2020 年 53 巻 6 号 p. 518-523
症例は60歳の女性で,当院整形外科で関節リウマチによる右変形性肘関節症に対し関節置換術を施行後,偽関節を合併し,2018年11月に自家右腸骨片移植術を施行した.2019年1月,発熱と意識障害を主訴に救急外来を受診した.腹部造影CTで,腸骨片採取部頭側の右側腹部に造影効果の乏しい横行結腸の脱出と,その周囲に腹水と腹腔内フリーエアーを認め,腰ヘルニア嵌頓による消化管穿孔と診断し,緊急手術を施行した.嵌頓横行結腸を含めた右半結腸切除術を施行し,再発予防のためヘルニア門は単純閉鎖に加えて,大網を授動して腹壁補強を行った.術後呼吸状態が不安定であったため気管切開術を施行したが,意識状態の改善に伴い呼吸状態も改善した.その後はリハビリなどの多職種による介入をして術後79日目に自宅退院となった.
The patient was a 60-year-old woman, who, at the age of 59, underwent right elbow arthroplasty for rheumatoid arthritis using an autogenous graft from the right iliac crest. She was admitted to our emergency medicine department due to fever and disturbance of consciousness. Contrasted enhanced CT showed prolapse of the transverse colon at the right cranial iliac crest, ascites and free air. We diagnosed digestive tract perforation induced by incarcerated lumbar hernia. We performed right hemicolectomy to resect the perforated transverse colon, and lumbar hernia repair with suturation and omental patch. A tracheotomy was performed because of respiratory failure. Her respiratory condition and state of consciousness improved. She recovered with multidisciplinary treatment and was discharged 79 days after operation.
腰部には上腰三角(Gryfelt-Lssshaft triangle)と下腰三角(Petit’s triangle)と呼ばれる腹壁抵抗脆弱部が存在する1).まれではあるが,同部位に外ヘルニアを来すことがあり,腰ヘルニアと称される2).腰ヘルニアの原因の一つとして手術による腸骨採取が報告されている3).今回,整形外科による腸骨移植片採取が原因と考えられる腰ヘルニアの横行結腸が嵌頓して穿孔を伴った1例を経験したため報告する.
患者:60歳,女性
主訴:発熱,意識障害
既往歴:高血圧,関節リウマチ
内服薬:ノルバスク,リウマトレックス,ゼルヤンツ
現病歴:当院整形外科に関節リウマチで通院中であった.2011年11月,関節リウマチによる右肘関節破壊に対して右人工肘関節置換術を施行した.その後,転倒時に右人工肘関節周囲骨折を受傷し,保存加療後に偽関節となったため,2018年11月偽関節に対して自家右腸骨片移植術および腸骨セメントスペーサー挿入術を施行した(Fig. 1A).術後7日目の腹部X線写真では,縫工筋の牽引力により上前腸骨棘部は骨折し,腸骨スペーサーは脱転を来した(Fig. 1B).歩行は可能であり,臨床的な支障は少ないため整形外科での追加処置は行われなかった.2019年1月,腹痛および発熱のため当院救急外来を受診した.インフルエンザ迅速検査も陽性であり,発熱の原因と考えられた.また,来院時の採血でWBC 840/μlと低下しており,リウマトレックスによる白血球減少症も考えられたため,整形外科に緊急入院となった.入院3日目の夕方に意識障害が出現したため造影CTを施行したところ,右腸骨手術部付近に横行結腸をヘルニア内容とする外ヘルニアを認めた.嵌頓腸管付近にもフリーエアーを認めた.また,腹腔内にも腹水およびフリーエアーが存在し,ヘルニア嵌頓による消化管穿孔と診断し,緊急手術を行った.

Findings from abdominal X-ray images. A: Abdominal X-ray image just after iliac bone graft operation. Iliac cement spacer was replaced at bone graft (arrow). B: Abdominal X-ray 7 days after iliac bone graft operation. Iliac cement spacer was moved (arrowhead) and the ala of the ilium was broken.
身体所見:血圧118/91 mmHg,脈拍数121回/分,体温37.8°C,意識状態はGlasgow Coma ScaleでE1V2M5の8点と意識障害を認めた.右側腹部に腸骨採取時の創があり,同部位には軽度膨隆を認めた.意識障害があったため,腹痛や圧痛などの所見ははっきりしなかった.
血液検査結果所見:WBCは2,760/μlと減少していた.CRPは29.38 mg/dlと著明な上昇を認めた.
