2020 年 53 巻 3 号 p. 272-281
Endoscopic Rives-Stoppa法(以下,eRives法と略記)では,intraperitoneal onlay mesh法(以下,IPOM法と略記)で使用するタッキングデバイスに起因する疼痛や,IPOM-plus法で行う腹壁縫合に起因する疼痛を回避することができる.症例は76歳の男性で,膵頭部癌に対して亜全胃温存膵頭十二指腸切除術を施行した.術後,正中切開創部に径5 cm大の腹壁瘢痕ヘルニアを認めた.前回手術時の疼痛が強くeRives法を選択した.術後3日目に退院したが,鎮痛剤の使用は1回のみであった.退院後2週間で漿液腫を生じたが,保存的治療で消失した.eRives法では,腹腔内留置メッシュによる合併症である癒着や腸管への侵食に起因する腸閉塞,膿瘍形成,メッシュ感染なども回避することができ,有用な術式と考えられた.

Endoscopic Rives-Stoppa procedure can relieve and avoid the pain caused by fixation devices in laparoscopic intraperitoneal onlay mesh (IPOM) repair or the suturing pain in IPOM-plus repair. A 76-year-old man had undergone subtotal stomach preserving pancreaticoduodenectomy for pancreatic head cancer. He developed incisional ventral hernia, 5 cm in diameter, at midline scar. We chose endoscopic Rives-Stoppa procedure because he had suffered from postoperative severe pain after the previous operation. He took analgesic medicine only once during hospitalization and was discharged on postoperative day 3. After 2 weeks, he developed seroma, but it disappeared with conservative treatment. We believe that endoscopic Rives-Stoppa procedure is an effective method, because it can avoid adhesion, ileus, abscess formation, and mesh infection which are complications of IPOM repair.
腹壁瘢痕ヘルニアは主に開腹手術後に見られる合併症の一つであり,整容性が悪いだけでなく,増大すると日常生活に支障を来すことがあるうえ,疼痛や違和感が生じてくる.治療としては手術が必要であるが,最近では腹腔鏡下腹壁瘢痕ヘルニア修復術(intraperitoneal onlay mesh法;以下,IPOM法と略記)が増加している.さらに,mesh bulgeを減少させ,腹壁機能の回復などを図る目的でIPOM法に腹壁縫合を加えたIPOM-plus法の報告も散見される.しかし,上記方法で用いられるタッキングデバイスや腹壁全層縫合に起因する急性疼痛や慢性疼痛が問題となる.また,IPOM法など腹腔内にメッシュを留置する場合には,まれではあるが,重篤な合併症である瘻孔形成,癒着や腸管への侵食に起因する腸閉塞,膿瘍形成,メッシュ感染などが問題となる1).これらの問題を克服したのが,腹膜外経路を活用したendoscopic Rives-Stoppa法(以下,eRives法と略記)である2).今回,我々は亜全胃温存膵頭十二指腸切除術後の腹壁瘢痕ヘルニアに対してeRives法を施行した1例を経験したので,若干の文献的考察を加えて報告する.
患者:76歳,男性
主訴:上腹部不快感
家族歴:特記事項なし.
既往歴:高血圧
現病歴:膵頭部癌に対して亜全胃温存膵頭十二指腸切除術を施行され,術後1年2か月目に上腹部不快感を認めて当科を受診した.
来院時現症:身長165 cm,体重58 kg,体温36.3°C,血圧138/73 mmHg,脈拍60回/分,整.貧血,黄疸は認めなかった.立位で上腹部正中創部に径5 cm大の膨隆を認め(Fig. 1),臥位では消失した.圧痛や安静時痛は認めなかった.胸部には異常所見を認めなかった.肝臓,脾臓は触知しなかった.

