症例は62歳の男性で,関節リウマチに対してメトトレキサートを5年間内服中であった.夕食後に激しい腹痛が出現し,救急搬送された.来院時,左上腹部を中心に著明な圧痛と反跳痛があり,腹部CTで腹腔内遊離ガス像を認め,消化管穿孔の診断で緊急手術を施行した.開腹所見では,Treitz靭帯より約120 cmの空腸に8 mm大の穿孔を認め,空腸部分切除術を施行した.切除標本では周堤を伴う潰瘍性病変を認め,病理診断では異型リンパ球が増殖し,CD20陽性,EBV-encoded small RNA in situ hybridizationが陽性であり,Epstein-Barr virus関連B細胞性リンパ腫であった.メトトレキサート治療症例の一部にリンパ腫が発生し,メトトレキサート関連リンパ増殖性疾患と定義されている.消化管穿孔を合併した本邦報告は自験例を含めて7例である.
A 62-year-old man was given a diagnosis of chronic rheumatoid arthritis and treated with methotrexate for 5 years. He came to our hospital complaining of acute abdominal pain after having dinner. He presented with abdominal tenderness and muscular defense in the left upper abdomen. CT revealed intraperitoneal free air, and emergency operation was performed under the diagnosis of acute peritonitis due to gastro-intestinal perforation. During the operation we found an 8-mm perforation in the jejunum, located approximately 120 cm distant from the ligament of Treitz and therefore performed partial resection of the jejunum. The specimen showed an ulcer surrounded with embankment, and histological examination revealed large atypical lymphocytes, positive for CD20, and EBV-encoded small RNA in situ hybridization. We concluded that it was malignant lymphoma, diffuse large B cell type. Lymphoma occurs in some cases in which methotrexate is used for treatment, and it is classified with methotrexate-associated lymphoproliferative disorder. To the best of our knowledge, 7 cases, including this patient with perforation of small intestine caused by methotrexate-associated lymphoproliferative disorder, have been reported in Japan.
メトトレキサート(methotrexate;以下,MTXと略記)は関節リウマチの治療薬としてその有用性が確立されているが,MTX治療症例の一部にリンパ腫が発生することが報告1)されており,WHO分類では「MTX関連リンパ増殖性疾患」と定義2)されている.我々は,関節リウマチに対するMTX治療中に発症した悪性リンパ腫による小腸穿孔の1例を経験したので,若干の文献的考察を加えて報告する.
症例:62歳,男性
主訴:左上腹部痛
既往歴:関節リウマチ,狭心症,前立腺肥大,高血圧
家族歴:特記すべきことなし.
現病歴:5年前から関節リウマチに対してMTXを内服中であった.夕食後に激しい腹痛が出現し,当院救急外来へ搬送され,腹部CTで腹腔内遊離ガス像を指摘された.MTXの投与量は14 mg/週であり,最終は4日前の朝に4 mgを内服した.
初診時現症:身長170 cm,体重78 kg,体温37.9°C,血圧143/94 mmHg,脈拍95回/分,整.眼瞼結膜に貧血を認めず,腹部は膨満し,左上腹部に著明な圧痛と反跳痛を認めた.
初診時血液検査所見:白血球数9,800/μl,赤血球数3,770,000/μl,血色素量13.4 g/dl,総蛋白6.6 g/dl,LDH 282 IU/l,γ-GTP 79 IU/l,Cr 1.08 mg/dl,尿酸7.3 mg/dl,血清血糖190 mg/dl,CPK 307 IU/l,CRP 1.95 mg/dl,可溶性interleukin-2 receptor(以下,IL-2Rと略記)80 U/mlであった.
