2020 年 53 巻 3 号 p. 213-220
症例は78歳の男性で,胃体部および噴門部癌があり,造影CTで肝門部および気管分岐部リンパ節転移を伴いStage IVと診断した.化学療法としてpaclitaxel+S-1療法を行い,のちにHER2陽性であることが判明しtrastuzumab+cisplatin+capecitabine療法を計17コース施行した.化学療法後の上部消化管内視鏡検査では瘢痕を認めるのみであり,転移リンパ節も著明な縮小を認めたため,幽門側胃切除術,D2+#8p・#13リンパ節郭清を施行した.術後病理組織結果では,#4dに腫瘍細胞の残存を認めたが,原発巣は組織学的CR(pathological complete response;pCR)であった.HER2陽性胃癌の術前化学療法としてtrastuzumabを含むレジメンの有用性が示唆された.
A 78-year-old man presented with stage IV gastric cancer with hepatic hilar and tracheobronchial lymph node metastases. He was treated with combined chemotherapy (paclitaxel+S-1). His cancer was subsequently found to express HER2; therefore, we changed the chemotherapy to a regimen containing trastuzumab (trastuzumab, cisplatin, and capecitabine). After 17 courses of chemotherapy, esophagogastroduodenoscopy only showed a scar, and the metastatic lymph nodes had reduced significantly in size. We performed distal gastrectomy with D2, #8p, and #13 lymph node dissection. The histopathological examination showed tumor cells remaining in the #4d lymph node, but the primary lesion exhibited a complete histopathological response. A trastuzumab-containing regimen was suggested to be useful as a preoperative chemotherapy for HER2-positive gastric cancer.
胃癌治療ガイドライン第5版によると,切除不能・進行再発胃癌の治療症例としては化学療法が選択肢となる1).加えて,ToGA試験の結果を受け,HER2陽性胃癌に対しては,trastuzumabを併用した化学療法が推奨されている2).一方で,遠隔リンパ節転移を伴う進行胃癌に対しては,外科的治療を選択すべきかどうかに関して明確な基準は定まっていない.今回,化学療法により腫瘍の縮小を来し,治癒切除施行しえたHER2陽性胃癌の1例を経験したため報告する.
患者:78歳,男性
既存症:高血圧症(内服加療なし)
現病歴:心窩部痛があり,近医を受診した.上部消化管内視鏡検査にて胃角部から体下部前壁に3型腫瘍,噴門直下小彎側に0-IIc病変があり,当院紹介受診となった.
血液検査所見:Cre 1.14 mg/dlと軽微な腎機能障害を認めた.CEAは63.9 ng/ml,CA19-9は18.6 U/mlと高値であった.
上部消化管内視鏡検査所見:胃角部から体下部前壁中心に3型腫瘍,噴門直下小彎側に0-IIc病変あり(Fig. 1A, B).生検では両病変ともに中分化腺癌(tub2)であった(Fig. 2A).

Esophagogastroduodenoscopy findings before chemotherapy showed type 3 tumor located at the middle anterior gastric wall (A), and type 0-IIc tumor located at the cardia (B). After chemotherapy, the gastric body lesion remain with a scar (C), and cardia tumor disappeared (D).

Histopathological examination at biopsy showed moderately differentiated type adenocarcinoma (A), with 3+ HER2 expression (B). Both type 3 and type 0-IIc tumor had the same characteristics.
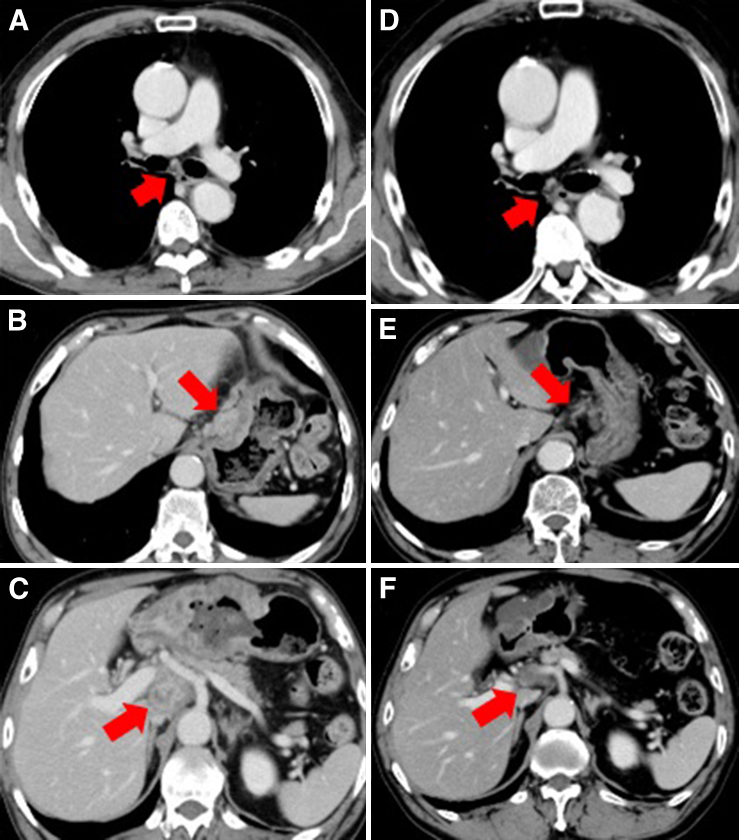
造影CT所見:胃前庭部前壁に不整な壁肥厚あり.胃大彎および小彎,右噴門部リンパ節腫大あり.肝門部・気管分岐直下にも腫大したリンパ節を認めた(Fig. 3A~C).

