2020 年 53 巻 3 号 p. 264-271
症例は62歳の男性で,下痢,浮腫,労作時動悸を主訴に前医受診し,直腸癌の疑いで,精査加療目的に当院紹介となった.下部消化管内視鏡で直腸S状部に全周性2型腫瘍を認めた.生検で高分化型管状腺癌の診断であった.造影CTでは両側総腸骨動脈,腹部大動脈周囲に軟部陰影を認め,後腹膜線維症を疑った.高位前方切除術,後腹膜生検を施行し,病理結果を踏まえ,直腸癌(pT3pN0cM0,pStage II)および後腹膜線維症と診断した.術後はステロイド投与なく後腹膜軟部陰影は改善した.術後31か月現在,無再発生存中である.本症例は経過から悪性腫瘍関連後腹膜線維症と考えられた.悪性腫瘍根治切除により,ステロイド投与を行わず続発性の後腹膜線維症の改善を認めた症例を経験した.
The patient was a 62-year-old man who had consulted his previous doctor concerning chief complaints of diarrhea, edema, and palpitations on exertion. He was referred to our hospital for detailed examination and treatment, with suspected rectal cancer. Colonoscopy revealed a type-2 circumferential tumor at the rectosigmoid junction. The tumor was diagnosed as a highly-differentiated tubular adenocarcinoma on biopsy. Contrast-enhanced CT scan indicated bilateral soft masses peripheral to the common iliac arteries and the abdominal aorta, suggestive of retroperitoneal fibrosis. The patient underwent high anterior resection and retroperitoneal biopsy. Rectal cancer (pT3pN0cM0, pStage II) and retroperitoneal fibrosis was diagnosed based on pathological results. Postoperatively, the retroperitoneal soft masses improved without steroid administration. The patient is alive without recurrence at 31 postoperative months. The present case is thought to be malignant tumor-related retroperitoneal fibrosis on account of its course. Radical resection of the malignant tumor improved secondary retroperitoneal fibrosis without steroid administration.
後腹膜線維症は後腹膜結合織に炎症性細胞浸潤と線維性増殖を生じる比較的まれな疾患である.特発性と続発性に分けられ,30%は続発性,悪性腫瘍によるものは8%と報告がある1).悪性腫瘍を伴う場合,悪性腫瘍関連後腹膜線維症とIgG4関連を含む特発性後腹膜線維症との鑑別のため後腹膜生検は必須である.今回,直腸癌切除により改善を認めた続発性後腹膜線維症の症例を経験したため文献的考察を加え報告する.
患者:62歳,男性
主訴:下痢,浮腫
家族歴:特記事項なし.
既往歴:特記事項なし.
内服薬:なし.
現病歴:2016年3月より下痢を自覚した.同年6月より両下腿浮腫を主訴に前医受診した.腹部CTで直腸癌を疑われ,精査加療目的に当院紹介となった.
現症:身長176.5 cm,体重81.5 kg,BMI 26.2 kg/m2.眼瞼結膜に貧血所見と両下腿の圧痕性浮腫を認めた.
初診時検査所見:Hb 7.8 g/dlと貧血所見を認めた.BUN 21.3 mg/dl,Cre 1.93 mg/dlと腎機能低下を認めた.Alb 3.0 g/dlと低値であった.IgG4 114 mg/dl(基準値135 mg/dl未満)と基準範囲内であった.
下部消化管内視鏡検査所見:直腸S状部に全周性の2型腫瘍を認めた.生検でGroup 5,高分化型管状腺癌と診断された(Fig. 1a).

a: Colonoscopy revealed a type-2 circumferential tumor which was found at the rectosigmoid junction. b: Double-contrast barium enema examination revealed circumferential stenosis which was found from the rectosigmoid junction to the sigmoid colon.
注腸造影検査所見:直腸S状部からS状結腸にかけて全周性の狭窄を認めた(Fig. 1b矢頭).