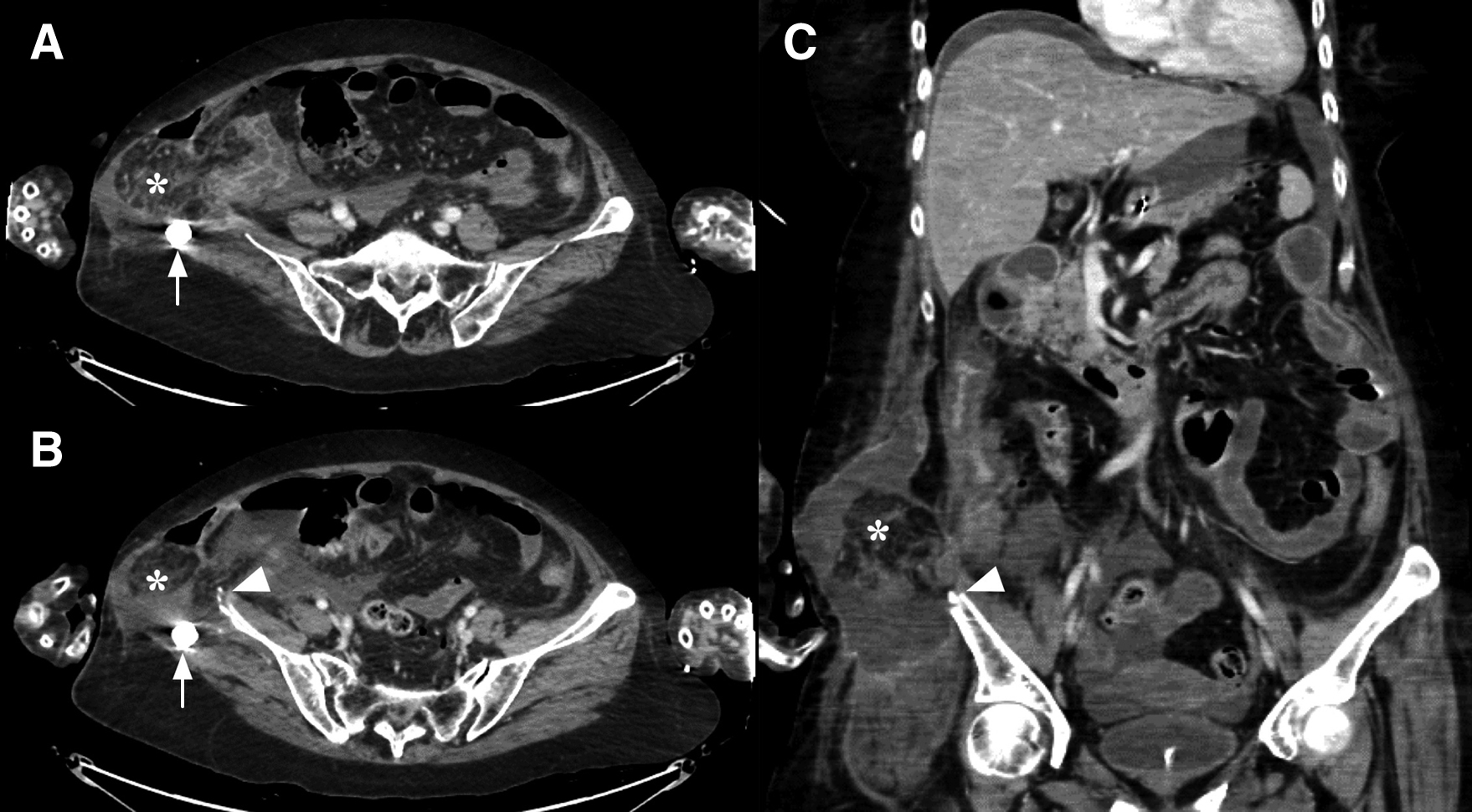
腹部造影CT所見:腹水の貯留および腹腔内フリーエアーを認めた.腸骨片採取部の頭側の右側腹部に横行結腸が脱出し,腹水が貯留しており,ヘルニア嵌頓と診断した.ヘルニアは約10 cm大であった.嵌頓している腸管の造影効果は不良であり,腸管の壊死が示唆され,同部位で消化管が穿孔している可能性が疑われた.また,ヘルニア囊内に腸骨片採取後の右腸骨骨折部骨端が突出している所見を認めた(Fig. 2).ヘルニアの頭側端は第12肋骨から2 cm尾側まで,尾側端は腸骨上縁から8 cm尾側まで及んでいた.