A 5-cm upper abdominal incisional hernia found in a standing position. (a) frontal view. (b) side view.
血液生化学検査所見:明らかな異常を認めなかった.CEA,CA19-9は正常範囲内であった.
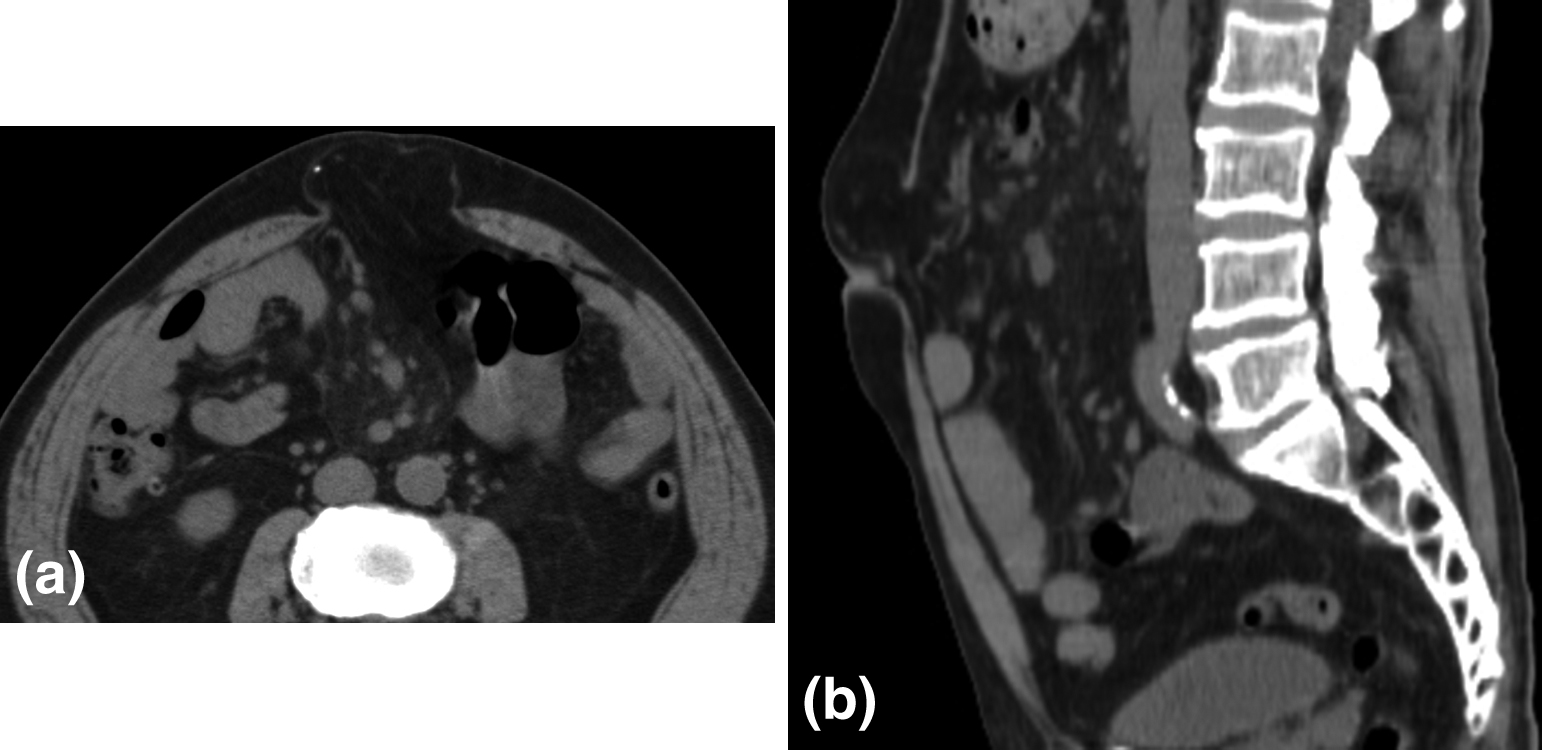
腹部単純CT所見:臍上部に51×47 mmのヘルニア門を有する腹壁瘢痕ヘルニアを認めた(Fig. 2).膵癌の転移再発所見は認めなかった.