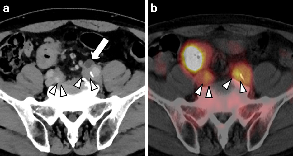
腹部造影CT所見:直腸S状部からS状結腸にかけて造影効果を伴う全周性の壁肥厚を認めた.腫瘍の壁外進展,リンパ節転移,遠隔転移の所見は認めなかった.また,両側総腸骨動脈,下腸間膜動脈根部近傍の腹部大動脈周囲に軟部陰影を認め(Fig. 2a矢頭),左総腸骨動脈周囲の軟部陰影により左尿管は狭窄し水腎症を来していた(Fig. 2a矢印).

a: Contrast-enhanced CT showed soft masses which were found bilaterally, peripheral to the common iliac arteries (arrowheads). Hydronephrosis of the left ureter was caused by the left soft mass (arrow). b: PET-CT showed increased FDG accumulation which was found at the rectosigmoid junction. Increased FDG accumulation was found at the bilateral soft masses peripheral to the common iliac arteries (arrowheads).
PET-CT所見:直腸癌にstandardized uptake value(以下,SUVと略記)max 13.3,左総腸骨動脈周囲軟部陰影にSUVmax 5.5,右総腸骨動脈周囲軟部陰影にSUVmax 4.2の18F-FDGの異常集積を認めた(Fig. 2b矢頭).腹部大動脈周囲の軟部陰影にもSUVmax 5.5の18F-FDGの異常集積を認めた(Fig. 3a矢頭,3b矢頭).

a: Preoperative contrast-enhanced CT. b: Preoperative PET-CT. c: Postoperative contrast-enhanced CT. d: Postoperative PET-CT. Before the operation, soft masses were found peripheral to the abdominal aorta, and FDG accumulation was found peripheral to the abdominal aorta. After surgery, the retroperitoneal soft masses and FDG accumulation improved.
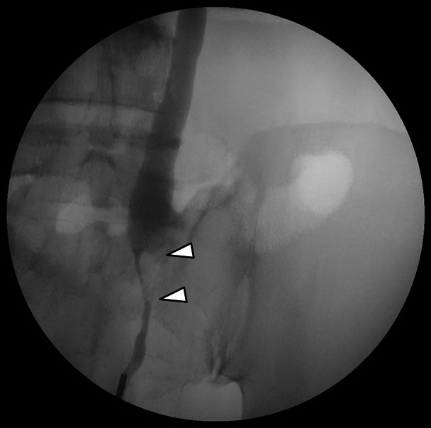
逆行性腎盂尿管造影検査所見:左尿管に狭窄像を認めた(Fig. 4矢頭).術中操作のために尿管ステントを留置した.

Retrograde pyelogram of the left ureter showed stenosis of the left ureter (arrowheads).
以上より,直腸癌cT4acN0cM0 cStage II(大腸癌取扱い規約第8版),後腹膜線維症による左尿管狭窄と診断し高位前方切除術,後腹膜生検,左尿管狭窄解除術を予定した.
手術所見:下腹部正中切開で開腹すると,腫瘍と虫垂,膀胱が癒着しており腫瘍の直接浸潤が疑われたため,虫垂合併切除および膀胱部分切除を併施し高位前方切除術を施行した.術前画像から下腸間膜動脈根部は後腹膜線維症の影響で郭清が難渋することが予想されたため,左結腸動脈を温存した上直腸動脈の根部で結紮,切離し,D2郭清とした.第一から第二仙椎の高さの左尿管は約6 cmの長さに渡って肥厚した後腹膜に覆われていた(Fig. 5a矢頭).狭窄の中枢側と末梢側で尿管の正常部をテーピングした後,尿管壁を露出するように肥厚した後腹膜線維を鈍的に剥離し,尿管を後腹膜から遊離した(Fig. 5b矢頭).また,同部の肥厚した後腹膜の一部を切除し,病理診断科へ提出した.手術時間は3時間9分,出血量220 ml,術中に赤血球濃厚液4単位を使用した.

a: Intraoperative findings. Hypertrophic retroperitoneal fibrosis, 6 cm in length, was found peripheral to the left ureter (arrowheads). b: Intraoperative findings. Blunt dissection of the retroperitoneal fibrosis peripheral to the left ureter was performed.
切除標本肉眼所見:直腸S状部に腫瘍径85 mm×65 mm,全周性の2型の腫瘍を認めた(Fig. 6a).

