2021 年 63 巻 2 号 p. 66-72
限局型慢性歯周炎の患者に歯周基本治療,口腔機能回復治療及びサポーティブペリオドンタルセラピー(SPT)を行い29年以上にわたり良好に口腔機能維持している症例について報告する。本症例では歯周基本治療において十分な臨床的改善が見られ口腔機能回復治療,SPTに進むことができた。口腔機能を長期に維持安定させるためには動的歯周治療後SPTに入ってからも口腔内の変化を注意深く観察しSPT中に問題が生じたときは必要に応じて積極的な介入も必要になると思われる。SPT中に分岐部病変を有する2歯のうち1本の歯を失ったがもう1歯は適切なメンテナンスにより根分岐部病変の進行を抑えることにより長期的に保存することができている。これらのことから歯周病治療により口腔内を長期的に管理することの難しさを実感している。
進行した根分岐部病変(2~3度)に対する処置法にはその進行の程度により歯根切除や歯根分割などの切除療法,GTRやエムドゲインⓇ等による再生療法が適用される。しかし総合的に一口腔単位で治療計画を立てる場合,根分岐部病変の処置法は隣在歯や対合歯との関係,補綴処置の有無等を考慮する必要がある1)。歯周病は歯周外科処置を行う前に行われる歯周基本治療で約8割が治癒すると言われている。しかし,根分岐部病変を有する歯は歯周基本治療で完全に治癒することは難しく,歯周外科処置を選択することが多い。本症例は歯周基本治療で治癒し得なかった上顎大臼歯と下顎大臼歯に注目し歯周外科処置はおこなわずにSPTにて長期的に経過観察した結果について報告する。
患者:48歳,男性
初診:1991年10月
主訴:入れ歯を入れたい。
全身的既往歴:非喫煙者,胃腸が弱いのでたまに市販の胃薬を飲んでいる。その他特記事項なし。
歯科的既往歴:10年程前から歯肉から出血が見られ,歯科医院に通院し不定期な口腔清掃は受けていた。5年ほど前から上顎右側臼歯部が定期的に腫脹を繰り返していたが根本的な治療は行わず応急的な処置を続けていた。2年ほど前に17,16の腫脹と動揺が激しくなったので歯科医院にて抜歯をした。半年ほど前から15の動揺が激しくなり噛むことができなくなったため当院を受診した。
家族歴:両親とも局部床義歯を装着している。
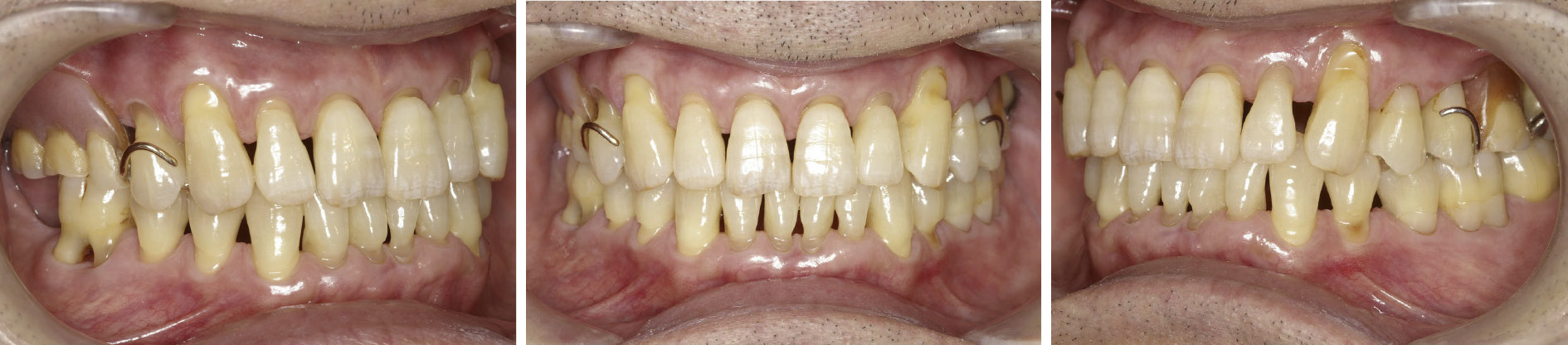
1. 現症 1) 口腔内所見(図1)18,17,16,28,38,48の欠損が認められるがこれは患者が就寝時にクレンチング習癖があり,咬合性外傷が原因で抜歯に至ったと考えられる。15に金属冠が装着されている。全顎的に歯肉の腫脹,歯石の沈着が認められた。