Enhanced CT findings before operation. A: Enhanced CT revealed ascites fluid and free air. There was a right lumbar hernia and transverse colon was incarcerated into the right lumbar hernia. Transverse colon was not enhanced well, and this finding suggested that transverse colon would be necrotic (asterisk). Arrow showed cement spacer replaced at bone graft. B: Arrowhead shows bone end of the right iliac wing after autogenous graft projecting in the right lumbar hernia. C: Coronal section image of enhanced CT revealed the right lumbar hernia. The transverse colon and ascites fluid were incarcerated into the right lumbar hernia.
上記検査所見から腸骨移植片採取に伴い腰三角部分の腹壁抵抗が減弱したため外ヘルニアを生じ,さらに脱出した腸管は血流障害により消化管穿孔を来したと診断し,緊急手術を行う方針とした.
術中所見:正中切開で開腹した.腹腔内には灰白色に汚染された多量の腹水を認めた.腹腔内を検索すると右側腹部の腹壁欠損部に横行結腸が嵌頓していた(Fig. 3).ヘルニア門は径3 cmで,ヘルニア門までは腹膜が存在していたが,ヘルニア囊内の腹膜は欠損していた.ヘルニア門の一部を切開して,嵌頓部分を用手的に腹腔内に還納した.嵌頓した横行結腸を確認すると1 cm大の穿孔を認めた.肉眼上,穿孔部は黒色に変化はしていたが,その他の部位の結腸の色調の変化に乏しく,血流障害は軽度と思われた.ヘルニア囊内にはCTで確認された腸骨片採取後の腸骨骨端を触知した.また,整形外科手術時に挿入したスペーサーも触知し,遊離していたため腹腔側から摘出した.腸骨骨端周囲およびヘルニア囊内には血腫を認めた.ヘルニア門と腸骨骨端は近接しており,腸骨骨端が腹膜を外側から損傷した可能性が示唆された.腹腔内を温生食で洗浄後,右半結腸切除術を施行して穿孔部分を切除した.その後ヘルニア門は可及的に腹膜を閉鎖したが,腹壁の脆弱性を考慮して大網を用いて腹膜を裏打ちするようして補強した.回腸と横行結腸を側側Gambee縫合で吻合した.再度腹腔内を温生食で洗浄後,左右横隔膜下およびDouglas窩にドレーンを留置して閉腹した.開腹手術が終了後に整形外科医によって腸骨採取部を前回手術創に沿って開創し,汚染した腸骨をデブリードマンした.総手術時間は206分,出血量は190 mlであった.

Intraoperative imaging. The transverse colon was incarcerated into the lumbar hernia (arrow). The incarcerated transverse colon was discolored.
切除検体病理組織学的検査所見:横行結腸に1 cm大の穿孔を認めた.病理学的には粘膜面は保たれていたが,漿膜から漿膜下の脂肪識の壊死と変性,好中球を主体とする高度炎症細胞浸潤が認められた.病理学的に穿孔の原因は不明であった.
術後経過:術後集中治療室に入室し全身管理を行った.一般病棟に転棟後も意識障害が遷延し呼吸状態が悪化したため,集中治療室に再入室した.呼吸状態の安定を図るために術後14日目に気管切開術を施行した.意識状態の改善とともに呼吸状態も改善したため集中治療室を退室した.その後は一般病棟でNSTチームおよびリハビリなど多職種と共同して嚥下および離床を進めていった.呼吸状態も安定したため術後71日目に気管皮膚瘻閉鎖術を施行した.引き続いてのリハビリは必要であったが,全身状態は改善したため術後79日目に自宅退院となった.
腰部には2か所の解剖学的抵抗減弱部が知られている.一つは第12肋骨と内腹斜筋と仙棘筋とで囲まれた上腰三角(Gryfelt-Lssshaft triangle)である.もう一つは広背筋と外腹斜筋と腸骨稜とで囲まれた下腰三角(Petit’s triangle)である1).比較的まれではあるが,この部位にヘルニアを来すことがあり,腰ヘルニアと称される2).解剖学的には上腰三角からヘルニアを来す上腰三角ヘルニア(Gryfelt-Lssshaft hernia)と,下腰三角からヘルニアを来す下腰三角ヘルニア(Petit hernia)と,上腰三角と下腰三角の両方をヘルニア門とするdiffuse lumbar herniaがある1).Diffuse lumbar herniaはヘルニア門が大きいため,非常に大きいヘルニアとなる傾向がある.Diffuse lumbar herniaの根本的な原因は外傷または手術による腸骨稜の欠損によるものと考えられている1).本症例は腸骨片採取術後であり,術前CT画像所見および術中所見から腸骨片採取術および同部位の骨折により腸骨稜が欠損し,腰三角の解剖学的抵抗性が減弱したことによってdiffuse lumbar herniaを来したと考えられた.