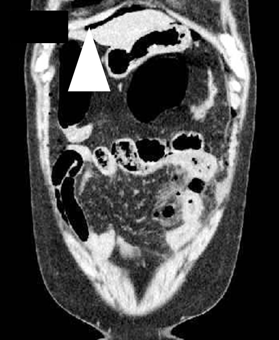
腹部CT所見:右横隔膜下,網囊腔を中心に多量の遊離ガスが散在し,左側小腸に軽度拡張と壁浮腫があり,周囲脂肪織の濃度上昇と少量の液貯留を伴っており,同部の穿孔,腹膜炎が疑われた.ダグラス窩には少量の腹水があり,大腸は大半が虚脱しており,明らかな異常所見は認めず,肝内に腫瘍性病変は認めなかった(Fig. 1).

Enhanced CT showed free air in the right subphrenic space (arrowhead) and omental bursa.
以上の所見から,消化管穿孔の術前診断で緊急手術を施行した.
手術所見:臍上10 cmから臍下5 cmに至る正中切開にて開腹し,腹腔内を観察した.肝臓,胃,脾臓,大腸には異常所見は認めなかった.Treitz靭帯より約120 cmの空腸に約8 mm大の穿孔部を認め,空腸を約50 cm切除した(Fig. 2A).再建は自動吻合器による機能的端端吻合を用いた.手術時間は2時間25分,出血量は少量であった.

A: Laparotomy showed an 8-mm diameter of perforation which was located approximately 120 cm distant from the ligament of Treitz in the jejunum. B: The specimen showed an ulcer-like lesion surrounded with small embankment.
切除標本所見:穿孔部の周囲に周堤を伴う潰瘍性病変を認めた.腫瘍の大きさは20×20 mmであった(Fig. 2B).
病理組織学的検査所見:異型リンパ球は中型から大型で,CD20陽性,CD3陰性,CD5陰性,CD10陰性,cyclin D1陰性,Bcl-2陰性であり,EBV-encoded small RNA in situ hybridizationが陽性であった(Fig. 3).

A: HE ×40, B: HE ×200, histology revealed growth of large atypical lymphocytes. C: CD20 immunohistochemistry, ×200. D: CD3 immunohistochemistry, ×200. E: CD5 immunohistochemistry, ×200. F: CD10 immunohistochemistry, ×200. G: Bcl-2 immunohistochemistry, ×200. H: EBV-encoded small RNA in situ hybridization, ×200.
以上により,Epstein-Barr virus(以下,EBVと略記)関連B細胞性リンパ腫と診断した.
胃内視鏡検査所見:異常所見なし.
FDG-PET所見:退院の翌日に病期診断の目的で,FDG-PETを撮影した.小腸術後付近に集積を伴う粒状の陰影を認め,手術に反応した変化の可能性を指摘された.その他には異常集積は認めなかった.
術後経過:第5病日より経口摂取を開始し,第28病日に軽快退院した.退院後もMTXの休薬のみで経過を観察しており,化学療法や放射線治療などの後治療は施行していない.
MTXは,約60年前に抗癌剤として開発された葉酸代謝拮抗剤である.高容量では葉酸依存性の代謝経路を抑制し,抗腫瘍作用を示す.一方,低用量では,抗炎症作用,免疫抑制作用を示し,抗リウマチ薬として使用されている.1991年に,MTXを投与した症例においてリンパ腫が発生することが報告1)され,その後の症例の増加により,「MTX関連リンパ増殖性疾患」の概念が確立された.WHO分類では,免疫不全症関連リンパ増殖性疾患の中の「other iatrogenic immunodeficiency associated lymphoproliferative disorders」(その他の医原性免疫不全に関連したリンパ増殖性疾患)として分類され,「methotrexate-associated lymphoproliferative disorder」(MTX関連リンパ増殖性疾患)と定義2)されている.一方,関節リウマチの診療ガイドラインでは,予後不良と考えられる患者に対しては,MTXが第一選択薬3)である.MTXは,骨関節破壊の進展を予防するが,肝障害,感染の増悪,間質性肺炎などの副作用があり,フォリアミン錠5 mgをMTX最終服用後48時間で投与することが推奨されている4).