a: Resected specimen. The tumor, 85 mm×65 mm in size, was found to be a circumferential type-2 tumor. b: Histopathology of rectosigmoid tumor (HE staining). Histologically, the lesion was found to be highly-differentiated tubular adenocarcinoma (HE ×40). c: Histopathology of retroperitoneum (HE staining). The retroperitoneal tissue was found to be fibrosis tissue, lymph nodes, and plasmacytic infiltration (HE ×40). d: Retroperitoneal IgG4 immunostaining. Partial sites were found with an IgG4/IgG plasmacyte ratio of at least 40% (IgG4 ×40).
病理組織学的検査所見:組織型は高分化型管状腺癌(Fig. 6b),深達度はSS,合併切除した膀胱と虫垂への浸潤は認めなかった.リンパ節転移は陰性であった.後腹膜検体は組織の線維化とともにリンパ球,形質細胞,好中球の浸潤を認めていた(Fig. 6c).一部IgG4/IgG陽性形質細胞比40%以上の部位も認めたが(Fig. 6d),IgG4陽性形質細胞は10/HPF未満であった.後腹膜検体には悪性所見を認めなかった.
以上より,直腸癌,Rs,85×65×10 mm,type2,tub1,int,INF b,pT3(SS),ly1,v2(EVG),pPM0,pDM0,pRM0,pN0,pStage II(大腸癌取扱い規約第8版)による続発性の後腹膜線維症と診断した.
術後経過:経過良好で,術後第8病日に尿管ステントを抜去し,術後第10病日で退院となった.後腹膜線維症に関しては術後にステロイドを投与することなく経過観察のみで下腿浮腫は術後1か月で改善した.術後4か月目のCTでは腹部大動脈周囲の後腹膜軟部陰影の改善(Fig. 3c矢頭),および術後8か月目のPET-CTでは,18F-FDG異常集積の改善が認められた(Fig. 3d矢頭).術後6か月目にはCre 1.43 mg/dl,術後16か月目にはCre 1.11 mg/dlまで腎機能は改善した.術後31か月現在,無再発生存中である.
後腹膜線維症は,20万人あたり1人に発症するまれな疾患であり1),好発年齢は50歳から60歳台が多く,性別では男性が2~3倍多い2).後腹膜線維症の好発部位は,腹部大動脈,腸骨動脈,尿管周囲である3)4).特発性と続発性に分けられ,70%は特発性,30%は続発性で,悪性腫瘍によるものは8%と報告されている1).続発性が否定された場合に特発性後腹膜線維症と診断される.また,近年IgG4と特発性後腹膜線維症との関連について注目されている5).確定診断は後腹膜生検であるが,報告によると半数の症例では画像診断のみで診断も含めたステロイド治療介入をされているのが現状である6).
本症例は術前画像で後腹膜線維症を第一に疑ったが腫瘍のリンパ節転移や腹膜播種の可能性も否定はできなかった.後腹膜線維症の診断とその活動性の評価にはPET-CTによる画像診断が有用とされている7)が,本症例のように悪性腫瘍を伴う症例ではPET-CTで後腹膜線維症か転移性病変かを鑑別することは困難である.本症例は直腸癌により貧血,通過障害を来していたこともあり,直腸癌の切除と同時に左尿管周囲の肥厚した後腹膜を生検することで転移性病変との鑑別,および後腹膜線維症の組織学的診断を行う方針とした.また,当院泌尿器科医からの助言により生検のみではなく左尿管を肥厚した後腹膜から遊離し狭窄を解除することとした.後腹膜線維症による水腎症に対しては,本症例のように後腹膜組織から尿管剥離術を行うという報告8)や,手術せずに尿管ステント留置後ステロイド投与によって水腎症の改善を認めたという報告9)がある.しかし,保存的治療は水腎症の改善まで数か月を要すること,尿管ステント留置による諸症状(下腹部痛,頻尿など)により患者のQOLが低下する可能性があること,またステロイド中止後に後腹膜線維症が再発する可能性もあることから,本症例のように直腸切除と同一術野で施行可能な場合には,尿管剥離術の併施も考慮すべきと考えられる.