初診時の口腔内写真 1991年10月
全顎的に水平性骨吸収が認められ,15は根尖に及ぶ高度な歯槽骨吸収が認められた。21の近心部にも垂直的な歯槽骨吸収像が見られる。26,46は根分岐部に及ぶ歯槽骨吸収像が認められた。
47は全周にわたり根尖付近まで歯槽骨の著しい吸収が認められる。

初診時のデンタルエックス線写真
歯周ポケットのプロービング深さ(PPD)は不定期ながらも歯科医院にて口腔清掃を受けていたため,歯周ポケットは1 mmから3 mmが最も多く部分的に深い歯周ポケットが認められた。15には8 mmの歯周ポケットが存在し動揺度は2度あった。21は口蓋部に7 mmの歯周ポケットが存在した。
26は近心部から頬側にかけて歯周ポケットが認められ根分岐部病変III度であった。
47は歯冠周囲に5~8 mmの歯周ポケットが認められ周囲歯槽骨の吸収が顕著であった。O'Learyのプラークコントロールレコード(PCR)は31.7%であった。

初診時の歯周組織検査 1991年10月
限局型慢性歯周炎,ステージIII,グレードB
3. 治療計画1)歯周基本治療
口腔清掃指導,スケーリング・ルートプレーニング,生活習慣指導
2)再評価
15,47抜歯(治療用義歯は装着せず)
3)口腔機能回復治療
上顎局部床義歯装着
4)再評価
5)SPT
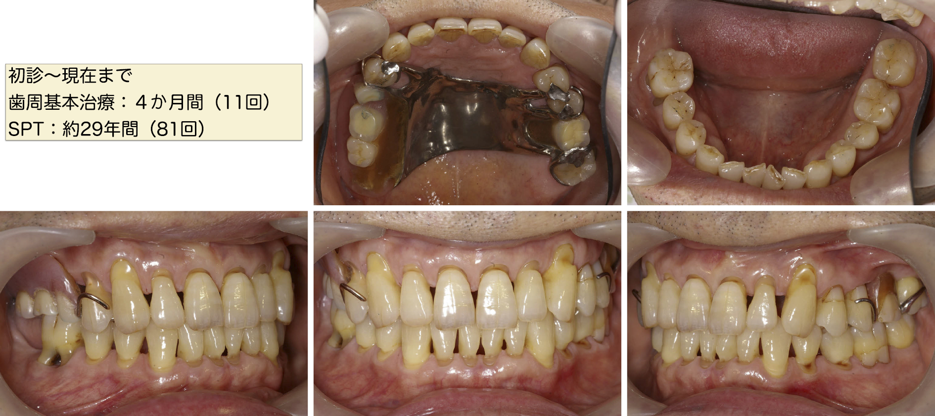
4. 治療経過 1) 初診時からSPT移行時までの経過(1991.10~1992.4)(図4~566)全顎的な口腔内検査の結果を口腔内スライド,エックス線写真,歯周組織検査所見,スタディモデル,生活習慣問診票を用い説明するとともに口腔衛生指導の重要さをスライドやフリップを使い十分時間をかけて患者カウンセリングをおこなった。
患者カウンセリングにより口腔衛生に対する動機づけがなされたところで歯科衛生士による口腔衛生指導に移行した。歯ブラシの種類は普通の硬さでサイズはやや小さめのものを推奨した。歯間部が空いているために歯間ブラシを併用してもらった。
プラークコントロールは不十分ながらもプラークの付着量は少なくなったが歯肉縁下歯石の付着が多く見られたため約4か月間にわたる口腔清掃指導,スケーリング・ルートプレーニングを行った。また患者は日ごろから砂糖を多くとる生活習慣があったため砂糖の為害性を説明し生活習慣の改善に努めてもらった。
歯周基本治療終了時の再評価において,15は咬合調整および暫間固定をおこなったが8 mmの歯周ポケット並びに動揺度に変化がなかったため抜歯することとした。同様に47も8 mmの歯周ポケットが存在し周囲歯槽骨の吸収が著しかったため抜歯した。
26の近心から頬側にかけての根分岐部病変III度と46の頬側から舌側にかけての根分岐部病変III度の改善は見られなかった。治療方法としてルートアンプテーション,ルートセパレーション等の歯周外科処置を勧めたが同意が得られずSPTにて経過を観察することとした。
15,16の欠損部には局部床義歯を装着した。クレンチングやブラキシズムへの対応として就寝時にナイトガードを装着してもらった。