MTX関連リンパ増殖性疾患の診断に際しては,MTXの服用期間,総投与量を知ることが手がかりとなる.加えて,画像診断や術中所見で腫瘍性病変の有無を検討することも重要である.本症例は,関節リウマチに対して,5年間MTXを内服(総量約1,500 mg)していたが,ステロイド製剤やnon-steroidal anti-inflammatory drug(NSAID)の内服歴はなかった.術前の腹部CTでは,穿孔部の壁肥厚を認めたが,小腸腫瘍と診断できる所見は認めなかった.切除標本にて粘膜面を観察すると,周堤を伴う潰瘍性病変が確認され,小腸腫瘍による穿孔と判明した.切除標本の肉眼所見によりリンパ腫を疑い,術直後に可溶性IL-2Rを測定した.血液検査では可溶性IL-2Rが軽度高値を示し,切除標本のHE染色で悪性リンパ腫であると判明した.この時点でMTXの関与を疑い,術後はMTXの投与を中止した.最終的に,免疫染色検査やin situ hybridization法により,EBV関連大細胞型B細胞性リンパ腫と診断した.以上により,本症例はMTXの5年,総投与量1,500 mgの内服歴があり,MTX関連リンパ増殖性疾患であると診断することに矛盾のない経過であると考えられる.
MTX治療中に発症した悪性リンパ腫による消化管穿孔は,医学中央雑誌(1964年~2018年4月)で 「メトトレキサート関連リンパ増殖性疾患」,「穿孔」をキーワードに検索(会議録は除く)したところ,本邦報告例は6例であった(Table 1)5)~10).平均年齢は73歳,男女比は1:1.3であった.病変部位は回腸が6例,空腸が1例と回腸に多く,我々の症例が唯一の空腸症例であった.これは解剖学的にリンパ組織が回腸に多いためと推測される.病理診断では,7例全てがCD20陽性,びまん性大細胞型B細胞リンパ腫であった.また,EBV感染に関しては,6例中4例が陽性であった.治療法は,全症例で手術を施行している.予後に関しては,MTXにより細胞性免疫が抑制された状態であることより,通常の小腸穿孔と比較して重篤な経過を辿ることが多い.現在までの報告例では,MRSA肺炎5),急性肺障害5),ARDS7),播種性血管内凝固症候群6)などを発症しており,1例の死亡例5)がある.MTXの投与量は,症例1は7.5 mg/週,症例2は4~6 mg/週,症例3は6 mg/週,症例4は4~6 mg/週,症例5は4~10 mg/週,症例6は12 mg/週であった.症例1の投与量が多く,術後にMRSA肺炎,急性肺障害を併発し,死亡例となった可能性がある.一方,我々の症例の投与量は14 mg/週であったが,術後に合併症を認めなかった点を鑑みると,MTXの投与量と術後の合併症の関連性は不明である.MTX投与中の患者に対する予定手術においては,MTX,および,併用している生物学的製剤や免疫抑制薬を中止する.2週間の休薬が望ましい.MTX投与患者では,間質性肺炎,呼吸器感染,帯状疱疹の合併が起こりやすく,肝障害の報告もあり,特に,肝炎ウィルスキャリヤー,肝炎既往感染者では注意が必要である4).