Abdominal CT showed an incisional hernia, 51 mm×47 mm in size at the cranial side of the navel. (a) axial image. (b) sagittal image.
上部消化管内視鏡検査,下部消化管内視鏡検査,PET-CTにて異常所見は認めなかった.
膵癌の予後について十分に説明したうえで,本人の強い希望により,手術治療を選択した.
また,前回手術時に硬膜外麻酔を併用したが,術後疼痛に苦しんだ経緯から,今回は極力除痛に努めて欲しいという要望があったため,IPOM法やIPOM-plus法で用いられる複数のタッキングデバイスや腹壁全層縫合に起因する急性疼痛や慢性疼痛を回避するためにeRives法を選択した.
手術所見:ヘルニア門の位置が腹部正中(midline)の,剣状突起から足側3 cm以上,臍上3 cm以上離れた部位(epigastric)にあり,ヘルニア門の横径(width)が7.9 cmと,4 cm以上で10 cm以下の条件を満たしたために,European Hernia Society(EHS)の腹壁瘢痕ヘルニアガイドライン上ではclassification M2W2に該当し,仰臥位にて尾側アプローチで施行した1).ポート配置を示す(Fig. 3).臍部のやや右外側尾側に20 mmの皮膚切開をおき,腹直筋前鞘を露出して,小切開を加えて腹直筋を確認した.腹直筋をスプリットして腹直筋後鞘を確認して,鈍的にretrorectus spaceを剥離して,EZ access minimini®を装着した.EZ accessに5 mmポートを2本装着して気囊圧10 mmHg下でretrorectus/preperitoneal spaceを広範に剥離した.まず,正中尾側の剥離を恥骨結合付近まで進めて,次に右下腹壁動静脈を確認した.右下腹部に5 mmポートを挿入し(Fig. 3a),臍下部の左右腹直筋後鞘組織を切離して,スペースを確保した後,下腹部正中尾側に5 mmポートを挿入した(Fig. 3b).弓状線の下方で対側の腹膜前腔へと剥離を進め,左下腹壁動静脈を確認し,周囲を剥離して,左下腹部に5 mmポートを挿入した(Fig. 3c).それら二つのポートをカメラポートとしてまずは左側のretrorectus spaceの剥離を頭側に向けて十分に行い,左肋骨弓に到達した.左側腹部に5 mmポートを追加挿入して(Fig. 3d),臍靭帯周囲を剥離した.同様に右側も右肋骨弓に到達するまで十分にretrorectus spaceを剥離した.途中で,前回手術時のドレーンや膵管外瘻化チューブや経腸栄養チューブ留置により形成された瘻孔を認めたが(Fig. 3e),腹腔と交通することなく超音波凝固切開装置にて切離しえた.左右両側のretrorectus spaceを十分に剥離した後に,頭側のヘルニア門に向かって左右の腹直筋後鞘間瘢痕部を切離した.ヘルニア門に沿った環状切開で腹腔開放は行わず,ヘルニア囊を全周性に剥離した(Fig. 4).その際に一部皮下脂肪組織に到達した.その後は,極力白線を温存しながら左右の腹直筋後鞘を剣状突起に向かって切離していった.術前の体表のマーキングを参考にして,メッシュ展開予定部位まで十分にretrorectus/preperitoneal spaceを剥離した.1号非吸収barbed sutureを用いてヘルニア門周囲のみの白線を粗く連続縫合して寄せておいた.ヘルニア門を計測すると,49 mm×79 mmであった(Fig. 5).タッキング不要のself-gripping meshであるProGrip mesh®(150 mm×300 mm:Medtronic社)にトリミングした手袋を重ねて,両端から中央に向かってロール状に巻いて糸で仮固定をしておき,メッシュの中央部には挙上用のナイロン糸をかけておいた(Fig. 6).EZ access minimini®からメッシュを挿入した(Fig. 7a).仮固定していた糸を切り(Fig. 7b),メッシュの尾側方向(Fig. 7c),頭側方向へ順次展開した(Fig. 7d).メッシュ留置予定部位の中央からエンドクロージャー®を刺入し,挙上用のナイロン糸を把持してメッシュを吊り上げた後に(Fig. 8),脱気し,漿液腫予防のドレーンは留置することなく手術終了とした.手術時間は3時間25分,出血量は8 mlであった.