Chest-abdominal CT scan findings before chemotherapy showed lymph node metastases in #107 (A), #1 (B), #13a-12p (C). After chemotherapy, #107 and #13a-12p lymph node disappeared (D, F), and #1 lymph node had reduced in size (E).
以上より,臨床診断として,L,Ant-Gre,cType 3,cT4a(SE),cN3,cM1(LYM),cP0,cH0,cStage IVと診断した.
治療経過:遠隔リンパ節転移を伴う進行胃癌と診断し,paclitaxel(50 mg/m3)+S-1(80 mg/day)療法を開始した.1コース施行後にHER2免疫染色検査の結果が判明した.噴門直下の病変は強陽性であり,胃角部の病変はHER陰性部が混在するものの,同様の性質であった(Fig. 2B).採血でも腎機能は改善傾向であったため,次コースからはtrastuzumab(初回8 mg/kg,2回目以降6 mg/kg)+cisplatin(60 mg/day)+capecitabine(3,000 mg/day)療法を開始した.2コース施行後のCTでは,気管分岐直下のリンパ節は縮小したが,肝門部から膵頭部背側にかけてのリンパ節腫大は大きさに変化が見られなかった.7コース施行後に手足症候群にてcapecitabineを20%減量(2,400 mg/day),8コース終了後に食思不振のためさらに減量(1,800 mg/day)とした.10コース施行後のCTでは胃壁の濃染部がわずかに縮小を来し,17コース施行後のCTでは,肝門部から膵後面にかけてのリンパ節は縮小し,気管分岐直下のリンパ節も縮小を維持した(Fig. 3D~F).根治切除の可能性を考慮し,上部消化管内視鏡検査を行うと,胃角部前壁の3型腫瘍は瘢痕化し,噴門直下の病変は消失した(Fig. 1C, D).PET-CTでもリンパ節を含めて集積はなく,治癒切除が可能であると判断した.化学療法開始から1年5か月後に幽門側胃切除術,D2+#8p・#13リンパ節郭清,胆囊摘出術,Roux-en-Y再建を施行した.術前検査で噴門部病変は消失しており,術後の食欲低下を懸念したため噴門病変は切除しない方針とした.
術中所見:総肝動脈周囲から膵頭部リンパ節腫大は残存していたが,同部は線維性癒着を伴っており化学療法奏効に伴う変化であると考えられた.噴門直下にはリンパ節(#1)転移後の瘢痕を認め,同部位は一部胃壁を削るようにして郭清した.
摘出標本所見:肉眼的には,幽門側から胃体部前壁中心に,7×5 cm程度の粘膜下腫瘍様の腫瘤を認めた(Fig. 4A, B).

Resected specimen showed a submucosal tumor-like mass located at the anterior wall of the gastric body (A, B).