| Case | Author | Year | Age | Sex | Organ | CD20 | EBV | Diagnosis | Operation | Prognosis |
|---|---|---|---|---|---|---|---|---|---|---|
| 1 | Hayakawa5) | 1995 | 73 | M | ileum | positive | negative | DLBL | Rt. hemicolectomy | dead |
| 2 | Iwase6) | 2004 | 87 | F | ileum | positive | NA | DLBL | partial resection | alive |
| 3 | Furusawa7) | 2006 | 63 | M | ileum | positive | positive | DLBL | ileo-cecum resection | alive |
| 4 | Moriyama8) | 2011 | 82 | F | ileum | positive | positive | DLBL | ileo-cecum resection | alive |
| 5 | Onoda9) | 2016 | 70 | F | ileum | positive | positive | DLBL | Rt. hemicolectomy | alive |
| 6 | Kawano10) | 2017 | 77 | F | ileum | positive | negative | DLBL | partial resection | alive |
| 7 | Our case | 62 | M | jejunum | positive | positive | DLBL | partial resection | alive |
MTX関連リンパ増殖性疾患の発生部位は,リンパ節が半数,節外病変が半数であり,他のリンパ腫に比べ節外病変が多いのが特徴である.節外病変は,消化管,皮膚,肺,軟部組織に多い11).吉原ら12)は,MTX関連リンパ増殖性疾患27症例を検討し,節外病変は,脾臓5例,肝臓4例,咽頭扁桃4例,肺3例,骨髄3例,胸腹水3例,歯肉1例,膵臓1例,胃1例,膣1例,血管内1例であったと報告している.また,久下ら13)は,本邦におけるMTX関連リンパ増殖性疾患の消化管病変を検討し,胃が9例で最も多く,次いで肝臓が3例であり,回腸2例 直腸2例,脾臓1例であったと報告している.組織型は,非Hodgkinリンパ腫の大細胞型B細胞性が多く,Sibiliaら14)は41例中31例 がB細胞性であり,31例中15例 がびまん性混合細胞型,あるいは,びまん性大細胞型であったと報告している.また,MTX関連リンパ増殖性疾患では,EBV感染リンパ球の増殖がみられる.EBVは幼児期に感染し,終生Bリンパ球に潜伏感染する.健常人では,細胞性免疫によりEBV感染細胞の増殖が制御されているが,MTX投与により免疫抑制状態がじゃっ起され,EBV感染細胞の増殖が起こると考えられている15).MTX関連リンパ増殖性疾患全体の46%にEBV感染細胞の増殖がみられたとの報告14)がある.
MTX関連リンパ増殖性疾患発生時のMTX投与量と投与期間に関して,Salloumら16)は,投与期間は2~108か月(平均30か月),総投与量は180~3,600 mg(平均1,500 mg)であったと報告している.また,星田ら11)の報告では,平均投与期間は60か月,平均総投与量は1,200 mgであり,総投与量が1,200 mg以上で発症リスクが高いと思われる.一方,関節リウマチ治療におけるメトトレキサート診療ガイドラインでは,MTX投与期間によるリンパ増殖性疾患の好発時期はない4)と記載されており,MTX投与開始時より,悪性リンパ腫のスクリーニングが必要である.診療ガイドラインでは,投与中のモニタリングとして,4から12週ごとの診察,末梢血検査,赤沈,CRP,AST,ALT,アルブミン,血糖,Cr,BUN,尿検査,および,年1回の胸部レントゲン検査を推奨している4).悪性リンパ腫のスクリーニングという観点からは,LDHの測定も必要であると考えられ,高値であれば,頸部,胸部,腹部,鼠径部を含めた造影CTを撮影すべきである.
MTX関連リンパ増殖性疾患の特徴は,MTXの投与中止により腫瘍の退縮がおこり,寛解を得られる症例が存在する点である17).その頻度は,WHO分類第4版では約30%とされている2).特にEBV陽性例で寛解率が高いとされ,薬剤中止後1~2週間で腫瘍の退縮傾向がみられる例が多い.そのため,MTX関連リンパ増殖性疾患と診断された際は,まずMTXの中止を行うことが原則である.しかし,MTXの投与中止で寛解を得られても約半数は再燃するといわれ,慎重な経過観察が必要である18).
MTX関連リンパ増殖性疾患は,今後増加すると予測され,関節リウマチに対してMTXを投与する際は,定期的な診察,胸部レントゲン検査,LDH値の測定を行い,悪性リンパ腫のスクリーニングを行うべきである.
利益相反:なし