We placed 5 ports. We placed EZ access minimini® at the right side of the navel. (a)–(d): All 4 ports were 5 mm ports. (e): two fistulas for drainage.

(a) The hernia sac was exposed. (b) The hernia orifice was found.

Incisional hernia orifice was found between rectus abdominis muscles.

Medical grove inserted between the mesh was scrolled from both sides. (a) side view. (b) frontal view.

How to spread the self-gripping mesh in a rolliretrorectus position. (a) Placing and rolling the mesh. (b) Cutting the string. (c) Pulling out the glove with mesh to the caudal side. (d) Pulling out the glove with mesh to the cranial side.

Lifting up the self-gripping mesh to rectus abdominis muscles.
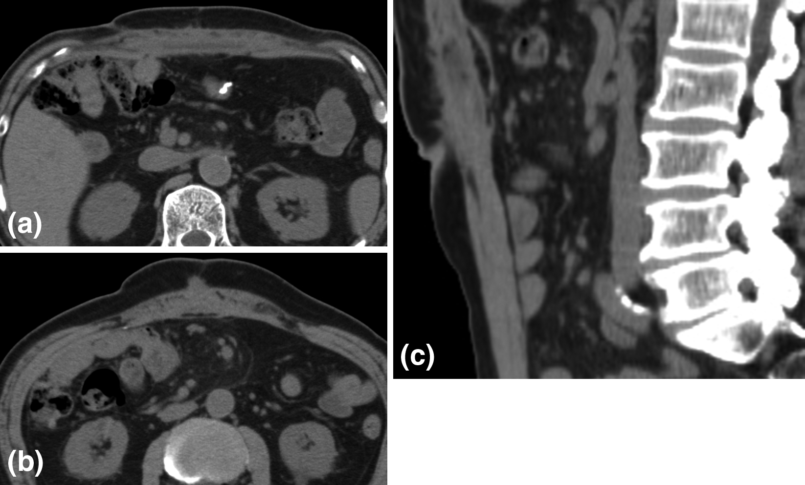
術後経過:術翌日にロキソプロフェンを1錠内服した以外は,周術期を通して全く鎮痛薬を必要としなかった.術後3日目に退院した.術後2週間目に漿液腫を認めたが(Fig. 9),経過観察を行い,術後3か月目には消失した.術後2年が経過したが,再発所見は認めていない(Fig. 10).

CT showed seroma from the epigastric region to the navel at 2 weeks after surgery. (a) (b) axial image. (c) sagittal image.

