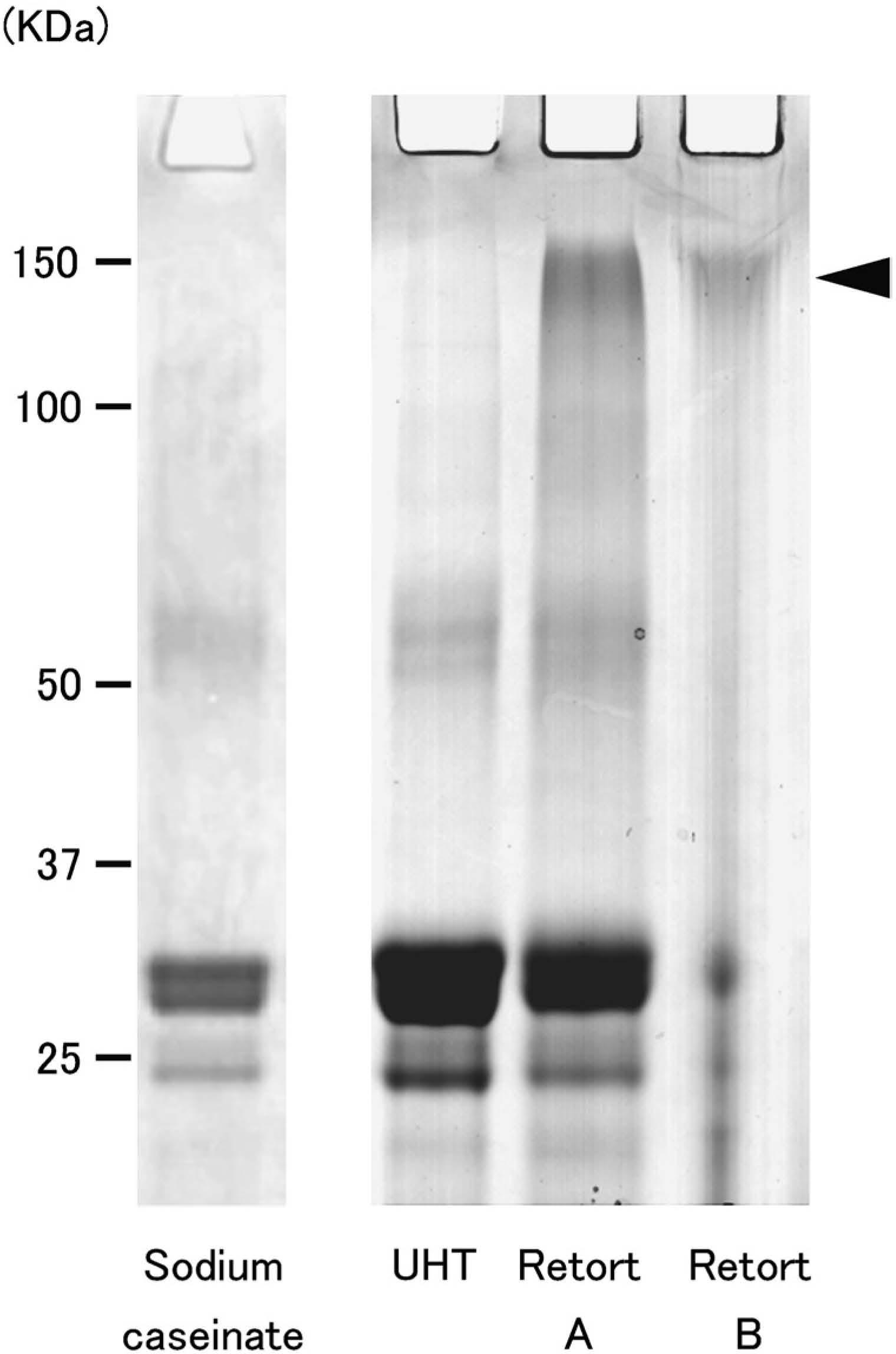
SDS-PAGE Figure 1 shows the result of SDS-PAGE analysis. The main band of the UHT formula had the same mobility as that of sodium caseinate, which is the sole protein source in the test formulae. The retort A formula had blurred bands with relatively high molecular weights; while in the retort B formula, no strongly stained protein band was observed.

Effects of sterilization processes on protein polymerization as shown on an SDS-PAGE gel. The arrowhead indicates casein with a high molecular weight.
In vitro protein digestibility The in vitro digestibility of the UHT formula (40.1%) was higher than that of the retort A (38.5%) and retort B (35.8%) formulae (Fig. 2). The high degree of reproducibility in the result was confirmed.

Effects of sterilization processes on the in vitro digestibility.