SPT移行時の口腔内写真 1992年4月

SPT移行時のエックス線写真 1992年4月

SPT移行時の歯周組織検査 1992年4月
SPTの間隔は当初2か月に1回とした。SPT時はプラークの付着状況,歯肉の炎症,咬合状態のチェック,義歯の調整,26,46の根分岐部歯周ポケット内の洗浄と抗菌薬の塗布を行った。6か月後に26,46の経過が順調であったためSPTの間隔を4か月とした。1995年5月,26が歯周病の急性発作を起こし腫脹したため,歯周ポケット内を洗浄しペリオフィールⓇを塗布した。炎症が消退したためSPTを継続したが経過は良好であった。2000年4月に再度急性発作を起こしたが精査の結果両隣在歯の骨が吸収する可能性があったためやむなく抜歯した。抜歯後の欠損部は義歯に増歯をして咀嚼機能を回復した。
46は頬側から舌側にかけて根分岐部病変III度があるため歯間ブラシSSを頬側から舌側に通してもらいプラークコントロールを行ってもらった(46の分岐部をよく観察するとエナメルプロジェクションが存在しているので付着が起こりにくかったのが誘発因子となったと考えられる)。
46の対合歯は義歯の人工歯のため摩耗が激しく46は少しずつ挺出していたため根分岐部が大きく露出し少し太めの歯間ブラシを挿入ができるようになった。今後のメンテナンスにおいては根分岐部内部の清掃不良による根面う蝕に注意しなければならない。そのため患者にはフッ素を含有した歯磨剤を使用することを指導し,定期検診来院時には高濃度のフッ素塗布を欠かさず行うようにしている。
14は知覚過敏による疼痛が激しくなってきたため2011年に抜髄,根管充填を行った。
現在初診より30年が経過したが平均PPD 2.2 mm.BOP 3.5%.PCR 8.7%で症状は非常に安定している。
歯頸部に楔状欠損が見られるがこれは時としてナイトガードを未装着のまま就寝することがあることが一因と考えられる。
エックス線写真でもSPT移行時と比較して顕著な歯周病の進行は認められない(図9~101111)。

26抜歯時の口腔内写真 2001年3月

26抜歯時のエックス線写真 2001年3月

SPT中の口腔内写真 術後29年 2021年2月

SPT中のエックス線写真 術後29年 2021年2月

最新SPT中の歯周組織検査 術後29年 2021年2月
患者は48歳での来院時には16,17を歯周病にて喪失しており,また15も歯周病のため骨吸収が著しく動揺度も2度あり咀嚼が困難な状態であった。口腔清掃状態はそれほど不良ではなかった。生活習慣の聞き取りから砂糖,ジャム,乳酸菌飲料等の糖質摂取量が多かった。糖質の過剰摂取により白血球の働きが悪くなり免疫力が低下するために炎症を起こしやすいという報告もある2)。11,15,16,17,26,46,47の骨吸収が著しいのはクレンチングやブラシズム等で咬合性外傷力が修飾因子となっていると考えられる3-5)。そのため治療終了後も就寝時にはナイトガードを装着してもらうこととした。
26,46共に歯周基本治療終了時に根分岐部病変III度の状態でありルートアンプテーションやルートセパレーション等の歯周外科処置を考えたがSPTにより経過観察することとした。その理由として過去に根分岐部病変の処置について様々な研究論文があり歯周外科をした場合としない場合で10年後の残存歯数に著しい差がないとの報告があるため経過観察することにした6,7)。
26は歯周基本治療の結果歯周ポケットは残存したものの数年ごとに急性発作を繰り返し次第に骨吸収が進行し10年目に抜歯となった。一方46は根分岐部を歯間ブラシで清掃することにより炎症がコントロールされたために29年経過した現在も十分機能している。
今回は根分岐部病変に対して歯周基本治療のみで対応した長期症例を報告した。その経過から26は約10年で抜歯に至り,46は29年経過して現在も機能している。上顎大臼歯の根分岐部病変は歯根が3根であるためにセルフケアで十分に清掃することが困難と推察される。一方,下顎大臼歯は一般的には2根のことが多く歯間ブラシ等を使ったセルフケアがおこないやすいために良好な経過をたどったと考えられる。
今回の論文に関連して,開示すべき利益相反状態はありません。