CT showed no recurrence of incisional hernia at 2 years after surgery. (a) (b) axial image. (c) sagittal image.
腹壁瘢痕ヘルニアは腹壁縫合部の離開で,触診や画像診断で確認ができ,膨隆の有無は問わないと定義されている3).腹壁瘢痕ヘルニアは開腹手術後の約10%に生じると報告され,比較的頻度の高い疾患である4).外科的修復が唯一の治療法であるが,再発率は単純閉鎖術では20~50%と高率である5).Tension-freeメッシュの使用により,再発率は10%以下まで減少したとされ6),近年ではmeshによる補強が主流となっているが,留置部位については統一された見解はなく施設によりさまざまである.腹直筋前留置法は再発率が高く,現在ではほとんど行われていない7).ComposixTM meshなどの腹腔内に留置するunderlay法は,腹圧に対する抵抗力として力学的には優れており,再発率は3~16%8)と報告されているが,meshと腸管との癒着,穿孔などの危険性がある9).そこで,それらの危険性を解消するために,腹膜前腔にmeshを留置するsublay法が考案された.その代表的なものにStoppaが考案したgiant prosthetic reinforcement of the visceral sac(GPRVS法),いわゆるRives-Stoppa法がある10).この方法は腹直筋後鞘と腹膜を腹直筋から十分に剥離して,そこに大きなmeshを挿入留置する方法であり,欧米では腹壁瘢痕ヘルニアの標準術式として広く普及しており11),再発率は5~6.7%12)と報告されている.
また近年では,1991年にLeBlancら13)によりIPOM法が報告されて以来,我が国でも広く普及してきた.腹腔鏡下修復術は開腹術に比べて,創が小さく,術後疼痛は軽く,創感染のリスクは低く,入院期間の短縮に有利とされている7).一方で,Liangら14)は術後,21.5%と高率にbulgingが起き,腸管損傷のリスクも高く,また,ポートサイトヘルニアの発生の問題もあると報告している.
最近,海外ではこのRives-Stoppa法と腹腔鏡下手術の長所を融合したeRives法の報告が増加している.本邦では,医学中央雑誌で1964年から2019年8月の期間で「endoscopic Rives-Stoppa法」で検索しても,松原ら1)の原著が1編あるのみであったが,PubMedで1950年から2019年7月までの期間で「endoscopic Rives-Stoppa」をキーワードとして検索した結果,6編の報告があった2)15)~19)(Table 1).eRives法は2002年にMiserezら2)がendoscopic totally preperitoneal ventral hernia repairとして手術手技,短期成績を報告したのが最初である.
| No. | Author | Year | Number | Operation time (min) | Blood loss (ml) | Recurrence | Hospital stay (days) | Complications | Mesh infection |
|---|---|---|---|---|---|---|---|---|---|
| 1 | Miserez2) | 2002 | 15 | unknown | unknown | 1 | 5 (3–13) | 4 (minimal subcutaneous bruising) | 0 |
| 2 | Chowbey15) | 2003 | 34 | 110 (±13.5) | unknown | 1 | 1 (±0.56) | 2 (bleeding) | 1 |
| 3 | Costa16) | 2016 | 15 | 114.3 (85–170) | unknown | 0 | 1.4 | 2 (seroma, retro-muscular infection) | 0 |
| 4 | Schwartz17) | 2017 | 25 | 157.6 (90–255) | unknown | 0 | 3.2 (2–4) | 1 (superficial wound infection) | 0 |
| 5 | Belyansky18) | 2018 | 79 | 218.9 | 52.6 | 1 | 1.8 | 3 (2 seroma, 1 site dehiscence) | 0 |
| 6 | Li19) | 2018 | 26 | 106.6 (±29.1) | unknown | 0 | 2.8 (±0.8) | 2 (seroma) | 0 |