Body weight gain and food intake The body weight gain of rats fed the UHT, retort A and retort B formulae during the test period was 45.2 ± 1.5, 44.0 ± 1.7 and 25.9 ± 3.0 g, respectively (Fig. 3). The increases in the UHT and retort A groups were significantly greater than in the retort B group (p < 0.01).

Effects of test formulae produced by different sterilization processes on weight gain in rats. Results are expressed as means ± SE. Different letters indicate significant differences (p < 0.001).
The food intake of rats fed the UHT, retort A and retort B formulae during the test period was 458 ± 9, 450 ± 15 and 360 ± 21 g, respectively. Again, food intake was significantly greater in the UHT and retort A groups than in the retort B group (p < 0.01). In addition, the daily food intake of rats fed the UHT and retort A formulae was highly similar. And the daily food intake was consistently lower in the retort B group than in the UHT and retort A groups during the test period.
Protein digestibility and bioavailability Indices of nutritional value are presented in Table 5. The values of FER, TD, BV and NPU were highest in the UHT group, significantly greater than in the retort B group (p < 0.001, p < 0.001, p < 0.01, and p < 0.05, respectively).
| Nutritional value | UHT formula (n = 10) | Retort A formula (n = 10) | Retort B formula (n = 8) | p value |
|---|---|---|---|---|
| FER | 9.86 ± 0.15 a | 9.78 ± 0.08 a | 6.86 ± 0.44 b | p < 0.001 |
| TD | 98.28 ± 0.17 a | 97.57 ± 0.20 a | 95.79 ± 0.38 b | p < 0.001 |
| BV | 71.46 ± 1.06 a | 69.61 ± 2.04 a b | 64.09 ± 1.36 b | p < 0.01 |
| NPU | 70.19 ± 1.02 a | 67.92 ± 2.00 a | 61.43 ± 1.52 b | p < 0.05 |
FER, food efficiency ratio; TD, true digestibility; BV, biological value; NPU, net protein utilization. Values are means ± SE. Values followed by different letters are significantly different.
Serum albumin The serum albumin concentration of rats fed the UHT, retort A and retort B formulae was 41.1 ± 0.6, 42.8 ± 1.7 and 38.1 ± 1.0 mg/mL, respectively. There were no significant differences among the three groups.
Cecal content The cecal weight of the UHT, retort A and retort B groups was 1.88 ± 0.1, 1.96 ± 0.1 and 2.86 ± 0.2 g, respectively (Fig. 4A), and was significantly higher in the retort B group than the UHT and retort A groups (p < 0.001). The cecal nitrogen concentration was lowest in the UHT group, significantly lower than in the retort A and retort B groups (p <0.001) (Fig. 4B). The cecal ammonia concentration displayed similar tendencies to the cecal nitrogen concentration, and was significantly higher in the retort B group compared to the UHT and retort A groups (p < 0.001) (Fig. 4C).

Effects of test formulae produced by different sterilization processes on cecal parameters in rats. Results are expressed as means ± SE. A: Cecal weight of rats; B: Cecal nitrogen concentration; and C: Cecal ammonia concentration. Different letters indicate significant differences (A: p < 0.001; B: p < 0.01; C: p < 0.01).
We observed in a preliminary study that the sensory properties of an enteral formula were affected by the heat treatment used in sterilization. It was assumed that this change can be attributed to the Maillard reaction. Therefore, we investigated whether heat treatment affects not only sensory properties but also physicochemical and nutritional properties of a liquid enteral formula. To investigate the effect of sterilization process on these properties of liquid enteral formulae, we prepared a formula and sterilized it by three processes: UHT (150°C, 5 s) and two kinds of retort processes (retort A: 121°C, 10 min; retort B: 121°C, 40 min). These are typical processes used in the sterilization of dairy products (Burton, 1988). The F value of the retort B process was set to be similar to that of the UHT process, and the F value of the retort A process was set to be lower than the UHT and retort B processes. The test formulae were evaluated in vitro, and in vivo using rats. Additionally, we hypothesized that the sterilization process might affect the intestinal environment of rats fed the test formulae and therefore investigated the cecal content of rats.
In vitro assaysPhysicochemical properties The effect of heat treatment on the physicochemical properties of the test formulae was investigated. In the color determination test, the “L” value of the UHT formula was higher than that of the retort A and retort B formulae. In contrast, the “a” and “b” values of the UHT formula were lower than those of the retort A and retort B formulae. These results were consistent with their appearance (Table 3) and indicated that both retort processes accelerated the Maillard reaction compared with the UHT process.