腰ヘルニアの原因としては先天性と後天性のものが挙げられる.先天性のものは腰部の筋肉,第12肋骨の形成不全が原因とされている.一方で後天性のものは加齢による側彎症,筋萎縮,肥満,腹圧亢進などによる特発性のものと,交通事故や腸骨採骨術が原因となる外傷性のものがある4)5).その頻度としては,欧米の報告では先天性のものが20%,特発性のものが55%,外傷性のものが25%と報告されている1).本邦でも先天性のものが17%,特発性のものが48%,外傷に伴うものが35%と報告されており,その頻度に大きな差はないように思われた6)7).
腸骨片採取に伴う腰ヘルニアは1945年にOldfield8)により初めて報告された.また,腰ヘルニアは整形外科手術による腸骨片採取の合併症として,その5%に腹壁ヘルニアが起こると報告されている3).腸骨片採取後の腰ヘルニアの原因としては大きな骨欠損,全層移植片の採取,高齢,筋力低下を伴う肥満が挙げられている9)10).腰ヘルニアの多くはヘルニア門が大きいため嵌頓の頻度はまれとされ,腰ヘルニアのうち嵌頓例は全体の8%とされている1).さらに,先天性および特発性腰ヘルニアにおける嵌頓の頻度が18~24%であり,一方で外傷性腰ヘルニアの方が嵌頓しにくいと報告されている11).医学中央雑誌で「腰ヘルニア」をキーワードに1964~2019年で検索したところ(会議録を除く),腸骨片採取後の腰ヘルニアは11例の症例報告が見出された6)7)12)~20).嵌頓および穿孔例は本症例のみであった.病理学的には腸管全体が虚血壊死を来したわけではなく,穿孔部は1 cm程度のみで,粘膜面は保たれており,漿膜から漿膜下層の壊死が主であった.画像所見と術中の所見から,推察ではあるが,本症例は腸骨片採取による解剖学的抵抗性の減弱によって腰三角ヘルニアが形成され,さらに,ヘルニア門近傍に存在した腸骨片採取後の腸骨骨端がヘルニア囊および脱出した横行結腸を漿膜側から損傷した可能性が考えられた.
腰ヘルニアの治療法は,他の腹壁ヘルニア同様に手術によるヘルニア門の閉鎖・修復が唯一の治療法である.単純閉鎖法,腹横筋筋膜などを用いてフラップを作成して補強する方法,free graftを用いた再建といったさまざまな修復法が行われている.近年はtension free repairの概念が広まり,さまざまなメッシュを用いて修復されている症例が報告されている14).さらに,内視鏡外科手術適応の拡大に伴い,腰ヘルニアに対して腹腔鏡下手術も行われている17).また,腸骨採取後の欠損部は腸骨採取と同時に修復すべきであるとされている.小さい欠損の場合は腸腰筋または腸骨筋で内側を,大腰筋の筋膜フラップを用いて外側を閉鎖する方法が報告されている21).大きい欠損の場合はメッシュを用いた方法が報告されている1).本症例では,消化管穿孔例であること,ヘルニアの修復のために異物であるメッシュを使用することは難しいと判断し,開腹手術による消化管切除およびメッシュを使用しないヘルニア修復術を施行した.すなわち,ヘルニア門を可及的に閉鎖し,大網を用いて腹膜を裏打ちするように被覆して補強を行った.その後の経過で,まだ短期間ではあるが,ヘルニアの再発は認めていない.ヘルニア門単純閉鎖および大網被覆術はメッシュが用いることができないときの一つの対処法として有効であると思われた.
腸骨採取に伴い消化管穿孔を来した腰ヘルニアを経験した.整形外科手術などで元来腹壁脆弱性がある腰三角の一部である腸骨を遊離する手術を行う場合や腸骨骨折の既往のある患者では腰ヘルニアの発生の可能性があることを念頭にCT画像などを読影する必要があると考えられた.また,今回は消化管穿孔を来していたためメッシュを用いることができなかったが,自家組織を用いて対応し,経過も良好であり,一つの修復方法として考慮されても良いと思われた.
利益相反:なし