後腹膜検体の病理組織学的評価により後腹膜線維症の確定診断が得られ,直腸癌による続発性後腹膜線維症が疑われた.IgG4関連特発性後腹膜線維症との鑑別に関しては,厚生労働省のIgG4関連疾患包括診断基準201110)における「血液学的に高IgG4血症(135 mg/dl以上)を認める」を満たさないこと,「IgG4陽性形質細胞が10/HPFを超える」を満たさないことから否定的と考えられた.続発性後腹膜線維症の原因としては悪性腫瘍以外に薬剤性,膠原病,感染症,炎症性疾患,腹部大動脈瘤,外傷が挙げられる8).本症例では術前の内服薬,既往歴,手術歴がないこと,術前CT所見で腹部大動脈瘤は認めないことから悪性腫瘍以外の原因は認められなかった.以上から,本症例は直腸癌による続発性後腹膜線維症と考えて術後にステロイド治療を行わなかった.術後の腹部造影CTおよびPET-CTにおいて左総腸骨動脈周囲の後腹膜所見が改善したのみならず,術中操作を加えなかった大動脈周囲および右総腸骨動脈周囲の後腹膜所見も改善が認められたことにより,本症例は直腸癌と特発性後腹膜線維症の合併ではなく,直腸癌による続発性後腹膜線維症であると考えられた.「後腹膜線維症」をキーワードとして,医学中央雑誌で1988年から2019年までの検索では,消化管腫瘍を伴う後腹膜線維症を伴う報告(会議録を除く)は14例の報告があり11)~24),そのうち本症例のように悪性腫瘍による続発性後腹膜線維症と診断している症例は5例11)~13)17)20)のみであった(Table 1).続発性後腹膜線維症におけるステロイド治療には一定のコンセンサスはなく,続発性後腹膜線維症と診断している症例の中にはステロイド治療を行っている症例が1例,行っていない症例が4例であった(Table 1).続発性後腹膜線維症は原疾患の治療により改善が期待できる.また,特発性の場合でもステロイド単独療法で73%の症例で改善を認めると報告されており6),後腹膜線維症は特発性,続発性ともに比較的予後良好な疾患と考えられる.ステロイド治療せずに,悪性腫瘍による続発性後腹膜線維症が腫瘍切除により改善を認めた症例を経験した.
| No | Author | Year | Age/Sex | Tumor location | Tumor resection | Steroid therapy | Idiopathic/Secondary |
|---|---|---|---|---|---|---|---|
| 1 | Owada11) | 1987 | 73/F | Stomach | No | No | Secondary |
| 2 | Tomono12) | 1988 | 60/M | Stomach | No | No | Secondary |
| 3 | Dohmen13) | 1993 | 62/F | Stomach | No | No | Secondary |
| 4 | Wakasugi14) | 1998 | 45/M | Stomach | No | No | Idiopathic |
| 5 | Abe15) | 2003 | 54/F | Stomach | No | No | N/A |
| 6 | Fujioka16) | 2006 | 64/F | Rectum | Yes | Yes | Idiopathic |
| 7 | Kato17) | 2010 | 58/F | Stomach | Yes | Yes | Secondary |
| 8 | Yokoyama18) | 2012 | 57/M | Stomach | Yes | Yes | Idiopathic |
| 9 | Sato19) | 2012 | 74/M | Sigmoid colon | Yes | Yes | Idiopathic |
| 10 | Mori20) | 2015 | 71/M | Esophagus | No | No | Secondary |
| 11 | Ueyama21) | 2015 | 75/M | Esophagus | No | No | N/A |
| 12 | Kaida22) | 2015 | 64/F | Sigmoid colon | Yes | Yes | Idiopathic |
| 13 | Nishiguchi23) | 2015 | 65/F | Rectum | No | No | N/A |
| 14 | Tanaka24) | 2016 | 62/M | Ascending colon | Yes | Yes | Idiopathic |
| 15 | Our case | 62/M | Rectum | No | No | Secondary |
N/A: not applicable
謝辞 この度,併診頂きました内科花岡亮輔先生,泌尿器科金水英俊先生に厚く御礼申し上げます.
利益相反:なし