The pH of the retort A and retort B formulae was moderately acidic compared to the UHT formula, while the retort B formula was more acidic than the retort A formula. Sweetsur and White (1975) reported that the Maillard reaction may be involved in heat-induced acidification of milk. Therefore, the decrease in pH observed with a longer sterilization time in this study may result from the promotion of the Maillard reaction. These results strongly suggest that the retort processes affect the physicochemical properties of the enteral liquid formula more intensively compared with the UHT process.
Protein modification We investigated three indices (furosine, CML and available lysine) to evaluate the degree of glycation and protein modification in the test formulae. Furosine is a compound formed during acid hydrolysis of Amadori compounds, which are produced by the reaction of the ε-amino group of lysine with reducing carbohydrates. It is considered a specific and early indicator of the Maillard reaction (van Boekel, 1998). Modified lysine produced by the Maillard reaction is nutritionally unavailable. Therefore, available lysine, which is unmodified, is used as an index of not only the Maillard reaction but also of the amino acid nutritional property (Goodno et al., 1981). Rufián-Henares et al. (2006) reported that the loss of available lysine in ingredients sterilized at 140°C was considerably higher than for that sterilized at 100°C. Prolonged thermal treatments induced further reactions with primary reaction products, generating advanced glycation end products (AGEs). CML, a form of AGE, has been used as an AGE marker (Uribarri et al., 2010).
In the present study, the furosine and CML contents of the retort A and retort B formulae were much higher than in the UHT formula. It was also observed that a decrease in the available lysine content was associated with an increase in Maillard reaction products (Table 4). These results indicate that both retort processes accelerate protein glycation and losses in the lysine nutritional value relative to the UHT process. Recently, the relationship between Maillard reaction products and health promotion/deterioration has received considerable attention. Regarding the health benefits of Maillard reaction products, in vitro studies have reported that Maillard reaction products may affect intestinal bacteria (Corzo-Martínez et al., 2012; Dominika et al., 2011). Corzo-Martínez et al. (2012) reported that Maillard reaction products derived from milk protein displayed similar functions as prebiotics, i.e., acted to increase certain intestinal bacteria including lactic acid bacteria and bifidobacteria. In contrast, it was reported that AGEs are associated with a deterioration in human health (Bohlender et al., 2005; Kurz et al., 2011; Uribarri et al., 2011). AGEs are considered as pro-oxidant substances and might play an important role in the pathogenesis of diabetes and several other diseases, including kidney and neurological diseases. Uribarri et al. (2010) proposed practical methods to reduce the dietary intake of AGEs. In this context, for patients and the elderly who ingest enteral formula as their sole nutrient source, it may be necessary to reduce the amount of AGEs in enteral formula products. Further studies should be performed to clarify the relationship between human health and Maillard reaction products in enteral formulae.
Protein polymerization, in the context of protein modification, was assessed using SDS-PAGE. The protein pattern of the UHT formula was similar to that of sodium caseinate. In the retort A formula, a high molecular weight band (∼150 kDa) was observed. In the retort B formula, no clear protein band was observed, indicating that the casein had aggregated and was too large to enter the polyacrylamide-gel used in SDS-PAGE analysis.
In summary, the protein included in both retort formulae was more highly glycated and polymerized than that in the UHT formula.
In vitro digestion We performed an in vitro digestion assay to assess protein digestibility. The digestibility of both retort formulae was lower than that of the UHT formula (Fig. 2). This suggests that digestive enzymes could not react with the protein region adjacent to the modified lysine, and that the aggregated protein structure inhibited its enzymatic degradation, a result that is in agreement with Swaisgood and Catignani (1985). Wada and Lönnerdal (2014) reported that sterilization, such as UHT and in-can sterilization, might improve the milk protein digestibility of raw milk, and that in-can sterilized milk showed better protein digestibility compared with UHT processed milk. The differences in protein digestibility might be attributable to differences in the test materials.
In vivo assaysNutritional evaluation The results of the in vitro assays presented above showed that heat induced protein modification, including glycation and polymerization, may affect the nutritional properties of proteins.
In our preliminary study, rats were fed the UHT formula or a purified rodent diet (AIN-93G) to confirm the suitability of the enteral liquid test formula. The weight gain of rats fed the UHT formula was similar to those fed AIN-93G (data not shown), suggesting that the UHT formula contained sufficient nutrients for normal rat growth.
Our animal study demonstrated that the body weight gain of the retort B group was significantly less than that of the UHT and retort A groups (Fig. 3). The food intake and the FER of the retort B group were also significantly lower than those of the UHT or retort A group (Table 5). The lower food intake observed in the retort B group might be attributable to flavor differences compared to the UHT formula. Burton (1988) reported in a sensory test that in-container milk sterilization had less flavor acceptability compared to UHT sterilized milk. These flavor changes might affect the amount of food intake in rats. Additionally, pH differences between formulae might affect food intake. However, considering the FER result, the lower body weight gain observed in the retort B group may be induced by the decreased nutritional value rather than by a reduction in food intake.