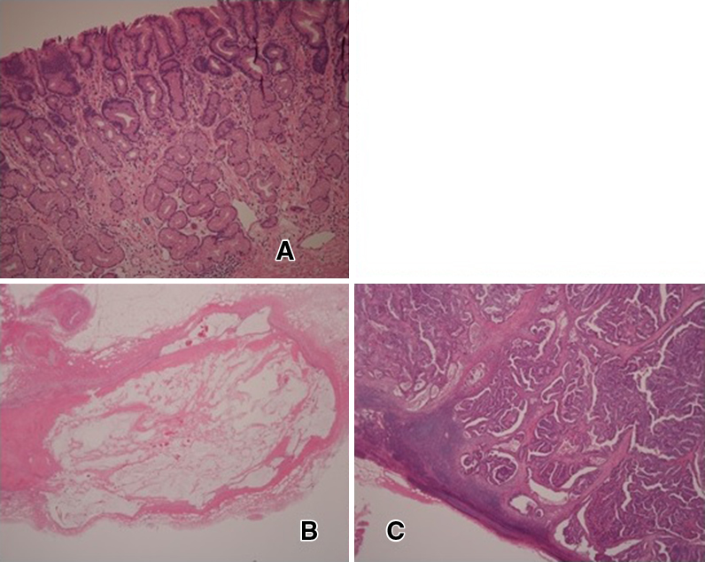
病理組織学的検査所見:胃角部の腫瘍は粘液を認めるものの明らかな腫瘍細胞の残存は認めず,原発巣はCRであった(Fig. 5A).#4dにのみ転移残存を認めるリンパ節を計5個確認できたが,その他リンパ節は線維化や粘液の残存を認めるのみであった(Fig. 5B, C).

Histopathological findings of the resected specimen showed no viable tumor cells (A). There was a mucinous lesion at the submucosa. Several metastases were observed in #4d lymph node, which is mucinous type (B), and papillary type (C).
以上より,術後最終診断としては,ypT0,ypN2,yM0と診断した.
術後経過:周術期合併症なく,術後13日目に退院した.術後補助化学療法としてcapecitabine(2,400 mg/day)の投与を1年間継続した.現在術後1年経過し,無再発生存中である.
Yoshidaら3)は,Stage IV胃癌を四つのカテゴリーに分類している.特に遠隔リンパ節転移のあるものに関しては,傍大動脈リンパ節(#16a2,b1)腫大のあるものをpotentially resectable metastasis,#16a1,b2をはじめその他遠隔リンパ節転移のあるものをmarginally resectable metastasisと分類している.本症例ではmarginally resectable metastasisに分類され,HER2陽性でtrastuzumabを含むレジメンが著効した.胃癌治療ガイドライン第5版では,Stage IV胃癌の中でも高度リンパ節転移を有する症例では術前化学療法を行った後に拡大手術を検討するとされている1).本症例のように化学療法が著効した場合は根治切除できる可能性もあり,積極的な切除を考慮すべきと考えられた.
HER2蛋白はEGFRファミリーに属し,その発現率に差はあるものの胃癌患者のおよそ20%前後に発現すると報告されている4).また,ToGA試験においてHER2陽性胃癌患者におけるtrastuzumabの有用性が証明されて以降2),本邦においてもその使用が推奨されている.本症例では当初腎機能障害があり初期治療はpaclitaxel+S-1を選択した.後の血液検査で腎機能障害が一過性のものであったこと,HER2陽性が判明したことから,trastuzumab+cisplatin+capecitabine療法を選択した.一方で,cisplatin使用による副作用軽減のため大量輸液が必要となる背景からも,近年oxaliplatinに変更したレジメンも増えてきている.Trastuzumab+S-1+oxaliplatin療法によりCRが得られたHER陽性胃癌の報告もあり5),今後化学療法の選択肢はますます増えていくものと思われる.
Conversion surgeryを行うタイミングに関しては定まった見解はない.画像上CRが得られたとしても,微小転移巣が体内に残っている可能性が考えられるため,そのタイミングは慎重に決定する必要がある6).プラチナ系製剤は蓄積毒性があるため長期間使用すべきではないが,微小転移の可能性を少しでも減らすため一次治療で十分な治療を行い,かつできるだけ早い段階で切除とすることが望ましいと考える.本症例では,trastuzumab開始から2コース目のCTで,気管分岐部のリンパ節は縮小がみられた.根治切除となる可能性も考えたが,肝門部周囲のリンパ節は依然として腫大しており,微小転移巣が残存している可能性を考慮して化学療法を継続した.肝門部リンパ節は17コース終了後に縮小がみられており,PET-CTでリンパ節への集積が見られないことや,cisplatinの用量限界も考慮して,化学療法施行から1年5か月後に幽門側胃切除術を行った.術中所見では,肝門部リンパ節の腫大はなく,#8pから#13にかけてのリンパ節がわずかに腫大していたため,D2+#8p・#13リンパ節郭清にとどめた.その結果,切除した#8p・#12a・#13のリンパ節に癌細胞は見られず,線維化や粘液貯留を認めるのみであった.肝門部付近のリンパ節の腫大は17コース試行後のCTで縮小がみられたが,実際にはそれ以前の段階からtrastuzumabは著効していた可能性が考えられた.線維化などの化学療法後の変化が画像上腫大して見えた原因と考えられるが,これらの変化を転移と鑑別することは困難であると思われる.一方で,より根治性を目指すのであれば噴門部病変を含めた切除が必要であり,胃全摘が望ましいと考えられた.しかしながら,術前化学療法の影響で食思不振・体重減少を来しており,食事摂取量のさらなる低下を防ぐべく幽門側胃切除を行う方針とした,その結果,術後に大きな食欲低下を来すことなく,術後のADLも良好であった.