eRives法は広範なretrorectus/preperitoneal spaceの剥離操作を必要とするために,手術時間はIPOM法やIPOM-plus法よりも長くなる点が短所である.当科3例の平均手術時間は225分であった(Table 2).Marginをヘルニア門から5 cm確保するためには結果的に剣状突起下から恥骨結合部付近まで剥離することが多くなる.普段当科では鼠径ヘルニアに対してtotally extraperitoneal approach(以下,TEPと略記)法を施行しているために,下腹部のretrorectus/preperitoneal spaceの剥離に習熟しているが,上腹部の剥離の経験は浅い.特に症例3では,クロスオーバー(左右のretrorectus spaceを正中の腹膜前腔を介して連結させる手技1))を用いる頭側アプローチを施行したため手術時間が長くなった(Table 2).また,初発臍ヘルニアとは異なり,当科で施行した3例は全て腹壁瘢痕ヘルニアであったために,切開創下瘢痕組織が非常に強固であり,超音波凝固切開装置を用いても剥離に時間を要した.症例1と症例2では超音波凝固切開装置の先端のパッドが剥脱するほどであった.さらに,剥離の途中に遭遇するドレーン挿入部の瘢痕組織が,剥離操作や術野の展開を障害するために手術時間が長くなると考えられた.改善方法としては,当科ではTEP施行時にプラットフォームを用いて腹腔鏡で確認をしながら剥離を進める方法20)を採用しているが,腹膜外拡張バルーン付きポートを挿入してブラインドで鈍的に剥離する方法17)や,このポートは用いずにポート越しに腹腔鏡で観察しながら剥離をしていくオプティカル法を施行することで,剥離に要する時間の短縮が可能である1).また,Schwarzら17)はヘルニア囊の直上を小切開して,先行してヘルニア囊の剥離とヘルニア門の露出をしてから腹腔鏡下剥離手技に移行するendoscopic mini/less open sublay technique(EMILOS)によって,施行8例の平均手術時間が86分と極めて短縮されたことを報告している.
| No. | Age (years) | Sex | Past operative history | Width (mm) | Position | Operative time (min) | Blood loss (ml) | Complications | Hospital stay (days) | Recurrence |
|---|---|---|---|---|---|---|---|---|---|---|
| 1 | 76 | Male | pancreaticoduodenectomy | 79 | epigastric | 205 | 5 | seroma | 3 | none |
| 2 | 48 | Male | LADG | 51 | epigastric | 207 | 5 | seroma | 3 | none |
| 3 | 75 | Female | LADG+laparoscopic hysterectomy | 47 | navel | 264 | 30 | seroma | 3 | none |
我々の行ったeRives法ではヘルニア囊を切開せずに剥離するが,ヘルニア門やヘルニア囊周囲の剥離が難しく,腹腔と交通してしまう場合も想定される.実際に症例2ではヘルニア囊を一部損傷して腹腔と交通したが,損傷部から5 mmカメラを挿入して腸管損傷がないことを確認し,気囊圧を6 mmHgに下げてEZ access minimini®から4-0 vicryl®を挿入して縫合閉鎖した.一つのポートを開放して終始脱気しながら,その他のポートで腹壁を持ち上げれば,たとえ損傷部から気腹されてもworking spaceは十分に確保されて縫合閉鎖可能であった.また,松原ら1)は瘢痕ヘルニアの場合,ヘルニア門に沿って腹膜・後鞘を環状切開する方法を行っているが,その際,腹直筋後鞘・腹膜を2-0 Vicryl®で連続縫合閉鎖するか,後鞘にテンションがかかり縫合不能な場合は腹膜のみを縫合閉鎖するとしている.
eRives法では,メッシュのタッキングや腹壁全層縫合が不要となり,それらに起因する急性疼痛や慢性疼痛を回避する長所があると考える.IPOM法と比較して,術後急性疼痛が減少し,鎮痛薬の使用量が減量したという報告16)がある.実際に本症例では周術期において鎮痛剤の使用は1回のみであった.また,この方法では剥離外側縁は腹直筋鞘外縁までという制限があるが,transversus abdominis releaseを加えることで,ヘルニア門の大きな症例に対しても適応が可能となる21).
合併症として,eRives-Stoppa法を当科で施行した3例全てに術後漿液腫を認めた(Table 1).松原ら1)の報告でも全5例に術後漿液腫を認めているが,Liら19)の報告では26例中3例(11.5%)を認めたのみであった.Chowbeyら15)やSchwarzら17)はメッシュ留置部位にドレーンを挿入しており,術後漿液腫の発生がない.今後症例を蓄積して,手技的な問題があるのか,患者因子によるのかの検討が必要と考える.当科としては,逆行性感染の可能性と,全例経過観察後に自然軽快したことから,今後もドレーンは留置しない方針である.
経済的な点でも,高価なタッカーを多数使用するIPOM(ダブルクラウン法)や癒着防止処理されたメッシュを使用する場合と比較して,eRives法は安価に施行可能である22).
eRives法は最近ではrobotic surgery23)も導入され,さらに進歩している.しかし,まだまだ新しい術式であるために,再発率や術後疼痛について,今後も症例を重ねて慎重に検討する必要があると考える.
利益相反:なし