Further nutritional values of each formula were evaluated based on the nitrogen balance method (AOAC, 2005). The TD, BV and NPU values in the retort B group were significantly lower than in the UHT group (Table 5). The nutritional values in the retort A group were lower than in the UHT group.
Regarding TD, the result of the animal assay was consistent with the in vitro digestion assay. Sarwar et al. (1989) compared commercial infant formula products in a rat study and demonstrated that the powdered form exhibited superior digestibility to the liquid form. According to the manufacturer's information, the heat treatment during the production of liquid formula was more intense than that for the powdered form, indicating the influence of heat treatment on digestibility. The lower BV in both retort groups compared with the UHT group might be related to the diminished available lysine content (Table 4). From the NPU result, representing the ratio of nitrogen retained in the body to ingested nitrogen, it was suggested that the entire protein bioavailability of the UHT group is superior to both retort groups.
Lacroix et al. (2006) reported that there was no difference in NPU between high temperature short time (HTST; 72°C, 20 s or 96°C, 5 s) pasteurized skimmed milk and UHT (140°C, 5 s) sterilized skimmed milk. These results suggest that the heating temperature (72 – 140°C) does not significantly affect the nutritional value of milk protein when only a relatively short heat treatment time is utilized.
The results of the present study suggest that the retort A or B process (long time and relatively low temperature) induces lower protein quality compared with the UHT process (short time and relatively high temperature); nevertheless, the F value of the UHT process was higher than that of both retort processes.
Serum albumin The serum albumin concentration, which is an index of systemic nutritional status and in particular protein nutritional status (Pain et al., 1978), did not differ significantly among the three groups. Bleiberg-Daniel et al. (1990) investigated the nutritional status of rats fed a diet deficient in tryptophan, an essential amino acid, during an 8-day test period. They reported that there was no difference in the albumin concentration between the control and tryptophan deficient rats, despite a loss of body weight in the tryptophan deficient animals. They suggested that the albumin concentration was influenced by a more severe protein deficiency.
Taken together, the amount and quality of protein of the three test formulae in the present study were sufficient to maintain basal metabolism. The protein in the retort B formula may be used preferentially when it is necessary to maintain the systemic nutritional condition, with growth as the priority.
Cecal analysis The cecal weight of the retort B group was significantly higher than in the UHT and retort A groups (p < 0.001) (Fig. 4A). Concurrently, it was observed that the cecal nitrogen concentration, which is derived mainly from ingested protein, of both retort groups was significantly higher than in the UHT group (p < 0.001) (Fig. 4B). The concentrations of ammonia, a metabolite of ingested protein, displayed a similar pattern to that for cecal nitrogen concentration (Fig. 4C).
Lin and Visek (1991) investigated the relationship between dietary protein content and cecal ammonia concentration in rats, and found that the cecal total ammonia concentration in rats fed a high protein diet (32% of total energy as protein) was significantly higher than in rats fed low protein diets (16 or 8% of total energy as protein). In a clinical study, Cummings et al. (1979) reported that ingesting a 20% (w/w) protein diet led to doubling of the fecal ammonia concentration compared to a 10% (w/w) protein diet. Based on these reports, it was suggested that excessive dietary protein, which cannot be digested and absorbed in the upper intestine, reaches the lower intestine and acts as a substrate for intestinal bacteria, resulting in increased fecal ammonia concentrations. With respect to the present study, the modified and less digestible protein would reach the lower intestine and be metabolized by intestinal bacteria to nitrogenous compounds, including ammonia. This may explain why the retort process induced increased cecal weight, and nitrogen and ammonia concentrations.
The results of the cecal analysis indicate that the sterilization process may affect the intestinal environment of rats fed the test formulae. Further studies are warranted to determine whether sterilization processes affect the intestinal flora.
In this study, we demonstrated that the retort B process, which was similar to UHT in terms of the F value, may induce more protein modification, including glycation and aggregation, compared to the UHT process. In addition, the retort A process showed intermediate nutritional values in relation to the UHT and retort B processes, despite having the lowest F value. This indicates that a long heat treatment led to lower protein quality compared with a short heat treatment.
Overall, protein modification may lead not only to diminished protein digestibility and bioavailability but also to a change in the intestinal environment of rats fed the test formulae. When a liquid enteral formula is the sole nutrient source for people requiring nutritional support, its nutritional quality has an important health impact. Therefore, further studies are necessary to clarify the relationship between heat treatment and protein nutrition, to enable the application of the appropriate process to liquid enteral formulae.