本症例では,原発巣において組織学的CR(complete pathological response;以下,pCRと略記)が証明された.自験例以外でも,術前化学療法の結果pCRが得られた症例は散見されるが,そのほとんどがS-1単剤ないしはS-1を含むレジメンでの報告であった7)~13).医学中央雑誌で「HER2陽性胃癌」,「pCR」をキーワードに,1964年から2018年までの期間で検索してみると(会議録は除く),異時性肝転移に対して化学療法後にpCRが得られたHER2陽性胃癌の1例が報告されている14).さらに,本症例と同様にtrastuzumabを含む化学療法の結果,原発巣でpCRが得られた報告を検索した.PubMedで「gastric cancer」,「pathological complete response」,「trastuzumab」をキーワードに1950から2018年の期間で検索すると,6例の報告が確認できた(Table 1)15)~20).組織型は全症例で高分化ないしは中分化腺癌であり,術前化学療法として施行したのが2例(No. 1,No. 4),conversion surgeryとなった症例が4例(No. 2,No. 3,No. 5,No. 6)であった.自験例では18コースの化学療法を施行しているが,同様に17コース,29コースと長期間の化学療法施行例も確認できた.その理由としては,患者の切除希望がなかったため,自験例と同じくリンパ節腫大が残存していたためであった.比較的予後は良好であり,再発は1例のみであった.
| No. | Author/Year | Age | Sex | Tumor location | cStage | Histological type | Trastuzumab-containing chemotherapy regimen | Cycles of chemotherapy | Operation | Adjuvant therapy | DFS | Recurrence |
|---|---|---|---|---|---|---|---|---|---|---|---|---|
| 1 | Wang15)/2010 | 49 | Male | M, Less | III | tub2 | Tmab+L-OHP+DTX+Cape | 3 | TG (D2) | Y | ND | ND |
| 2 | Sbitti16)/2011 | 44 | Male | M, Less | IVb | tub1 | Tmab+L-OHP+Cape | 3 | TG (D2) | Y | 15 | N |
| 3 | Kubota17)/2014 | 76 | Male | EU | IVb | tub2 | S-1+DTX+Tmab | 3 | PG (D2)+lower-esophagectomy | N | 12 | N |
| 4 | Nishino18)/2015 | 61 | Male | L, Post | III | tub2 | S-1+CDDP+Tmab | 2 | DG (D2+#16) | N | 10 | N |
| 5 | Fujita19)/2015 | 65 | Male | U | IVb | tub1 | Cape+CDDP+Tmab | 29* | TG (D2) | Y | 5 | N |
| 6 | Endo20)/2015 | 66 | Male | M, Ant-Gre | IVb | tub1-2 | Cape+CDDP+Tmab | 17 | DG (D2+#16) | Y | 4 | Y |
| 7 | Our case | 78 | Male | LM, Ant | IVb | tub2 | Cape+CDDP+Tmab | 18* | DG (D2+#8p,13) | Y | 12 | N |
cStage: clinical stage according to the 8th International Union Against Cancer (UICC) TNM classification, Tmab: trastuzumab, L-OHP: oxaliplatin, DTX: docetaxel, Cape: capecitabine, CDDP: cisplatin, TG: total gastrectomy, PG: proximal gastrectomy, DG: distal gastrectomy, Y: Yes, N: No, ND: not described
* includes other type of chemotherapy
今回,原発巣に関してはCRであったものの,リンパ節に腫瘍成分を認め,完全寛解とはならなかった.術前の生検ではHER2陽性部分と陰性部分が混在するような形で存在していたが,実際に転移したリンパ節にHER2免疫染色検査を追加したところ,濃染はみられなかった.Trastuzumab療法中にHER2陰性肝転移を来した報告もあり21),本症例でもHER2陽性部ではtrastuzumabが著効し,HER2陰性部では抗腫瘍効果は不十分であった可能性が考えられた.
Stage IV症例の術後補助化学療法に関しては,その期間や選択レジメンに関して一定の見解はない.本症例では微小転移残存の可能性を考慮すると,術後化学療法は必要であると考えられた.術前にcapecitabineを含むレジメンが奏効したことから,術後も内服を継続とした.今後もさらなる症例の蓄積が必要であると考えられる.
利益相反:なし